Skip to main content

Carboxylesterase 1/CES1 Antibody (JE33-04)

Novus Biologicals, part of Bio-Techne | Catalog # NBP3-32541

Recombinant Monoclonal Antibody
Novus Biologicals, part of Bio-Techne
Catalog #
Availability
Size / Price
Qty
Loading...
NBP3-32541

Key Product Details

Species Reactivity

Human, Mouse, Rat

Applications

Immunohistochemistry, Immunohistochemistry-Paraffin, Western Blot, Flow Cytometry, Immunocytochemistry/ Immunofluorescence

Label

Unconjugated

Antibody Source

Recombinant Monoclonal Rabbit IgG Clone # JE33-04 expressed in HEK293

Concentration

1 mg/ml

Product Specifications

Immunogen

Synthetic peptide within Human Carboxylesterase 1/CES1 aa 51-100 / 567. (Uniprot: P23141)

Localization

Endoplasmic reticulum lumen, Cytoplasm, Lipid droplet.

Clonality

Monoclonal

Host

Rabbit

Isotype

IgG

Theoretical MW

62.5 kDa.
Disclaimer note: The observed molecular weight of the protein may vary from the listed predicted molecular weight due to post translational modifications, post translation cleavages, relative charges, and other experimental factors.

Description

Novus Biologicals Rabbit Carboxylesterase 1/CES1 Antibody (JE33-04) (NBP3-32541) is a recombinant monoclonal antibody validated for use in IHC, WB, Flow and ICC/IF. All Novus Biologicals antibodies are covered by our 100% guarantee.

Scientific Data Images for Carboxylesterase 1/CES1 Antibody (JE33-04)

Carboxylesterase 1/CES1 Antibody (JE33-04)

Western Blot: Carboxylesterase 1/CES1 Antibody (JE33-04) [NBP3-32541]

Western Blot: Carboxylesterase 1/CES1 Antibody (JE33-04) [NBP3-32541] - Western blot analysis of Carboxylesterase 1/CES1 on different lysates with Rabbit anti-Carboxylesterase 1/CES1 antibody (NBP3-32541) at 1/1,000 dilution.

Lane 1: U-937 cell lysate (20 ug/Lane)
Lane 2: Human liver tissue lysate (10 ug/Lane)
Lane 3: Human lung tissue lysate (10 ug/Lane)

Predicted band size: 62.5 kDa
Observed band size: 55 kDa

Exposure time: 16 seconds;

4-20% SDS-PAGE gel.

Proteins were transferred to a PVDF membrane and blocked with 5% NFDM/TBST for 1 hour at room temperature. The primary antibody (NBP3-32541) at 1/1,000 dilution was used in 5% NFDM/TBST at room temperature for 2 hours. Goat Anti-Rabbit IgG - HRP Secondary Antibody at 1:100,000 dilution was used for 1 hour at room temperature.
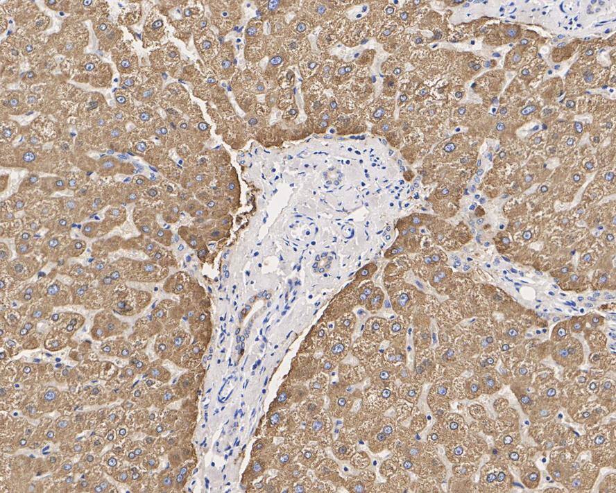
Carboxylesterase 1/CES1 Antibody (JE33-04)

Immunohistochemistry: Carboxylesterase 1/CES1 Antibody (JE33-04) [NBP3-32541]

Immunohistochemistry: Carboxylesterase 1/CES1 Antibody (JE33-04) [NBP3-32541] - Immunohistochemical analysis of paraffin-embedded human liver tissue with Rabbit anti-Carboxylesterase 1/CES1 antibody (NBP3-32541) at 1/1,000 dilution.

The section was pre-treated using heat mediated antigen retrieval with Tris-EDTA buffer (pH 9.0) for 20 minutes. The tissues were blocked in 1% BSA for 20 minutes at room temperature, washed with ddH2O and PBS, and then probed with the primary antibody (NBP3-32541) at 1/1,000 dilution for 1 hour at room temperature. The detection was performed using an HRP conjugated compact polymer system. DAB was used as the chromogen. Tissues were counterstained with hematoxylin and mounted with DPX.
Carboxylesterase 1/CES1 Antibody (JE33-04)

Immunocytochemistry/ Immunofluorescence: Carboxylesterase 1/CES1 Antibody (JE33-04) [NBP3-32541]

Immunocytochemistry/ Immunofluorescence: Carboxylesterase 1/CES1 Antibody (JE33-04) [NBP3-32541] - Immunocytochemistry analysis of U-937 cells labeling Carboxylesterase 1/CES1 with Rabbit anti-Carboxylesterase 1/CES1 antibody (NBP3-32541) at 1/100 dilution.

Cells were fixed in 4% paraformaldehyde for 20 minutes at room temperature, permeabilized with 0.1% Triton X-100 in PBS for 5 minutes at room temperature, then blocked with 1% BSA in 10% negative goat serum for 1 hour at room temperature. Cells were then incubated with Rabbit anti-Carboxylesterase 1/CES1 antibody (NBP3-32541) at 1/100 dilution in 1% BSA in PBST overnight at 4 ℃. Goat Anti-Rabbit IgG H&L (iFluor™ 488) was used as the secondary antibody at 1/1,000 dilution. PBS instead of the primary antibody was used as the secondary antibody only control. Nuclear DNA was labelled in blue with DAPI.

Beta tubulin (red) was stained at 1/100 dilution overnight at +4℃. Goat Anti-Mouse IgG H&L (iFluor™ 594) was used as the secondary antibody at 1/1,000 dilution.

Applications for Carboxylesterase 1/CES1 Antibody (JE33-04)

Application
Recommended Usage

Flow Cytometry

1:500-1:1000

Immunocytochemistry/ Immunofluorescence

1:100

Immunohistochemistry-Paraffin

1:1000

Western Blot

1:1000

Formulation, Preparation, and Storage

Purification

Protein A purified

Formulation

1*TBS (pH7.4), 0.05% BSA and 40% Glycerol

Preservative

0.05% Sodium Azide

Concentration

1 mg/ml

Shipping

The product is shipped with polar packs. Upon receipt, store it immediately at the temperature recommended below.

Stability & Storage

Store at 4C short term. Aliquot and store at -20C long term. Avoid freeze-thaw cycles.

Background: Carboxylesterase 1/CES1

Carboxylesterase 1 hydrolyzes ester- and amide bonds of substrates ranging from small molecule esters such as phenylester to long-chain fatty acid esters and thioesters. It plays a major role in the pharmacokinetic behavior of many therapeutic agents containing an ester. Through de-esterification, it participates in the detoxification of drugs such as cocaine and heroin in serum and liver.

Alternate Names

ACAT, CES1, Egasyn, HMSE1, REH, SES1, TGH

Gene Symbol

CES1

Additional Carboxylesterase 1/CES1 Products

Product Documents for Carboxylesterase 1/CES1 Antibody (JE33-04)

Certificate of Analysis

To download a Certificate of Analysis, please enter a lot number in the search box below.

Product Specific Notices for Carboxylesterase 1/CES1 Antibody (JE33-04)

This product is for research use only and is not approved for use in humans or in clinical diagnosis. Primary Antibodies are guaranteed for 1 year from date of receipt.

Loading...
Loading...
Loading...
Loading...
Loading...