Skip to main content

CC2D1A Antibody - BSA Free

Novus Biologicals, part of Bio-Techne | Catalog # NB500-255

Novus Biologicals, part of Bio-Techne

Key Product Details

Species Reactivity

Human, Mouse

Applications

Immunohistochemistry, Immunohistochemistry-Paraffin, Western Blot, Immunocytochemistry/ Immunofluorescence, Immunoprecipitation

Label

Unconjugated

Antibody Source

Polyclonal Rabbit IgG

Format

BSA Free

Concentration

1.0 mg/ml

Product Specifications

Immunogen

The immunogen recognized by this antibody maps to a region between residues 1 and 50 of human Coiled-coil and C2 Domain Containing 1A using the numbering given in TrEMBL entry Q6P1N0 (GeneID 54862).

Specificity

NB500-255 is specific for human TOUF/FLJ-20241 protein.

Clonality

Polyclonal

Host

Rabbit

Isotype

IgG

Description

Novus Biologicals Rabbit CC2D1A Antibody - BSA Free (NB500-255) is a polyclonal antibody validated for use in IHC, WB, ICC/IF and IP. Anti-CC2D1A Antibody: Cited in 3 publications. All Novus Biologicals antibodies are covered by our 100% guarantee.

Scientific Data Images for CC2D1A Antibody - BSA Free

Western Blot: CC2D1A Antibody [NB500-255]

Western Blot: CC2D1A Antibody [NB500-255]

Western Blot: CC2D1A Antibody [NB500-255] - Detection of Human TOUF/FLJ20241 on HeLa whole cell lysate using NB500-255.
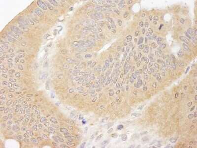
Immunohistochemistry-Paraffin: CC2D1A Antibody [NB500-255]

Immunohistochemistry-Paraffin: CC2D1A Antibody [NB500-255]

Immunohistochemistry-Paraffin: CC2D1A Antibody [NB500-255] - Human colon carcinoma. Antibody used at a dilution of 1:1000 (1ug/ml).
Western Blot: CC2D1A Antibody [NB500-255]

Western Blot: CC2D1A Antibody [NB500-255]

Western Blot: CC2D1A Antibody [NB500-255] - Whole cell lysate from HeLa (15 and 50 ug for WB; 1 mg for IP, 20% of IP loaded), 293T (T; 50 ug), Jurkat (J; 50 ug) and mouse NIH3T3 (M; 50 ug) cells

Applications for CC2D1A Antibody - BSA Free

Application
Recommended Usage

Immunocytochemistry/ Immunofluorescence

1:100

Immunohistochemistry

1:10-1:500

Immunohistochemistry-Paraffin

1:500 - 1:2000

Immunoprecipitation

1 -4 ug/mg lysate

Western Blot

1:1000 - 1:10000
Application Notes
This antibody can be used in Western Blot, Immunofluorescence, and Immunoprecipitation. Recommended Starting Dilutions*: WB: 1:1,000-1:10,000 IP: 1-4 ug/mg lysate IF: 1/100 *Optimal dilutions should be determined by the end user.

Formulation, Preparation, and Storage

Purification

Immunogen affinity purified

Formulation

Tris-Citrate/Phosphate (pH 7.0 - 8.0)

Format

BSA Free

Preservative

0.09% Sodium Azide

Concentration

1.0 mg/ml

Shipping

The product is shipped with polar packs. Upon receipt, store it immediately at the temperature recommended below.

Stability & Storage

Store at 4C. Do not freeze.

Background: CC2D1A

TOUF, or Cc2d1a, is a signal transducer that participates in the positive regulation of the I-kappaB kinase/NF-kappaB cascade. Cc2d1a has been implicated as playing an important role in human cognitive development, with a particular relation to Nonsyndromic Mental Retardation.

Alternate Names

Akt kinase-interacting protein 1, coiled-coil and C2 domain containing 1A, coiled-coil and C2 domain-containing protein 1A, Five repressor element under dual repression-binding protein 1, FLJ20241, FLJ41160, FRE under dual repression-binding protein 1, FREUD-1, mental retardation, nonsyndromic, autosomal recessive, 3, MRT3Freud-1/Aki1, Putative NF-kappa-B-activating protein 023N, putative NFkB activating protein

Entrez Gene IDs

54862 (Human)

Gene Symbol

CC2D1A

UniProt

Additional CC2D1A Products

Product Documents for CC2D1A Antibody - BSA Free

Certificate of Analysis

To download a Certificate of Analysis, please enter a lot number in the search box below.

Product Specific Notices for CC2D1A Antibody - BSA Free

This product is for research use only and is not approved for use in humans or in clinical diagnosis. Primary Antibodies are guaranteed for 1 year from date of receipt.

Loading...
Loading...
Loading...
Loading...