Skip to main content

Cbx8 Antibody - BSA Free

Novus Biologicals, part of Bio-Techne | Catalog # NBP3-38232

Novus Biologicals, part of Bio-Techne
Catalog #
Availability
Size / Price
Qty
Loading...
NBP3-38232-20ul
NBP3-38232-100ul

Key Product Details

Species Reactivity

Human, Mouse, Rat

Applications

Immunohistochemistry, Immunohistochemistry-Paraffin, Western Blot, ELISA

Label

Unconjugated

Antibody Source

Polyclonal Rabbit IgG

Format

BSA Free

Concentration

Please see the vial label for concentration. If unlisted please contact technical services.

Product Specifications

Immunogen

Recombinant fusion protein containing a sequence corresponding to amino acids 80-280 of human Cbx8 (NP_065700.1).

Sequence:
LLKAQAKAKAKTYEFRSDSARGIRIPYPGRSPQDLASTSRAREGLRNMGLSPPASSTSTSSTCRAEAPRDRDRDRDRDRERDRERERERERERERERERERGTSRVDDKPSSPGDSSKKRGPKPRKELPDPSQRPLGEPSAGLGEYLKGRKLDDTPSGAGKFPAGHSVIQLARRQDSDLVQCGVTSPSSAEATGKLAVDTF

Clonality

Polyclonal

Host

Rabbit

Isotype

IgG

Theoretical MW

43 kDa.
Disclaimer note: The observed molecular weight of the protein may vary from the listed predicted molecular weight due to post translational modifications, post translation cleavages, relative charges, and other experimental factors.

Description

Novus Biologicals Rabbit Cbx8 Antibody - BSA Free (NBP3-38232) is a polyclonal antibody validated for use in IHC, WB and ELISA. All Novus Biologicals antibodies are covered by our 100% guarantee.

Scientific Data Images for Cbx8 Antibody - BSA Free

Cbx8 Antibody

Immunohistochemistry: Cbx8 Antibody [NBP3-38232] -

Immunohistochemistry: Cbx8 Antibody [NBP3-38232] - Immunohistochemistry analysis of paraffin-embedded Human colon using Cbx8 Rabbit pAb at dilution of 1:100 (40x lens). Microwave antigen retrieval performed with 0.01M PBS Buffer (pH 7.2) prior to IHC staining.
Cbx8 Antibody

Immunohistochemistry: Cbx8 Antibody [NBP3-38232] -

Immunohistochemistry: Cbx8 Antibody [NBP3-38232] - Immunohistochemistry analysis of paraffin-embedded Mouse testis using Cbx8 Rabbit pAb at dilution of 1:100 (40x lens). Microwave antigen retrieval performed with 0.01M PBS Buffer (pH 7.2) prior to IHC staining.
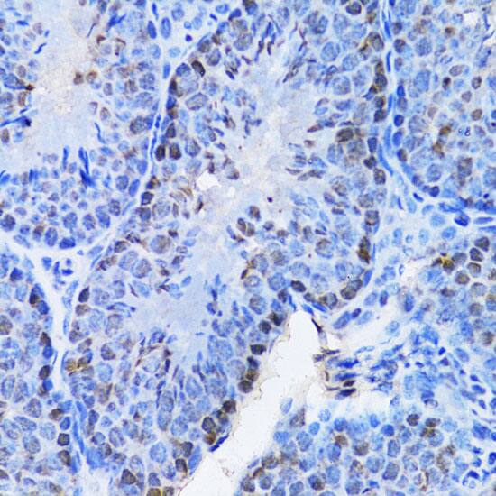
Cbx8 Antibody

Immunohistochemistry: Cbx8 Antibody [NBP3-38232] -

Immunohistochemistry: Cbx8 Antibody [NBP3-38232] - Immunohistochemistry analysis of paraffin-embedded Rat pancreas using Cbx8 Rabbit pAb at dilution of 1:100 (40x lens). Microwave antigen retrieval performed with 0.01M PBS Buffer (pH 7.2) prior to IHC staining.

Applications for Cbx8 Antibody - BSA Free

Application
Recommended Usage

Immunohistochemistry-Paraffin

1:50 - 1:200

Western Blot

1:500 - 1:2000

Formulation, Preparation, and Storage

Purification

Affinity purified

Formulation

PBS (pH 7.3), 50% glycerol

Format

BSA Free

Preservative

0.02% Sodium Azide

Concentration

Please see the vial label for concentration. If unlisted please contact technical services.

Shipping

The product is shipped with polar packs. Upon receipt, store it immediately at the temperature recommended below.

Stability & Storage

Store at -20C. Avoid freeze-thaw cycles.

Background: Cbx8

CBX8 is involved in maintaining the transcriptionally repressive state of genes. It modifies chromatin, rendering it heritably changed in its expressibility.

Alternate Names

chromobox homolog 8, chromobox homolog 8 (Drosophila Pc class), chromobox homolog 8 (Pc class homolog, Drosophila), hPc3, Pc3, PC3chromobox protein homolog 8, polycomb 3, Polycomb 3 homolog, RC1Pc class 3 homolog, Rectachrome 1

Gene Symbol

CBX8

Additional Cbx8 Products

Product Documents for Cbx8 Antibody - BSA Free

Certificate of Analysis

To download a Certificate of Analysis, please enter a lot number in the search box below.

Product Specific Notices for Cbx8 Antibody - BSA Free

This product is for research use only and is not approved for use in humans or in clinical diagnosis. Primary Antibodies are guaranteed for 1 year from date of receipt.

Loading...
Loading...
Loading...
Loading...