Skip to main content

Caspase-8 Antibody (PSH04-77)

Novus Biologicals, part of Bio-Techne | Catalog # NBP3-32109

Recombinant Monoclonal Antibody
Novus Biologicals, part of Bio-Techne
Catalog #
Availability
Size / Price
Qty
Loading...
NBP3-32109

Key Product Details

Species Reactivity

Human

Applications

Immunohistochemistry, Immunohistochemistry-Paraffin, Western Blot, Flow Cytometry, Immunocytochemistry/ Immunofluorescence

Label

Unconjugated

Antibody Source

Recombinant Monoclonal Rabbit IgG Clone # PSH04-77 expressed in HEK293

Concentration

1 mg/ml

Product Specifications

Immunogen

Synthetic peptide within human Caspase-8 aa 325-374 / 479. (Uniprot: Q14790)

Localization

Cytoplasm, Nucleus.

Clonality

Monoclonal

Host

Rabbit

Isotype

IgG

Theoretical MW

55 kDa.
Disclaimer note: The observed molecular weight of the protein may vary from the listed predicted molecular weight due to post translational modifications, post translation cleavages, relative charges, and other experimental factors.

Description

Novus Biologicals Rabbit Caspase-8 Antibody (PSH04-77) (NBP3-32109) is a recombinant monoclonal antibody validated for use in IHC, WB, Flow and ICC/IF. All Novus Biologicals antibodies are covered by our 100% guarantee.

Scientific Data Images for Caspase-8 Antibody (PSH04-77)

Caspase-8 Antibody (PSH04-77)

Western Blot: Caspase-8 Antibody (PSH04-77) [NBP3-32109]

Western Blot: Caspase-8 Antibody (PSH04-77) [NBP3-32109] - Western blot analysis of Caspase-8 on different lysates with Rabbit anti-Caspase-8 antibody (NBP3-32109) at 1/2,000 dilution.

Lane 1: Jurkat cell lysate
Lane 2: Jurkat treated with 25uM Etoposide for 5 hours cell lysate
Lane 3: Jurkat treated with 25uM Etoposide for 16 hours cell lysate
Lane 4: Jurkat treated with 1uM staurosporine for 3 hours cell lysate
Lane 5: HeLa cell lysate
Lane 6: HeLa treated with 1uM staurosporine for 3 hours cell lysate
Lane 7: HeLa treated with 100uM Etoposide for 4 hours cell lysate

Lysates/proteins at 30 ug/Lane.

Predicted band size: 55 kDa
Observed band size: 18-55 kDa

Exposure time: 3 minutes; ECL;

4-20% SDS-PAGE gel.

Proteins were transferred to a PVDF membrane and blocked with 5% NFDM/TBST for 1 hour at room temperature. The primary antibody (NBP3-32109) at 1/2,000 dilution was used in antibody diluent at 4C overnight. Goat Anti-Rabbit IgG - HRP Secondary Antibody at 1/50,000 dilution was used for 1 hour at room temperature.
Caspase-8 Antibody (PSH04-77)

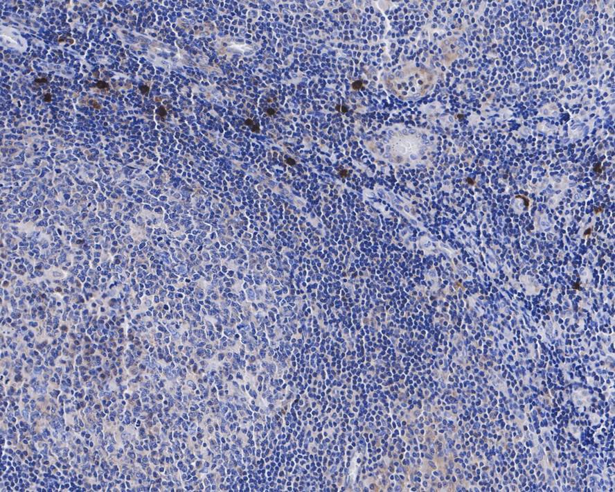
Immunohistochemistry: Caspase-8 Antibody (PSH04-77) [NBP3-32109]

Immunohistochemistry: Caspase-8 Antibody (PSH04-77) [NBP3-32109] - Immunohistochemical analysis of paraffin-embedded human tonsil tissue with Rabbit anti-Caspase-8 antibody (NBP3-32109) at 1/1,000 dilution.

The section was pre-treated using heat mediated antigen retrieval with Tris-EDTA buffer (pH 9.0) for 20 minutes. The tissues were blocked in 1% BSA for 20 minutes at room temperature, washed with ddH2O and PBS, and then probed with the primary antibody (NBP3-32109) at 1/1,000 dilution for 1 hour at room temperature. The detection was performed using an HRP conjugated compact polymer system. DAB was used as the chromogen. Tissues were counterstained with hematoxylin and mounted with DPX.
Caspase-8 Antibody (PSH04-77)

Immunocytochemistry/ Immunofluorescence: Caspase-8 Antibody (PSH04-77) [NBP3-32109]

Immunocytochemistry/ Immunofluorescence: Caspase-8 Antibody (PSH04-77) [NBP3-32109] - Immunocytochemistry analysis of HeLa cells treated with or without 1μM staurosporine for 3 hours labeling Caspase-8 with Rabbit anti-Caspase-8 antibody (NBP3-32109) at 1/100 dilution.

Cells were fixed in 4% paraformaldehyde for 20 minutes at room temperature, permeabilized with 0.1% Triton X-100 in PBS for 5 minutes at room temperature, then blocked with 1% BSA in 10% negative goat serum for 1 hour at room temperature. Cells were then incubated with Rabbit anti-Caspase-8 antibody (NBP3-32109) at 1/100 dilution in 1% BSA in PBST overnight at 4 ℃. Goat Anti-Rabbit IgG H&L (iFluor™ 488) was used as the secondary antibody at 1/1,000 dilution. PBS instead of the primary antibody was used as the secondary antibody only control. Nuclear DNA was labelled in blue with DAPI.

Beta tubulin (red) was stained at 1/100 dilution overnight at +4℃. Goat Anti-Mouse IgG H&L (iFluor™ 594) was used as the secondary antibody at 1/1,000 dilution.

Applications for Caspase-8 Antibody (PSH04-77)

Application
Recommended Usage

Flow Cytometry

1:1000

Immunocytochemistry/ Immunofluorescence

1:100

Immunohistochemistry-Paraffin

1:200-1:1000

Western Blot

1:2000

Formulation, Preparation, and Storage

Purification

Protein A purified

Formulation

PBS (pH7.4), 0.1% BSA and 40% Glycerol

Preservative

0.05% Sodium Azide

Concentration

1 mg/ml

Shipping

The product is shipped with polar packs. Upon receipt, store it immediately at the temperature recommended below.

Stability & Storage

Store at 4C short term. Aliquot and store at -20C long term. Avoid freeze-thaw cycles.

Background: Caspase-8

Caspase 8 (CASP8) is a member of the cysteine-aspartic acid protease (caspase) family that is involved in the execution-phase of cell apoptosis. The sequential activation of caspases plays a central role in the execution-phase of cell apoptosis, and Caspase 8 is the most upstream protease in the the caspase activation cascade.

Caspase 8 is expressed as an inactive proenzyme which then undergos proteolytic processing by upstream caspases, to form an active (cleaved) caspase 8 form.

Caspase 8 antibodies are important tools for apoptosis studies and research on the caspase family mediated apoptosis signaling pathway.

Alternate Names

CASP8, Caspase8, Mch5

Gene Symbol

CASP8

Additional Caspase-8 Products

Product Documents for Caspase-8 Antibody (PSH04-77)

Certificate of Analysis

To download a Certificate of Analysis, please enter a lot number in the search box below.

Product Specific Notices for Caspase-8 Antibody (PSH04-77)

This product is for research use only and is not approved for use in humans or in clinical diagnosis. Primary Antibodies are guaranteed for 1 year from date of receipt.

Loading...
Loading...
Loading...
Loading...
Loading...
Loading...