CBX1 Antibody
Novus Biologicals, part of Bio-Techne | Catalog # NB100-2423
Key Product Details
Species Reactivity
Validated:
Human
Predicted:
Bovine (100%), Canine (100%), Mouse (100%), Rat (100%). Backed by our 100% Guarantee.
Applications
Immunohistochemistry, Immunohistochemistry-Paraffin, Western Blot, Peptide ELISA
Label
Unconjugated
Antibody Source
Polyclonal Goat IgG
Concentration
0.5 mg/ml
Product Specifications
Immunogen
Peptide with sequence C-QSQKTAHETDKSE corresponding to internal region according to NP_001120700.1.
Specificity
Variants (NP_006798.1; NP_001120700.1) encode the same protein.
Clonality
Polyclonal
Host
Goat
Isotype
IgG
Description
Novus Biologicals Goat CBX1 Antibody (NB100-2423) is a polyclonal antibody validated for use in IHC, WB and ELISA. Anti-CBX1 Antibody: Cited in 1 publication. All Novus Biologicals antibodies are covered by our 100% guarantee.
Scientific Data Images for CBX1 Antibody
Western Blot: CBX1 Antibody [NB100-2423]
Western Blot: CBX1 Antibody [NB100-2423] - (0.3ug/ml) staining of A431 lysate (35ug protein in RIPA buffer). Primary incubation was 1 hour. Detected by chemiluminescence.Immunohistochemistry-Paraffin: CBX1 Antibody [NB100-2423]
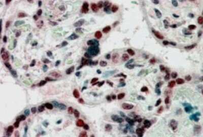
Immunohistochemistry-Paraffin: CBX1 Antibody [NB100-2423] - 2.5ug/ml staining of paraffin embedded Human Placenta. Steamed antigen retrieval with citrate buffer pH 6, AP-staining.Applications for CBX1 Antibody
Application
Recommended Usage
Immunohistochemistry
2 - 3 ug/ml
Immunohistochemistry-Paraffin
2 - 3 ug/ml
Peptide ELISA
Detection limit 1:32000
Western Blot
0.3 - 10 ug/ml
Application Notes
WB: Approx. 25 kDa band observed in lysates of A431, HeLa and HepG2 (calculated MW of 25 kDa band according to NP_006798.1). IHC-P: Human placenta shows strong nuclear staining in trophoblasts.
Formulation, Preparation, and Storage
Purification
Immunogen affinity purified
Formulation
Tris saline (20 mM Tris pH 7.3, 150 mM NaCl), 0.5% BSA
Preservative
0.02% Sodium Azide
Concentration
0.5 mg/ml
Shipping
The product is shipped with polar packs. Upon receipt, store it immediately at the temperature recommended below.
Stability & Storage
Store at -20C. Avoid freeze-thaw cycles.
Background: CBX1
Alternate Names
CBXM31HP1-BETA, chromobox homolog 1, chromobox homolog 1 (Drosophila HP1 beta), chromobox homolog 1 (HP1 beta homolog Drosophila ), chromobox protein homolog 1, Heterochromatin protein 1 homolog beta, heterochromatin protein 1-beta, Heterochromatin protein p25, heterochromatin protein p25 beta, HP1 beta, HP1 beta homolog, HP1Hsbeta, HP1Hs-beta, MOD1, Modifier 1 protein, p25beta
Gene Symbol
CBX1
UniProt
Additional CBX1 Products
Product Documents for CBX1 Antibody
Product Specific Notices for CBX1 Antibody
This product is for research use only and is not approved for use in humans or in clinical diagnosis. Primary Antibodies are guaranteed for 1 year from date of receipt.
Loading...
Loading...
Loading...
Loading...