Skip to main content

Caspase-9 Antibody (2-22) - Azide and BSA Free

Novus Biologicals, part of Bio-Techne | Catalog # NBP1-19231

Novus Biologicals, part of Bio-Techne
Catalog #
Availability
Size / Price
Qty
Loading...
NBP1-19231-0.05mg

Key Product Details

Species Reactivity

Human, Primate

Applications

Immunohistochemistry, Immunohistochemistry-Paraffin, Western Blot, Immunoprecipitation

Label

Unconjugated

Antibody Source

Monoclonal Mouse IgG1 Clone # 2-22

Format

Azide and BSA Free

Concentration

1.0 mg/ml

Product Specifications

Immunogen

Recombinant human Caspase-9 protein (prodomain)

Specificity

Caspase-9 (2-22)

Clonality

Monoclonal

Host

Mouse

Isotype

IgG1

Theoretical MW

46 kDa.
Disclaimer note: The observed molecular weight of the protein may vary from the listed predicted molecular weight due to post translational modifications, post translation cleavages, relative charges, and other experimental factors.

Description

Novus Biologicals Mouse Caspase-9 Antibody (2-22) - Azide and BSA Free (NBP1-19231) is a monoclonal antibody validated for use in IHC, WB and IP. Anti-Caspase-9 Antibody: Cited in 3 publications. All Novus Biologicals antibodies are covered by our 100% guarantee.

Scientific Data Images for Caspase-9 Antibody (2-22) - Azide and BSA Free

Western Blot: Caspase-9 Antibody (2-22) [NBP1-19231]

Western Blot: Caspase-9 Antibody (2-22) [NBP1-19231]

Western Blot: Caspase-9 Antibody (2-22) [NBP1-19231] - Analysis on human HeLa and HeLa induced cell lysates.
Immunohistochemistry: Caspase-9 Antibody (2-22) [NBP1-19231]

Immunohistochemistry: Caspase-9 Antibody (2-22) [NBP1-19231]

Immunohistochemistry: Caspase-9 Antibody (2-22) [NBP1-19231] - Human uterus, vessels tissue stained with Caspase-9, mAb (2-22) at 10ug/ml.
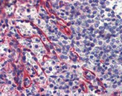
Immunohistochemistry: Caspase-9 Antibody (2-22) [NBP1-19231]

Immunohistochemistry: Caspase-9 Antibody (2-22) [NBP1-19231]

Immunohistochemistry: Caspase-9 Antibody (2-22) [NBP1-19231] - Human spleen tissue stained with Caspase-9, mAb (2-22) at 10ug/ml.

Applications for Caspase-9 Antibody (2-22) - Azide and BSA Free

Application
Recommended Usage

Immunohistochemistry

1:10-1:500

Immunohistochemistry-Paraffin

1:10-1:500

Immunoprecipitation

1:10-1:500

Western Blot

1:100-1:2000

Formulation, Preparation, and Storage

Purification

Protein G purified

Formulation

PBS containing 0.01mM PMSF and 50% glycerol.

Format

Azide and BSA Free

Preservative

No Preservative

Concentration

1.0 mg/ml

Shipping

The product is shipped with polar packs. Upon receipt, store it immediately at the temperature recommended below.

Stability & Storage

Store at -20C. Avoid freeze-thaw cycles.

Background: Caspase-9

The caspases are a family of cysteine proteases that cleave after certain aspartate residues, and are primarily recognized as mediators of apoptosis. caspases are synthesized as inactive zymogens that can be cleaved to form active enzymes following the induction of apoptosis by stress or death receptors. Initiator caspases (e.g. caspase-8 and -10) are activated by dimerization of the zymogen on a dedicated adaptor protein. These activated initiator caspases in-turn cleave downstream effector or executioner caspases (e.g. caspase-3, -6, and -7) in a cascade-like manner, which cleave key cellular proteins that lead to the morphological changes associated with apoptotic cell death.

Alternate Names

CASP9, Caspase9

Entrez Gene IDs

842 (Human)

Gene Symbol

CASP9

Additional Caspase-9 Products

Product Documents for Caspase-9 Antibody (2-22) - Azide and BSA Free

Certificate of Analysis

To download a Certificate of Analysis, please enter a lot number in the search box below.

Product Specific Notices for Caspase-9 Antibody (2-22) - Azide and BSA Free

This product is for research use only and is not approved for use in humans or in clinical diagnosis. Primary Antibodies are guaranteed for 1 year from date of receipt.

Loading...
Loading...
Loading...
Loading...
Loading...