CARHSP1 Antibody - BSA Free
Novus Biologicals, part of Bio-Techne | Catalog # NBP1-31660
Key Product Details
Species Reactivity
Validated:
Human, Mouse
Cited:
Mouse
Predicted:
Rat (96%), Rhesus Macaque (99%). Backed by our 100% Guarantee.
Applications
Validated:
Immunohistochemistry, Immunohistochemistry-Paraffin, Western Blot, Immunocytochemistry/ Immunofluorescence
Cited:
Immunocytochemistry/ Immunofluorescence
Label
Unconjugated
Antibody Source
Polyclonal Rabbit IgG
Format
BSA Free
Concentration
Concentrations vary lot to lot. See vial label for concentration. If unlisted please contact technical services.
Product Specifications
Immunogen
Recombinant protein encompassing a sequence within the center region of human CRHSP-24. The exact sequence is proprietary.
Reactivity Notes
Bovine (84%).
Localization
Cytoplasm
Clonality
Polyclonal
Host
Rabbit
Isotype
IgG
Theoretical MW
16 kDa.
Disclaimer note: The observed molecular weight of the protein may vary from the listed predicted molecular weight due to post translational modifications, post translation cleavages, relative charges, and other experimental factors.
Disclaimer note: The observed molecular weight of the protein may vary from the listed predicted molecular weight due to post translational modifications, post translation cleavages, relative charges, and other experimental factors.
Scientific Data Images for CARHSP1 Antibody - BSA Free
Western Blot: CARHSP1 Antibody [NBP1-31660]
Western Blot: CARHSP1 Antibody [NBP1-31660] - Sample (30 ug of whole cell lysate) A: Hep G2 15% SDS PAGE; antibody diluted at 1:1000.Immunohistochemistry-Paraffin: CARHSP1 Antibody [NBP1-31660]
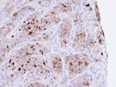
Immunohistochemistry-Paraffin: CARHSP1 Antibody [NBP1-31660] - Mouse prostate. CRHSP-24 antibody [N1C3] diluted at 1:500. Antigen Retrieval: Citrate buffer, pH 6.0, 15 min.Immunohistochemistry-Paraffin: CARHSP1 Antibody [NBP1-31660]
Immunohistochemistry-Paraffin: CARHSP1 Antibody [NBP1-31660] - A549 xenograft , using CRHSP-24 antibody at 1:100 dilution. Antigen Retrieval: Citrate buffer, pH 6.0, 15 min.Applications for CARHSP1 Antibody - BSA Free
Application
Recommended Usage
Immunocytochemistry/ Immunofluorescence
Reported in scientific literature (PMID: 30359574)
Immunohistochemistry
1:100-1:1000
Immunohistochemistry-Paraffin
1:100-1:1000
Western Blot
1:500-1:3000
Formulation, Preparation, and Storage
Purification
Antigen Affinity-purified
Formulation
PBS, 10% Glycerol
Format
BSA Free
Preservative
0.01% Thimerosal
Concentration
Concentrations vary lot to lot. See vial label for concentration. If unlisted please contact technical services.
Shipping
The product is shipped with polar packs. Upon receipt, store it immediately at the temperature recommended below.
Stability & Storage
Aliquot and store at -20C or -80C. Avoid freeze-thaw cycles.
Background: CARHSP1
Alternate Names
calcium regulated heat stable protein 1 (24kD), calcium regulated heat stable protein 1, 24kDa, calcium-regulated heat stable protein 1, calcium-regulated heat-stable protein (24kD), Calcium-regulated heat-stable protein of 24 kDa, CRHSP-24MGC111446, CSDC1
Entrez Gene IDs
23589 (Human)
Gene Symbol
CARHSP1
UniProt
Additional CARHSP1 Products
Product Documents for CARHSP1 Antibody - BSA Free
Product Specific Notices for CARHSP1 Antibody - BSA Free
This product is for research use only and is not approved for use in humans or in clinical diagnosis. Primary Antibodies are guaranteed for 1 year from date of receipt.
Loading...
Loading...
Loading...
Loading...
⚠ WARNING: This product can expose you to chemicals including mercury, which is known to the State of California to cause reproductive toxicity with developmental effects. For more information go to www.P65Warnings.ca.gov.