Skip to main content

Carboxylesterase 1/CES1 Antibody - BSA Free

Novus Biologicals, part of Bio-Techne | Catalog # NBP1-85691

Novus Biologicals, part of Bio-Techne
Catalog #
Availability
Size / Price
Qty
Loading...
NBP1-85691
NBP1-85691-25ul

Key Product Details

Validated by

Orthogonal Validation, Independent Antibodies

Species Reactivity

Human

Applications

Immunohistochemistry, Immunohistochemistry-Paraffin, Western Blot, Simple Western

Label

Unconjugated

Antibody Source

Polyclonal Rabbit IgG

Format

BSA Free

Concentration

Concentrations vary lot to lot. See vial label for concentration. If unlisted please contact technical services.

Product Specifications

Immunogen

This antibody was developed against Recombinant Protein corresponding to amino acids: VTIFGESAGGESVSVLVLSPLAKNLFHRAISESGVALTSVLVKKGDVKPLAEQIAITAGCKTTTSAVMVHCLRQKTEEELLETTLKMKFLSLDLQGDPRESQPLLGTVIDGMLLLKTPEELQAERNFHTVP

Clonality

Polyclonal

Host

Rabbit

Isotype

IgG

Description

Novus Biologicals Rabbit Carboxylesterase 1/CES1 Antibody - BSA Free (NBP1-85691) is a polyclonal antibody validated for use in IHC, WB and Simple Western. All Novus Biologicals antibodies are covered by our 100% guarantee.

Scientific Data Images for Carboxylesterase 1/CES1 Antibody - BSA Free

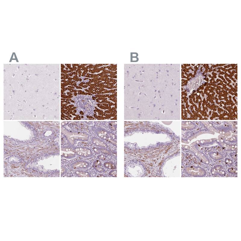
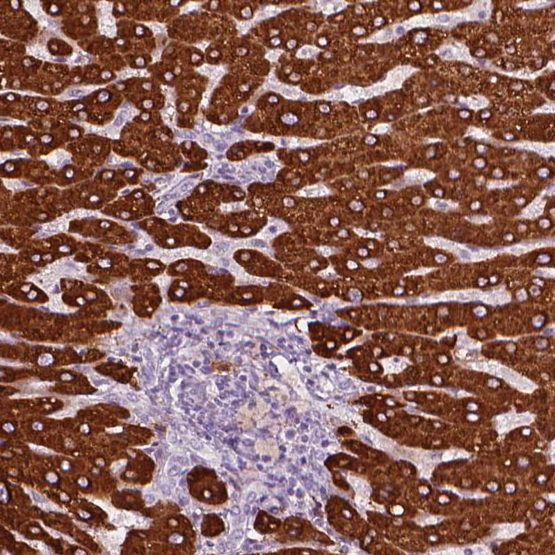
Immunohistochemistry-Paraffin: Carboxylesterase 1/CES1 Antibody [NBP1-85691]

Immunohistochemistry-Paraffin: Carboxylesterase 1/CES1 Antibody [NBP1-85691]

Immunohistochemistry-Paraffin: Carboxylesterase 1/CES1 Antibody [NBP1-85691] - Analysis in human liver and cerebral cortex tissues using NBP1-85691 antibody. Corresponding CES1 RNA-seq data are presented for the same tissues.
Immunohistochemistry-Paraffin: Carboxylesterase 1/CES1 Antibody [NBP1-85691]

Immunohistochemistry-Paraffin: Carboxylesterase 1/CES1 Antibody [NBP1-85691]

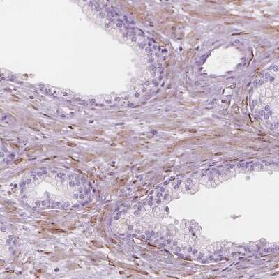
Immunohistochemistry-Paraffin: Carboxylesterase 1/CES1 Antibody [NBP1-85691] - Staining of human prostate shows moderate cytoplasmic positivity in smooth muscle cells.
Immunohistochemistry-Paraffin: Carboxylesterase 1/CES1 Antibody [NBP1-85691]

Immunohistochemistry-Paraffin: Carboxylesterase 1/CES1 Antibody [NBP1-85691]

Immunohistochemistry-Paraffin: Carboxylesterase 1/CES1 Antibody [NBP1-85691] - Staining of human cerebral cortex shows no cytoplasmic positivity in neuronal cells as expected.

Applications for Carboxylesterase 1/CES1 Antibody - BSA Free

Application
Recommended Usage

Immunohistochemistry

1:200 - 1:500

Immunohistochemistry-Paraffin

1:200-1:500

Simple Western

1:20

Western Blot

0.04-0.4 ug/ml
Application Notes
For IHC-Paraffin, HIER pH 6 retrieval is recommended.

In Simple Western only 10 - 15 uL of the recommended dilution is used per data point.
See Simple Western Antibody Database for Simple Western validation: Tested in RT-4, separated by Size, antibody dilution of 1:20, apparent MW was 56 kDa. Separated by Size-Wes, Sally Sue/Peggy Sue.

Formulation, Preparation, and Storage

Purification

Affinity purified

Formulation

PBS (pH 7.2) and 40% Glycerol

Format

BSA Free

Preservative

0.02% Sodium Azide

Concentration

Concentrations vary lot to lot. See vial label for concentration. If unlisted please contact technical services.

Shipping

The product is shipped with polar packs. Upon receipt, store it immediately at the temperature recommended below.

Stability & Storage

Store at 4C short term. Aliquot and store at -20C long term. Avoid freeze-thaw cycles.

Background: Carboxylesterase 1/CES1

Carboxylesterase 1 hydrolyzes ester- and amide bonds of substrates ranging from small molecule esters such as phenylester to long-chain fatty acid esters and thioesters. It plays a major role in the pharmacokinetic behavior of many therapeutic agents containing an ester. Through de-esterification, it participates in the detoxification of drugs such as cocaine and heroin in serum and liver.

Alternate Names

ACAT, CES1, Egasyn, HMSE1, REH, SES1, TGH

Gene Symbol

CES1

Additional Carboxylesterase 1/CES1 Products

Product Documents for Carboxylesterase 1/CES1 Antibody - BSA Free

Certificate of Analysis

To download a Certificate of Analysis, please enter a lot number in the search box below.

Product Specific Notices for Carboxylesterase 1/CES1 Antibody - BSA Free

This product is for research use only and is not approved for use in humans or in clinical diagnosis. Primary Antibodies are guaranteed for 1 year from date of receipt.

Loading...
Loading...
Loading...
Loading...