CBLL1 Antibody - BSA Free
Novus Biologicals, part of Bio-Techne | Catalog # NBP1-83588
Key Product Details
Validated by
Independent Antibodies
Species Reactivity
Validated:
Human
Predicted:
Mouse (93%), Rat (93%). Backed by our 100% Guarantee.
Applications
Immunohistochemistry, Immunohistochemistry-Paraffin, Immunocytochemistry/ Immunofluorescence
Label
Unconjugated
Antibody Source
Polyclonal Rabbit IgG
Format
BSA Free
Concentration
Concentrations vary lot to lot. See vial label for concentration. If unlisted please contact technical services.
Product Specifications
Immunogen
This antibody was developed against Recombinant Protein corresponding to amino acids: HTDNELQGTNSSGSLGGLDVRRRIPIKLISKQANKAKPAPRTQRTINRMPAKAPPGDEEGFDYNEEERYDCKGGELFANQRRFPGHLFWDFQINILGEKDDTPVHFC
Clonality
Polyclonal
Host
Rabbit
Isotype
IgG
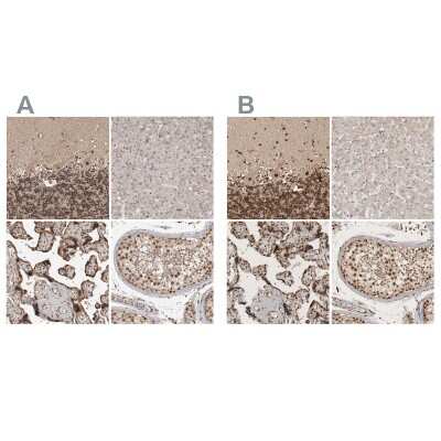
Scientific Data Images for CBLL1 Antibody - BSA Free
Immunocytochemistry/ Immunofluorescence: CBLL1 Antibody [NBP1-83588]
Immunocytochemistry/Immunofluorescence: CBLL1 Antibody [NBP1-83588] - Staining of human cell line U-251 MG shows localization to nuclear speckles.Immunohistochemistry-Paraffin: CBLL1 Antibody [NBP1-83588]
Immunohistochemistry-Paraffin: CBLL1 Antibody [NBP1-83588] - Staining of human testis shows strong nuclear positivity in cells in seminiferous ducts.Immunohistochemistry-Paraffin: CBLL1 Antibody [NBP1-83588]
Immunohistochemistry-Paraffin: CBLL1 Antibody [NBP1-83588] - Staining of human cerebellum shows strong nuclear positivity in all layers.Applications for CBLL1 Antibody - BSA Free
Application
Recommended Usage
Immunocytochemistry/ Immunofluorescence
0.25-2 ug/ml
Immunohistochemistry
1:50 - 1:200
Immunohistochemistry-Paraffin
1:50 - 1:200
Application Notes
For IHC-Paraffin, HIER pH 6 retrieval is recommended. Immunocytochemistry/Immunofluorescence Fixation Permeabilization: Use PFA/Triton X-100.
Formulation, Preparation, and Storage
Purification
Affinity purified
Formulation
PBS (pH 7.2) and 40% Glycerol
Format
BSA Free
Preservative
0.02% Sodium Azide
Concentration
Concentrations vary lot to lot. See vial label for concentration. If unlisted please contact technical services.
Shipping
The product is shipped with polar packs. Upon receipt, store it immediately at the temperature recommended below.
Stability & Storage
Store at 4C short term. Aliquot and store at -20C long term. Avoid freeze-thaw cycles.
Background: CBLL1
Alternate Names
Cas-Br-M (murine) ecotropic retroviral transforming sequence-like 1, Casitas B-lineage lymphoma-transforming sequence-like protein 1, c-Cbl-like protein 1, E3 ubiquitin-protein ligase Hakai, EC 6.3.2, EC 6.3.2.-, E-cadherin binding protein E7, HAKAIRNF188FLJ23109, MGC163401, MGC163403, RING finger protein 188
Gene Symbol
CBLL1
Additional CBLL1 Products
Product Documents for CBLL1 Antibody - BSA Free
Product Specific Notices for CBLL1 Antibody - BSA Free
This product is for research use only and is not approved for use in humans or in clinical diagnosis. Primary Antibodies are guaranteed for 1 year from date of receipt.
Loading...
Loading...
Loading...
Loading...