Skip to main content

CBX4 Antibody - BSA Free

Novus Biologicals, part of Bio-Techne | Catalog # NBP3-29650

Novus Biologicals, part of Bio-Techne
Catalog #
Availability
Size / Price
Qty
Loading...
NBP3-29650

Key Product Details

Species Reactivity

Human, Mouse

Applications

Immunohistochemistry, Western Blot, Immunoprecipitation

Label

Unconjugated

Antibody Source

Polyclonal Rabbit IgG

Format

BSA Free

Concentration

Please see the vial label for concentration. If unlisted please contact technical services.

Product Specifications

Immunogen

between 150 and 200

Clonality

Polyclonal

Host

Rabbit

Isotype

IgG

Description

Novus Biologicals Rabbit CBX4 Antibody - BSA Free (NBP3-29650) is a polyclonal antibody validated for use in IHC, WB and IP. All Novus Biologicals antibodies are covered by our 100% guarantee.

Scientific Data Images for CBX4 Antibody - BSA Free

CBX4 Antibody

Immunohistochemistry;CBX4 Antibody[NBP3-29650]

Immunohistochemistry;CBX4 Antibody[NBP3-29650]Detection of mouse Pc2 by immunohistochemistry. Sample: FFPE section of mouse renal cell carcinoma. Antibody: Affinity purified rabbit anti- Pc2 used at a dilution of 1:1,000 . Detection: DAB
CBX4 Antibody

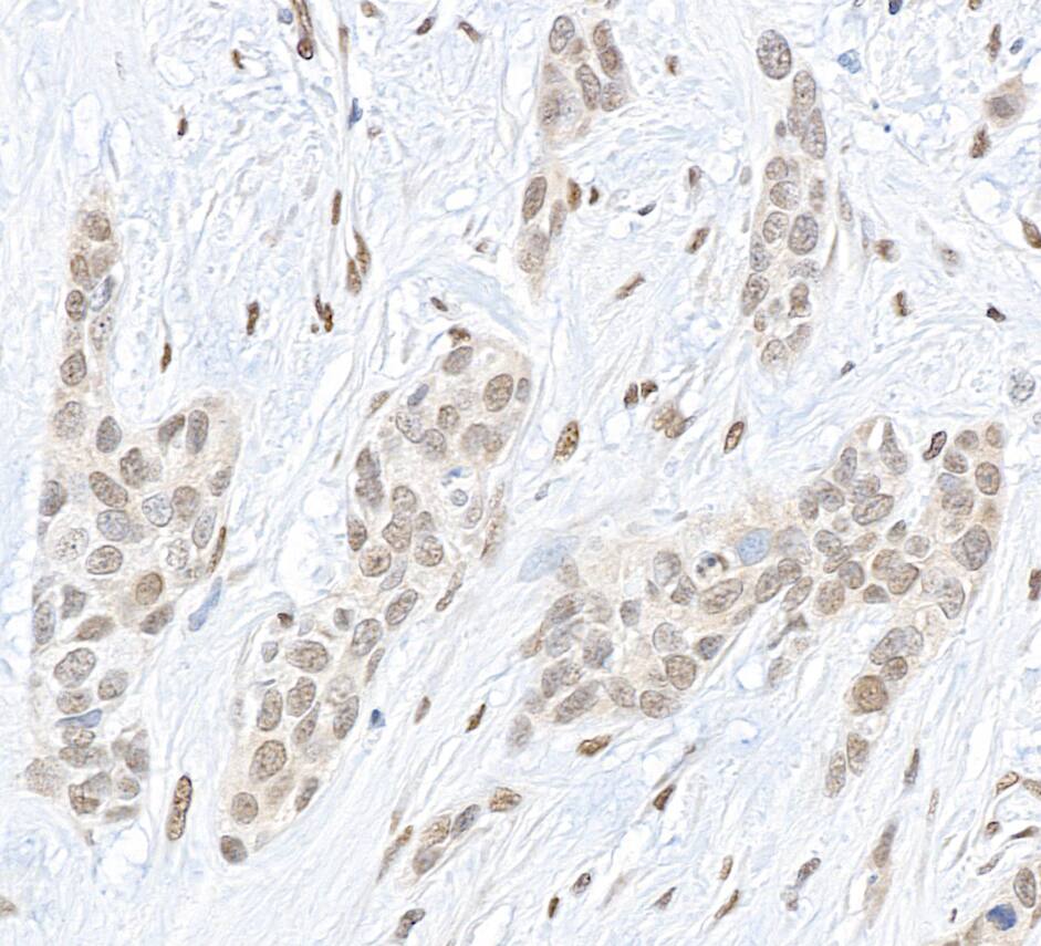
Immunohistochemistry;CBX4 Antibody[NBP3-29649]

Immunohistochemistry;CBX4 Antibody[NBP3-29649]Detection of human Pc2 by immunohistochemistry. Sample: FFPE section of human bladder carcinoma. Antibody: Affinity purified rabbit anti- Pc2 used at a dilution of 1:1,000 . Detection: DAB
CBX4 Antibody

Immunoprecipitation:CBX4 AntibodyNBP3-29650] -

Immunoprecipitation:CBX4 AntibodyNBP3-29650] -Detection of human Pc2 by western blot of immunoprecipitates. Samples: Whole cell lysate (1.0 mg per IP reaction; 20% of IP loaded) from HeLa cells prepared using NETN lysis buffer. Antibodies: Affinity purified rabbit anti-Pc2 antibody (NBP3-29650 lot 2) used for IP at 6 µg per reaction. Pc2 was also immunoprecipitated by a previous lot of this antibody (NBP3-29650 lot 1). For blotting immunoprecipitated Pc2, NBP3-29650 was used at 0.1 µg/ml. Detection: Chemiluminescence with an exposure time of 30 seconds.

Applications for CBX4 Antibody - BSA Free

Application
Recommended Usage

Immunohistochemistry

Optimal dilutions of this antibody should be experimentally determined.

Immunoprecipitation

Optimal dilutions of this antibody should be experimentally determined.

Western Blot

Optimal dilutions of this antibody should be experimentally determined.

Formulation, Preparation, and Storage

Purification

Affinity purified

Formulation

Tris-citrate/phosphate buffer, pH 7 to 8

Format

BSA Free

Preservative

0.09% Sodium Azide

Concentration

Please see the vial label for concentration. If unlisted please contact technical services.

Shipping

The product is shipped with polar packs. Upon receipt, store it immediately at the temperature recommended below.

Stability & Storage

Store at 4C. Do not freeze.

Background: CBX4

PC2 is the human homolog of the Drosophila 'Polycomb' (Pc) protein which has been identified as a gene family member associated with a cellular memory system that is responsible for the inheritance of gene activity by progeny cells. The human Pc homolog gene is more closely related to a Xenopus Pc homolog, XPc, than to a previously described human Pc homolog, CBX2 (hPc1). However, the hPc2 and CBX2/hPc1 proteins are shown to colocalize in interphase nuclei of human U-2 OS osteosarcoma cells, suggesting that the proteins are part of a common protein complex. The human protein is believed to function as a repressor of proto-oncogene activity and that interference with hPc2 function can lead to derepression of proto-oncogene transcription and subsequently to cellular transformation. Other reports describe PC2 as a protein that has SUMO E3 activity for the corepressors CtBP and CtBP2.

Alternate Names

chromobox homolog 4, chromobox homolog 4 (Drosophila Pc class), Chromobox protein homolog 4, Drosophila), E3 SUMO-protein ligase CBX4, hPC2, NS5ATP1-binding protein 16, Pc class 2 homolog, Pc2, Polycomb 2 homolog

Gene Symbol

CBX4

Additional CBX4 Products

Product Documents for CBX4 Antibody - BSA Free

Certificate of Analysis

To download a Certificate of Analysis, please enter a lot number in the search box below.

Product Specific Notices for CBX4 Antibody - BSA Free

This product is for research use only and is not approved for use in humans or in clinical diagnosis. Primary Antibodies are guaranteed for 1 year from date of receipt.

Loading...
Loading...
Loading...
Loading...