Skip to main content

Caspase-1 Antibody - BSA Free

Novus Biologicals, part of Bio-Techne | Catalog # NBP2-15713

Novus Biologicals, part of Bio-Techne
Catalog #
Availability
Size / Price
Qty
Loading...
NBP2-15713

Key Product Details

Species Reactivity

Validated:

Human, Mouse

Cited:

Mouse

Applications

Validated:

Immunohistochemistry, Immunohistochemistry-Paraffin, Western Blot, Immunocytochemistry/ Immunofluorescence

Cited:

Immunohistochemistry-Paraffin

Label

Unconjugated

Antibody Source

Polyclonal Rabbit IgG

Format

BSA Free

Concentration

Concentrations vary lot to lot. See vial label for concentration. If unlisted please contact technical services.

Product Specifications

Immunogen

Recombinant protein encompassing a sequence within the center region of human Caspase-1. The exact sequence is proprietary.

Localization

Cytoplasm

Clonality

Polyclonal

Host

Rabbit

Isotype

IgG

Theoretical MW

45 kDa.
Disclaimer note: The observed molecular weight of the protein may vary from the listed predicted molecular weight due to post translational modifications, post translation cleavages, relative charges, and other experimental factors.

Description

Novus Biologicals Rabbit Caspase-1 Antibody - BSA Free (NBP2-15713) is a polyclonal antibody validated for use in IHC, WB and ICC/IF. Anti-Caspase-1 Antibody: Cited in 3 publications. All Novus Biologicals antibodies are covered by our 100% guarantee.

Scientific Data Images for Caspase-1 Antibody - BSA Free

Western Blot: Caspase-1 Antibody [NBP2-15713]

Western Blot: Caspase-1 Antibody [NBP2-15713]

Western Blot: Caspase-1 Antibody [NBP2-15713] - Whole cell extract (30 ug) was separated by 7.5% SDS-PAGE, and the membrane was blotted with Caspase 1 antibody [N1N3] diluted at 1:1000. The HRP-conjugated anti-rabbit IgG antibody (NBP2-19301) was used to detect the primary antibody.
Immunocytochemistry/ Immunofluorescence: Caspase-1 Antibody [NBP2-15713]

Immunocytochemistry/ Immunofluorescence: Caspase-1 Antibody [NBP2-15713]

Immunocytochemistry/Immunofluorescence: Caspase-1 Antibody [NBP2-15713] - Analysis of methanol-fixed HeLa, using antibody at 1:500 dilution.
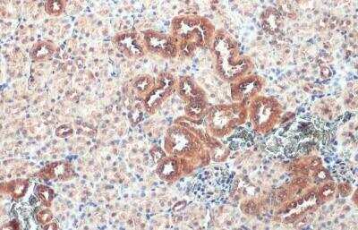
Immunohistochemistry-Paraffin: Caspase-1 Antibody [NBP2-15713]

Immunohistochemistry-Paraffin: Caspase-1 Antibody [NBP2-15713]

Immunohistochemistry-Paraffin: Caspase-1 Antibody [NBP2-15713] - Mouse kidney. Caspase 1 stained by Caspase 1 antibody [N1N3] diluted at 1:500.Antigen Retrieval: Citrate buffer, pH 6.0, 15 min.

Applications for Caspase-1 Antibody - BSA Free

Application
Recommended Usage

Immunocytochemistry/ Immunofluorescence

1:100-1:1000

Immunohistochemistry

1:100-1:1000

Immunohistochemistry-Paraffin

1:100-1:1000

Western Blot

1:500-1:10000

Formulation, Preparation, and Storage

Purification

Antigen Affinity-purified

Formulation

PBS, 20% Glycerol

Format

BSA Free

Preservative

0.025% Proclin 300

Concentration

Concentrations vary lot to lot. See vial label for concentration. If unlisted please contact technical services.

Shipping

The product is shipped with polar packs. Upon receipt, store it immediately at the temperature recommended below.

Stability & Storage

Aliquot and store at -20C or -80C. Avoid freeze-thaw cycles.

Background: Caspase-1

Caspase-1, also known as interleukin-1-beta (IL-1beta) -converting enzyme (ICE), is a member of the cysteine-aspartic protease (caspase) family (1). The caspase family are aspartic proteolytic enzymes that play a key role in apoptotic cell death and inflammation (1). Caspase-1 is synthesized as an inactive proenzyme with a theoretical molecular weight of approximately 45 kDa and is 404 amino acids (aa) in length. The caspase-1 protein structure contains an N-terminal CARD (caspase recruitment domain), a large 20kDa P20 subunit (aa 120-297), and a small 10kDa P10 subunit (aa 317-404) (1, 2). The proenzyme undergoes cleavage at aspartic acid (Asp) residues to produce the active caspase-1 enzyme which exists as a heterotetramer (homodimer of the P20 and P10 heterodimers) (2). Inflammasome complexes sense various microbial and endogenous signals, including ligand-receptor interaction and growth factor deprivation, which results in the processing of pro-caspase to active caspase-1 (3, 4).The active caspase-1 is responsible for the cleavage and maturation of pro-inflammatory cytokines IL-1beta and IL-18, and promotes an inflammatory form of cell death induced by bacterial pathogens called pyroptosis (3, 4). Mature IL-1beta has a role in the immune reaction and recruiting inflammatory cells to the site of infection while IL-18 plays a role in interferon-gamma production and promotes cytolytic activity in natural killer cells (4).

Given the role of IL-1beta in inflammation, it makes sense that many diseases and pathologies have been associated with dysregulation of caspase-1 activation and the inflammasome (3, 4). The inflammasome is a multiprotein complex comprised of Nod-like receptor (NLR) family members and the adapter ASC (apoptosis-associated speck-like protein containing a CARD) which are crucial for capase-1 activation (3-5). For instance, the neuronal apoptosis inhibitory protein (NAIP)/NLRC4 inflammasome has been associated with colorectal cancer, breast cancer, and glioma pathogenesis (5). Caspase-1 activation and mutations in the inflammasome have also been linked to Chron's disease and Alzheimer's disease (4). In addition to immune and inflammatory related disorder, the inflammasome has been linked to metabolic and obesity related disorders including diabetes and cardiovascular disease (6). Finally, caspase-1 deficient mice exhibit enhanced epithelial cell proliferation in the colon, increased tumor formation, and reduced apoptosis (1). A more thorough understanding of the inflammasome-caspase-1 signaling pathway will be important for understanding disease pathology and potential therapeutic development.

Alternative names for caspase-1 includes CASP1, CASP1 nirs variant 1, EC 3.4.22.36, ICE, IL-1 beta-converting enzyme, IL1BC, IL1BCE, IL1B-converstase, interleukin-1 beta convertase, and p45.

References

1. Shalini, S., Dorstyn, L., Dawar, S., & Kumar, S. (2015). Old, new and emerging functions of caspases. Cell death and differentiation. https://doi.org/10.1038/cdd.2014.216

2. Chang, H. Y., & Yang, X. (2000). Proteases for cell suicide: functions and regulation of caspases. Microbiology and molecular biology reviews: MMBR. https://doi.org/10.1128/mmbr.64.4.821-846.2000

3. Vanaja, S. K., Rathinam, V. A., & Fitzgerald, K. A. (2015). Mechanisms of inflammasome activation: recent advances and novel insights. Trends in cell biology. https://doi.org/10.1016/j.tcb.2014.12.009

4. Franchi, L., Eigenbrod, T., Munoz-Planillo, R., & Nunez, G. (2009). The inflammasome: a caspase-1-activation platform that regulates immune responses and disease pathogenesis. Nature immunology. https://doi.org/10.1038/ni.1703

5. Kay, C., Wang, R., Kirkby, M., & Man, S. M. (2020). Molecular mechanisms activating the NAIP-NLRC4 inflammasome: Implications in infectious disease, autoinflammation, and cancer. Immunological reviews. https://doi.org/10.1111/imr.12906

6. Pham, D., Park, P. (2020). Recent insights on modulation of inflammasomes by adipokines: a critical event for the pathogenesis of obesity and metabolism-associated diseases. Archives of Pharmacal Research. https://doi.org/10.1007/s12272-020-01274-7

Alternate Names

CASP1, Caspase1, ICE

Gene Symbol

CASP1

UniProt

Additional Caspase-1 Products

Product Documents for Caspase-1 Antibody - BSA Free

Certificate of Analysis

To download a Certificate of Analysis, please enter a lot number in the search box below.

Product Specific Notices for Caspase-1 Antibody - BSA Free

This product is for research use only and is not approved for use in humans or in clinical diagnosis. Primary Antibodies are guaranteed for 1 year from date of receipt.

Loading...
Loading...
Loading...
Loading...

⚠ WARNING: This product can expose you to chemicals including mercury, which is known to the State of California to cause reproductive toxicity with developmental effects.  For more information go to www.P65Warnings.ca.gov.