Skip to main content

Caspase-12 Antibody - BSA Free

Novus Biologicals, part of Bio-Techne | Catalog # NBP1-76801

Novus Biologicals, part of Bio-Techne

Key Product Details

Species Reactivity

Validated:

Human, Mouse, Rat, Chicken

Cited:

Mouse, Avian - Chicken

Applications

Validated:

Immunohistochemistry, Immunohistochemistry-Paraffin, Western Blot, ELISA, Immunocytochemistry/ Immunofluorescence

Cited:

Western Blot, Immunocytochemistry/ Immunofluorescence

Label

Unconjugated

Antibody Source

Polyclonal Rabbit IgG

Format

BSA Free

Concentration

1 mg/ml

Product Specifications

Immunogen

Antibody was raised against a 17 amino acid peptide near the center of murine Caspase-12. The immunogen is located within amino acids 90 - 140 of Caspase-12. Amino Acid Squence: CTPSSPSESKRKVEDDE

Reactivity Notes

Use in Chicken reported in scientific publication (PMID: 32587659).

Clonality

Polyclonal

Host

Rabbit

Isotype

IgG

Theoretical MW

55 kDa.
Disclaimer note: The observed molecular weight of the protein may vary from the listed predicted molecular weight due to post translational modifications, post translation cleavages, relative charges, and other experimental factors.

Description

Novus Biologicals Rabbit Caspase-12 Antibody - BSA Free (NBP1-76801) is a polyclonal antibody validated for use in IHC, WB, ELISA and ICC/IF. Anti-Caspase-12 Antibody: Cited in 6 publications. All Novus Biologicals antibodies are covered by our 100% guarantee.

Scientific Data Images for Caspase-12 Antibody - BSA Free

Western Blot: Caspase-12 AntibodyBSA Free [NBP1-76801]

Western Blot: Caspase-12 AntibodyBSA Free [NBP1-76801]

Western Blot: Caspase-12 Antibody [NBP1-76801] - Western blot analysis of Caspase-12 in (A) human spleen and (B) mouse spleen tissue lysate with Caspase-12 antibody at 1 ug/mL.
Caspase-12 Antibody - BSA Free

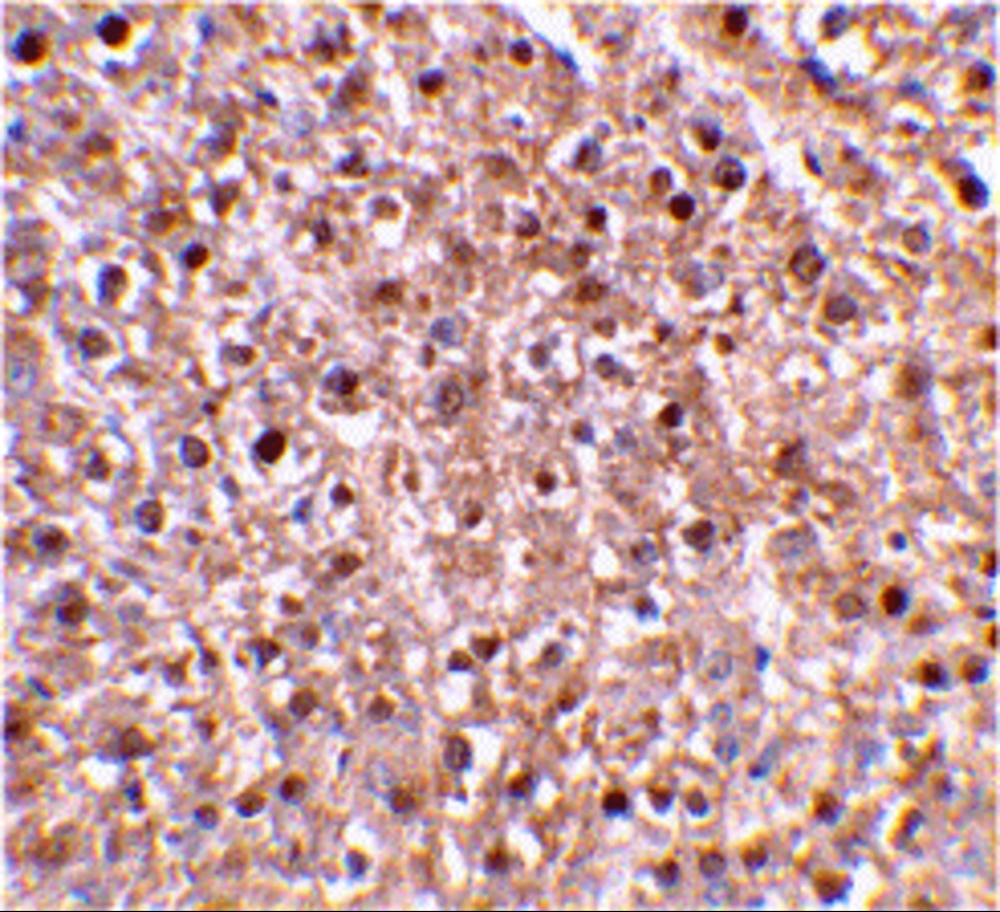
Immunohistochemistry: Caspase-12 Antibody - BSA Free [NBP1-76801] -

Immunohistochemistry: Caspase-12 Antibody - BSA Free [NBP1-76801] - Immunohistochemical staining of mouse liver tissue using caspase-12 antibody at 2 u/mL.
Caspase-12 Antibody - BSA Free

Immunocytochemistry/ Immunofluorescence: Caspase-12 Antibody - BSA Free [NBP1-76801] -

Immunocytochemistry/ Immunofluorescence: Caspase-12 Antibody - BSA Free [NBP1-76801] - Immunofluorescence of Caspase-12 in Mouse Liver cells with Caspase-12 antibody at 10 ug/mL.

Applications for Caspase-12 Antibody - BSA Free

Application
Recommended Usage

ELISA

1:100-1:2000

Immunocytochemistry/ Immunofluorescence

10 ug/ml

Immunohistochemistry

2 ug/ml

Immunohistochemistry-Paraffin

2 ug/ml

Western Blot

1 ug/ml

Reviewed Applications

Read 2 reviews rated 4.5 using NBP1-76801 in the following applications:

Formulation, Preparation, and Storage

Purification

Peptide affinity purified

Formulation

PBS

Format

BSA Free

Preservative

0.02% Sodium Azide

Concentration

1 mg/ml

Shipping

The product is shipped with polar packs. Upon receipt, store it immediately at the temperature recommended below.

Stability & Storage

Store at 4C short term. Aliquot and store at -20C long term. Avoid freeze-thaw cycles.

Background: Caspase-12

Three distinct signaling pathways lead to programmed cell death (apoptosis). The death receptor and mitochondrion pathways are the mains, in which the key apoptotic proteases capase-8 and caspase-9, respectively, are involved. The endoplasmic reticulum (ER) stress is the third apoptotic pathway and caspase-12 is involved. Caspase-12 is localized to the ER but not to cytoplasm or mitochondrion. Caspase-12 is activated by ER stress, including disruption of ER calcium homeostasis, and mediates ER stress-induced apoptosis. Caspase-12 is co-localized to the ER with several proteins that are involved in Alzheimer's disease including gamma-secretase presenilin and beta-amyloid precursor protein (APP). Caspase-12 mediates cytotoxicity induced by amyloid-beta. Caspase-12 is ubiquitously expressed in mouse tissues.

Alternate Names

CASP12, Caspase12

Gene Symbol

CASP12

Additional Caspase-12 Products

Product Documents for Caspase-12 Antibody - BSA Free

Certificate of Analysis

To download a Certificate of Analysis, please enter a lot number in the search box below.

Product Specific Notices for Caspase-12 Antibody - BSA Free

This product is for research use only and is not approved for use in humans or in clinical diagnosis. Primary Antibodies are guaranteed for 1 year from date of receipt.

Loading...
Loading...
Loading...
Loading...