Skip to main content

Cathepsin V Antibody - BSA Free

Novus Biologicals, part of Bio-Techne | Catalog # NBP3-42366

Novus Biologicals, part of Bio-Techne
Catalog #
Availability
Size / Price
Qty
Loading...
NBP3-42366

Key Product Details

Species Reactivity

Human

Applications

Immunohistochemistry, Immunohistochemistry-Paraffin, Western Blot

Label

Unconjugated

Antibody Source

Polyclonal Rabbit

Format

BSA Free

Concentration

0.5 mg/ml

Product Specifications

Immunogen

Immunogen sequence: Gly64-Val334 (Uniprot#: O60911)

Clonality

Polyclonal

Host

Rabbit

Description

Novus Biologicals Rabbit Cathepsin V Antibody - BSA Free (NBP3-42366) is a polyclonal antibody validated for use in IHC and WB. All Novus Biologicals antibodies are covered by our 100% guarantee.

Scientific Data Images for Cathepsin V Antibody - BSA Free

Cathepsin V Antibody

Western Blot: Cathepsin V Antibody [NBP3-42366] -

Western Blot: Cathepsin V Antibody [NBP3-42366] - Sample: Recombinant protein.
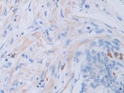
Cathepsin V Antibody

Immunohistochemistry-Paraffin: Cathepsin V Antibody [NBP3-42366] -

Immunohistochemistry-Paraffin: Cathepsin V Antibody [NBP3-42366] - DAB staining on IHC-P; Samples: Human Prostate Tissue; Primary Ab: 30ug/ml NBP3-42366; Second Ab: 2ug/mL HRP-Linked Caprine Anti-Rabbit IgG Polyclonal Antibody
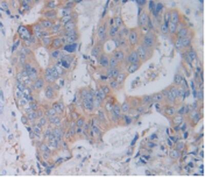
Cathepsin V Antibody

Immunohistochemistry-Paraffin: Cathepsin V Antibody [NBP3-42366] -

Immunohistochemistry-Paraffin: Cathepsin V Antibody [NBP3-42366] - DAB staining on IHC-P; Samples: Human Rectum Cancer Tissue

Applications for Cathepsin V Antibody - BSA Free

Application
Recommended Usage

Immunohistochemistry

5-30ug/mL

Immunohistochemistry-Paraffin

5-30ug/mL

Western Blot

0.01-3ug/mL

Formulation, Preparation, and Storage

Purification

Antigen and protein A Affinity-purified

Formulation

0.01M PBS, pH7.4, 50% glycerol

Format

BSA Free

Preservative

0.05% Proclin 300

Concentration

0.5 mg/ml

Shipping

The product is shipped with polar packs. Upon receipt, store it immediately at the temperature recommended below.

Stability & Storage

Store at 4C short term. Aliquot and store at -20C long term. Avoid freeze-thaw cycles.

Background: Cathepsin V

Cathepsin V is encoded by this gene, a member of the peptidase C1 family, is a lysosomal cysteine proteinase that may play an important role in corneal physiology. This gene is expressed in colorectal and breast carcinomas but not in normal colon, mammary gland, or peritumoral tissues, suggesting a possible role for this gene in tumor processes. [provided by RefSeq]

Alternate Names

Cathepsin L2, Cathepsin U, CTSL2

Gene Symbol

CTSV

Additional Cathepsin V Products

Product Documents for Cathepsin V Antibody - BSA Free

Certificate of Analysis

To download a Certificate of Analysis, please enter a lot number in the search box below.

Product Specific Notices for Cathepsin V Antibody - BSA Free

This product is for research use only and is not approved for use in humans or in clinical diagnosis. Primary Antibodies are guaranteed for 1 year from date of receipt.

Loading...
Loading...
Loading...
Loading...