Skip to main content

Carm1 Antibody (CARM1/7426) - Azide and BSA Free

Novus Biologicals, part of Bio-Techne | Catalog # NBP3-20909

Novus Biologicals, part of Bio-Techne
Catalog #
Availability
Size / Price
Qty
Loading...
NBP3-20909
Conjugate
Catalog #

Key Product Details

Species Reactivity

Human

Applications

Immunohistochemistry-Paraffin

Label

Unconjugated

Antibody Source

Monoclonal Mouse IgG Clone # CARM1/7426

Format

Azide and BSA Free

Concentration

1 mg/ml

Product Specifications

Immunogen

Recombinant fragment (around aa200-400) of human Carm1 protein (exact sequence is proprietary)

Localization

Nucleus. Cytoplasm.

Clonality

Monoclonal

Host

Mouse

Isotype

IgG

Description

Positive Controls: Overexpressed in prostate adenocarcinomas and high-grade prostatic intraepithelial neoplasia.

Antibody with azide - store at 2 to 8C. Antibody without azide - store at -20 to -80C. Non-hazardous. No MSDS required.

Scientific Data Images for Carm1 Antibody (CARM1/7426) - Azide and BSA Free

Carm1 Antibody (CARM1/7426) - Azide and BSA Free

Carm1 Antibody (CARM1/7426)

Formalin-fixed, paraffin-embedded human prostate stained with Carm1 antibody (CARM1/7426). HIER: Tris/EDTA, pH9.0, 45min. Secondary: HRP-polymer, 30min. DAB, 5min.
Carm1 Antibody (CARM1/7426) - Azide and BSA Free

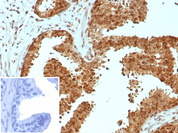
Carm1 Antibody (CARM1/7426)

Formalin-fixed, paraffin-embedded human prostate carcinoma stained with Carm1 antibody (CARM1/7426). Inset: PBS instead of primary antibody; secondary only negative control.

Applications for Carm1 Antibody (CARM1/7426) - Azide and BSA Free

Application
Recommended Usage

Immunohistochemistry-Paraffin

1-2 ug/ml
Application Notes
Immunohistochemistry (Formalin-fixed): 1-2ug/ml for 30 minutes. at RT. Staining of formalin-fixed tissues requires heating tissue sections in 10mM Tris with 1mM EDTA, pH 9.0, for 45 min at 95C followed by cooling at RT for 20 minutes.

Optimal dilution for a specific application should be determined.

Formulation, Preparation, and Storage

Purification

Protein A or G purified

Formulation

10mM PBS

Format

Azide and BSA Free

Preservative

No Preservative

Concentration

1 mg/ml

Shipping

The product is shipped with polar packs. Upon receipt, store it immediately at the temperature recommended below.

Stability & Storage

Store at -20 to -70C. Avoid freeze-thaw cycles.

Background: Carm1

Protein arginine N-methyltransferases, such as CARM1, catalyze the transfer of a methyl group from S-adenosyl-L-methionine to the side chain nitrogens of arginine residues within proteins to form methylated arginine derivatives and S-adenosyl-L-homocysteine. Protein arginine methylation has been implicated in signal transduction, metabolism of nascent pre-RNA, and transcriptional activation (Frankel et al., 2002 (PubMed 11724789)).(supplied by OMIM)

Long Name

Coactivator-associated Arginine Methyltransferase 1

Alternate Names

PRMT4

Gene Symbol

CARM1

Additional Carm1 Products

Product Documents for Carm1 Antibody (CARM1/7426) - Azide and BSA Free

Certificate of Analysis

To download a Certificate of Analysis, please enter a lot number in the search box below.

Product Specific Notices for Carm1 Antibody (CARM1/7426) - Azide and BSA Free

This product is for research use only and is not approved for use in humans or in clinical diagnosis. Primary Antibodies are guaranteed for 1 year from date of receipt.

Loading...
Loading...
Loading...
Loading...