Skip to main content

Caspase-12 Antibody - BSA Free

Novus Biologicals, part of Bio-Techne | Catalog # NBP1-76624

Novus Biologicals, part of Bio-Techne

Key Product Details

Species Reactivity

Human, Mouse, Rat

Applications

Immunohistochemistry, Immunohistochemistry-Paraffin, Western Blot, ELISA

Label

Unconjugated

Antibody Source

Polyclonal Rabbit IgG

Format

BSA Free

Concentration

1 mg/ml

Product Specifications

Immunogen

Antibody was raised against a synthetic peptide corresponding to 16 amino acids within the large cleavage product of murine caspase-12. The immunogen is located within amino acids 170 - 220 of Caspase-12. Amino Acid Squence: CNKKVDYLFDRDNADTD

Specificity

Caspase-12 (large) antibody is predicted to have no cross reactivity to other members in the caspase family.

Clonality

Polyclonal

Host

Rabbit

Isotype

IgG

Theoretical MW

46 kDa.
Disclaimer note: The observed molecular weight of the protein may vary from the listed predicted molecular weight due to post translational modifications, post translation cleavages, relative charges, and other experimental factors.

Description

Novus Biologicals Rabbit Caspase-12 Antibody - BSA Free (NBP1-76624) is a polyclonal antibody validated for use in IHC, WB, ELISA and ICC/IF. All Novus Biologicals antibodies are covered by our 100% guarantee.

Scientific Data Images for Caspase-12 Antibody - BSA Free

Western Blot: Caspase-12 AntibodyBSA Free [NBP1-76624]

Western Blot: Caspase-12 AntibodyBSA Free [NBP1-76624]

Western Blot: Caspase-12 Antibody [NBP1-76624] - Analysis of Caspase-12 expression in rat heart tissue lysate with Caspase-12 antibody at (A) 0.25 and (B) 0.5 ug/ml.
Caspase-12 Antibody - BSA Free

Immunocytochemistry/ Immunofluorescence: Caspase-12 Antibody - BSA Free [NBP1-76624] -

Immunocytochemistry/ Immunofluorescence: Caspase-12 Antibody - BSA Free [NBP1-76624] - Immunofluorescence of Caspase-12 in mouse heart tissue with Caspase-12 antibody at 20 ug/ml.

Green: Caspase-12 Antibody (Large)
Blue: DAPI staining
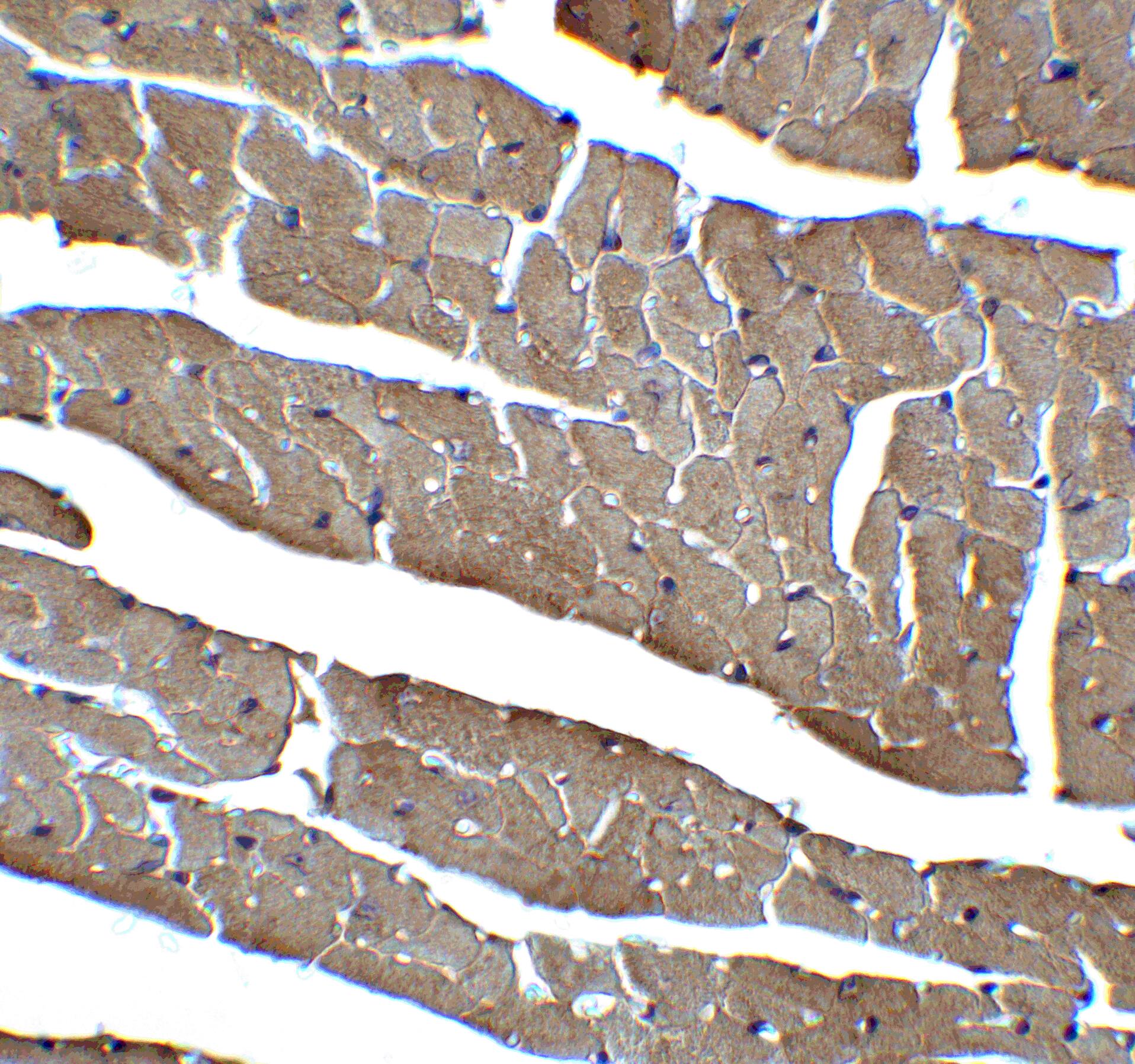
Immunohistochemistry: Caspase-12 Antibody - BSA Free [NBP1-76624]

Immunohistochemistry: Caspase-12 Antibody - BSA Free [NBP1-76624]

Immunohistochemistry: Caspase-12 Antibody [NBP1-76624] - Staining of human heart tissue using caspase-12 antibody (large) at 2 ug/mL.

Applications for Caspase-12 Antibody - BSA Free

Application
Recommended Usage

ELISA

1:100-1:2000

Immunohistochemistry

2 ug/ml

Immunohistochemistry-Paraffin

1:10-1:500

Western Blot

0.25-2 ug/ml
Application Notes
Caspase-12 antibody can be used for the detection of both the propeptide and cleaved forms of caspase-12 by Western blot.

Formulation, Preparation, and Storage

Purification

Peptide affinity purified

Formulation

PBS

Format

BSA Free

Preservative

0.02% Sodium Azide

Concentration

1 mg/ml

Shipping

The product is shipped with polar packs. Upon receipt, store it immediately at the temperature recommended below.

Stability & Storage

Store at -20C. Avoid freeze-thaw cycles.

Background: Caspase-12

Three distinct signaling pathways lead to programmed cell death (apoptosis). The death receptor and mitochondrion pathways are the main, in which the key apoptotic proteases capase-8 and caspase-9, respectively, are involved. The endoplasmic reticulum (ER) stress is the third apoptotic pathway and caspase-12 is involved. Caspase-12 is localized to the ER but not to cytoplasm or mitochondrion. Caspase-12 is activated by ER stress, including disruption of ER calcium homeostasis, and mediates ER stress-induced apoptosis. Caspase-12 is co-localized to the ER with several proteins that are involved in Alzheimer's disease including gamma-secretase presenilin and beta-amyloid precursor protein (APP). Caspase-12 mediates cytotoxicity induced by amyloid-beta. Caspase-12 is ubiquitously expressed in mouse tissues.

Alternate Names

CASP12, Caspase12

Gene Symbol

CASP12

Additional Caspase-12 Products

Product Documents for Caspase-12 Antibody - BSA Free

Certificate of Analysis

To download a Certificate of Analysis, please enter a lot number in the search box below.

Product Specific Notices for Caspase-12 Antibody - BSA Free

This product is for research use only and is not approved for use in humans or in clinical diagnosis. Primary Antibodies are guaranteed for 1 year from date of receipt.

Loading...
Loading...
Loading...
Loading...