Skip to main content

Caspase-4 Antibody - BSA Free

Novus Biologicals, part of Bio-Techne | Catalog # NBP3-35895

Novus Biologicals, part of Bio-Techne
Catalog #
Availability
Size / Price
Qty
Loading...
NBP3-35895-100ul
NBP3-35895-20ul

Key Product Details

Species Reactivity

Human

Applications

Immunohistochemistry, Immunohistochemistry-Paraffin, Western Blot, ELISA

Label

Unconjugated

Antibody Source

Polyclonal Rabbit IgG

Format

BSA Free

Concentration

Please see the vial label for concentration. If unlisted please contact technical services.

Product Specifications

Immunogen

A synthetic peptide corresponding to a sequence within amino acids 81-270 of human Caspase-4 (NP_001216.1).

Sequence:
SDSTFLVLMSHGILEGICGTVHDEKKPDVLLYDTIFQIFNNRNCLSLKDKPKVIIVQACRGANRGELWVRDSPASLEVASSQSSENLEEDAVYKTHVEKDF

Clonality

Polyclonal

Host

Rabbit

Isotype

IgG

Theoretical MW

43 kDa.
Disclaimer note: The observed molecular weight of the protein may vary from the listed predicted molecular weight due to post translational modifications, post translation cleavages, relative charges, and other experimental factors.

Description

Novus Biologicals Rabbit Caspase-4 Antibody - BSA Free (NBP3-35895) is a polyclonal antibody validated for use in IHC, WB and ELISA. All Novus Biologicals antibodies are covered by our 100% guarantee.

Scientific Data Images for Caspase-4 Antibody - BSA Free

Caspase-4 Antibody

Western Blot: Caspase-4 Antibody [NBP3-35895] -

Western Blot: Caspase-4 Antibody [NBP3-35895] - Western blot analysis of lysates from THP-1 cells, using Caspase-4 Rabbit pAb at 1:1000 dilution.
Secondary antibody: HRP-conjugated Goat anti-Rabbit IgG (H+L) at 1:10000 dilution.
Lysates/proteins: 25ug per lane.
Blocking buffer: 3% nonfat dry milk in TBST.
Detection: ECL Basic Kit.
Exposure time: 1s.
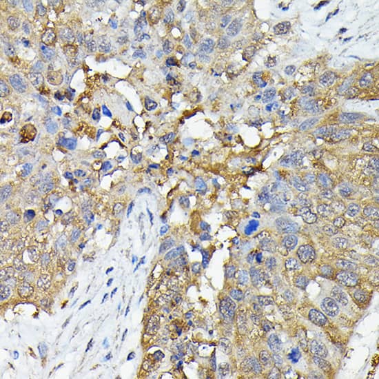
Caspase-4 Antibody

Immunohistochemistry: Caspase-4 Antibody [NBP3-35895] -

Immunohistochemistry: Caspase-4 Antibody [NBP3-35895] - Immunohistochemistry analysis of paraffin-embedded Human breast cancer using Caspase-4 Rabbit pAb at dilution of 1:50 (40x lens). High pressure antigen retrieval performed with 0.01M Citrate Bufferr (pH 6.0) prior to IHC staining.
Caspase-4 Antibody

Western Blot: Caspase-4 Antibody [NBP3-35895] -

Western Blot: Caspase-4 Antibody [NBP3-35895] - Western blot analysis of lysates from SW620 cells, using Caspase-4 Rabbit pAb at 1:1000 dilution.
Secondary antibody: HRP-conjugated Goat anti-Rabbit IgG (H+L) at 1:10000 dilution.
Lysates/proteins: 25ug per lane.
Blocking buffer: 3% nonfat dry milk in TBST.
Detection: ECL Basic Kit.
Exposure time: 5min.

Applications for Caspase-4 Antibody - BSA Free

Application
Recommended Usage

Immunohistochemistry-Paraffin

1:50 - 1:200

Western Blot

1:500 - 1:1000

Formulation, Preparation, and Storage

Purification

Affinity purified

Formulation

PBS (pH 7.3), 50% glycerol

Format

BSA Free

Preservative

0.02% Sodium Azide

Concentration

Please see the vial label for concentration. If unlisted please contact technical services.

Shipping

The product is shipped with polar packs. Upon receipt, store it immediately at the temperature recommended below.

Stability & Storage

Store at -20C. Avoid freeze-thaw cycles.

Background: Caspase-4

Caspase 4 encodes a protein that is a member of the cysteine-aspartic acid protease (caspase) family. Sequential activation of caspases plays a central role in the execution-phase of cell apoptosis. Caspases exist as inactive proenzymes composed of a prodomain and a large and small protease subunit. Activation of caspases requires proteolytic processing at conserved internal aspartic residues to generate a heterodimeric enzyme consisting of the large and small subunits. This caspase is able to cleave and activate its own precursor protein, as well as caspase 1 precursor. When overexpressed, this gene induces cell apoptosis. Alternative splicing results in transcript variants encoding distinct isoforms.

Alternate Names

CASP4, Caspase4, ICE(rel)II, ICH-2, Mih1/TX, TX

Gene Symbol

CASP4

Additional Caspase-4 Products

Product Documents for Caspase-4 Antibody - BSA Free

Certificate of Analysis

To download a Certificate of Analysis, please enter a lot number in the search box below.

Product Specific Notices for Caspase-4 Antibody - BSA Free

This product is for research use only and is not approved for use in humans or in clinical diagnosis. Primary Antibodies are guaranteed for 1 year from date of receipt.

Loading...
Loading...
Loading...
Loading...