Skip to main content

Carbonic Anhydrase IV/CA4 Antibody - BSA Free

Novus Biologicals, part of Bio-Techne | Catalog # NBP1-69435

Novus Biologicals, part of Bio-Techne
Catalog #
Availability
Size / Price
Qty
Loading...
NBP1-69435

Key Product Details

Species Reactivity

Human

Applications

Immunohistochemistry, Immunohistochemistry-Paraffin, Western Blot

Label

Unconjugated

Antibody Source

Polyclonal Rabbit IgG

Format

BSA Free

Concentration

0.5 mg/ml

Product Specifications

Immunogen

Synthetic peptides corresponding to CA4(carbonic anhydrase IV) The peptide sequence was selected from the C terminal of Carbonic Anhydrase IV. Peptide sequence AFSQKLYYDKEQTVSMKDNVRPLQQLGQRTVIKSGAPGRPLPWALPALLG. The peptide sequence for this immunogen was taken from within the described region.

Clonality

Polyclonal

Host

Rabbit

Isotype

IgG

Theoretical MW

34 kDa.
Disclaimer note: The observed molecular weight of the protein may vary from the listed predicted molecular weight due to post translational modifications, post translation cleavages, relative charges, and other experimental factors.

Description

The addition of 50% glycerol is optional for those storing this antibody at -20C and not aliquoting smaller units. However, please note that glycerol may interrupt some downstream antibody applications and should be added with caution.

Scientific Data Images for Carbonic Anhydrase IV/CA4 Antibody - BSA Free

Western Blot: Carbonic Anhydrase IV/CA4 Antibody [NBP1-69435]

Western Blot: Carbonic Anhydrase IV/CA4 Antibody [NBP1-69435]

Western Blot: Carbonic Anhydrase IV/CA4 Antibody [NBP1-69435] - This Anti-CA4 antibody was used in Western Blot of fetal lung tissue lysate at a concentration of 1ug/ml.
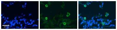
Immunohistochemistry: Carbonic Anhydrase IV/CA4 Antibody [NBP1-69435]

Immunohistochemistry: Carbonic Anhydrase IV/CA4 Antibody [NBP1-69435]

Immunohistochemistry: Carbonic Anhydrase IV/CA4 Antibody [NBP1-69435] - Human Lung Tissue Observed Staining: Cytoplasm and membrane of alveolar macrophages Primary Antibody Concentration: 1 : 600 Secondary Antibody: Donkey anti-Rabbit-Cy3 Secondary Antibody Concentration: 1 : 200 Magnification: 20X Exposure Time: 0.5 - 2.0 se

Applications for Carbonic Anhydrase IV/CA4 Antibody - BSA Free

Application
Recommended Usage

Western Blot

1.0 ug/ml

Formulation, Preparation, and Storage

Purification

Affinity purified

Formulation

PBS, 2% Sucrose

Format

BSA Free

Preservative

0.09% Sodium Azide

Concentration

0.5 mg/ml

Shipping

The product is shipped with polar packs. Upon receipt, store it immediately at the temperature recommended below.

Stability & Storage

Store at 4C short term. Aliquot and store at -20C long term. Avoid freeze-thaw cycles.

Background: Carbonic Anhydrase IV/CA4

Carbonic anhydrases (CAs) are a large family of zinc metalloenzymes that catalyze the reversible hydration of carbon dioxide. They participate in a variety of biological processes, including respiration, calcification, acid-base balance, bone resorption, and the formation of aqueous humor, cerebrospinal fluid, saliva, and gastric acid. They show extensive diversity in tissue distribution and in their subcellular localization. CA4 is a glycosylphosphatidyl-inositol-anchored membrane isozyme expressed on the luminal surfaces of pulmonary (and certain other) capillaries and of proximal renal tubules. Its exact function is not known, however, it may have a role in inherited renal abnormalities of bicarbonate transport.Carbonic anhydrases (CAs) are a large family of zinc metalloenzymes that catalyze the reversible hydration of carbon dioxide. They participate in a variety of biological processes, including respiration, calcification, acid-base balance, bone resorption, and the formation of aqueous humor, cerebrospinal fluid, saliva, and gastric acid. They show extensive diversity in tissue distribution and in their subcellular localization. CA IV is a glycosylphosphatidyl-inositol-anchored membrane isozyme expressed on the luminal surfaces of pulmonary (and certain other) capillaries and of proximal renal tubules. Its exact function is not known, however, it may have a role in inherited renal abnormalities of bicarbonate transport.

Alternate Names

CA4, RP17

Gene Symbol

CA4

UniProt

Additional Carbonic Anhydrase IV/CA4 Products

Product Documents for Carbonic Anhydrase IV/CA4 Antibody - BSA Free

Certificate of Analysis

To download a Certificate of Analysis, please enter a lot number in the search box below.

Product Specific Notices for Carbonic Anhydrase IV/CA4 Antibody - BSA Free

This product is for research use only and is not approved for use in humans or in clinical diagnosis. Primary Antibodies are guaranteed for 1 year from date of receipt.

Loading...
Loading...
Loading...
Loading...