Skip to main content

CapG Antibody - BSA Free

Novus Biologicals, part of Bio-Techne | Catalog # NBP2-92955

Novus Biologicals, part of Bio-Techne
Catalog #
Availability
Size / Price
Qty
Loading...
NBP2-92955-0.02ml
NBP2-92955-0.1ml

Key Product Details

Validated by

Knockout/Knockdown

Species Reactivity

Human, Mouse, Rat

Applications

Knockout Validated, Immunohistochemistry, Immunohistochemistry-Paraffin, Western Blot

Label

Unconjugated

Antibody Source

Polyclonal Rabbit IgG

Format

BSA Free

Concentration

Please see the vial label for concentration. If unlisted please contact technical services.

Product Specifications

Immunogen

Recombinant fusion protein containing a sequence corresponding to amino acids 1-348 of human CAPG (NP_001738.2). MYTAIPQSGSPFPGSVQDPGLHVWRVEKLKPVPVAQENQGVFFSGDSYLVLHNGPEEVSHLHLWIGQQSSRDEQGACAVLAVHLNTLLGERPVQHREVQGNESDLFMSYFPRGLKYQEGGVESAFHKTSTGAPAAIKKLYQVKGKKNIRATERALNWDSFNTGDCFILDLGQNIFAWCGGKSNILERNKARDLALAIRDSERQGKAQVEIVTDGEEPAEMIQVLGPKPALKEGNPEEDLTADKANAQAAALYKVSDATGQMNLTKVADSSPFALELLISDDCFVLDNGLCGKIYIWKGRKANEKERQAALQVAEGFISRMQYAPNTQVEILPQGHESPIFKQFFKDWK

Clonality

Polyclonal

Host

Rabbit

Isotype

IgG

Description

Novus Biologicals Knockout (KO) Validated Rabbit CapG Antibody - BSA Free (NBP2-92955) is a polyclonal antibody validated for use in IHC and WB. All Novus Biologicals antibodies are covered by our 100% guarantee.

Scientific Data Images for CapG Antibody - BSA Free

Western Blot: CapG AntibodyBSA Free [NBP2-92955]

Western Blot: CapG AntibodyBSA Free [NBP2-92955]

Western Blot: CapG Antibody [NBP2-92955] - Analysis of extracts of various cell lines, using CapG at 1:1000 dilution.Secondary antibody: HRP Goat Anti-Rabbit IgG (H+L) at 1:10000 dilution.Lysates/proteins: 25ug per lane.Blocking buffer: 3% nonfat dry milk in TBST.Detection: ECL Basic Kit .Exposure time: 90s.
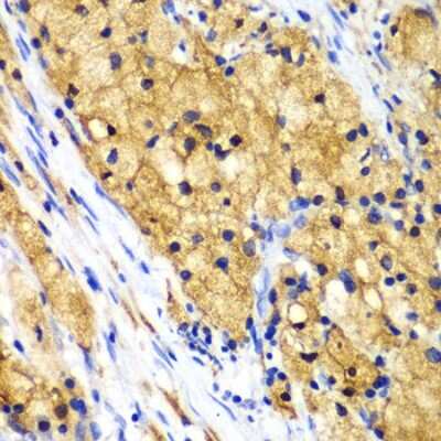
Immunohistochemistry-Paraffin: CapG Antibody - BSA Free [NBP2-92955]

Immunohistochemistry-Paraffin: CapG Antibody - BSA Free [NBP2-92955]

Immunohistochemistry-Paraffin: CapG Antibody [NBP2-92955] - Paraffin-embedded human lung cancer using CapG .
Western Blot: CapG AntibodyBSA Free [NBP2-92955]

Western Blot: CapG AntibodyBSA Free [NBP2-92955]

Western Blot: CapG Antibody [NBP2-92955] - Analysis of extracts from normal (control) and CAPG knockout (KO) HeLa cells, using CapG at 1:1000 dilution.Secondary antibody: HRP Goat Anti-Rabbit IgG (H+L) at 1:10000 dilution.Lysates/proteins: 25ug per lane.Blocking buffer: 3% nonfat dry milk in TBST.

Applications for CapG Antibody - BSA Free

Application
Recommended Usage

Immunohistochemistry

1:50-1:200

Western Blot

1:500-1:2000

Formulation, Preparation, and Storage

Purification

Affinity purified

Formulation

PBS (pH 7.3), 50% glycerol

Format

BSA Free

Preservative

0.02% Sodium Azide

Concentration

Please see the vial label for concentration. If unlisted please contact technical services.

Shipping

The product is shipped with polar packs. Upon receipt, store it immediately at the temperature recommended below.

Stability & Storage

Store at -20C. Avoid freeze-thaw cycles.

Background: CapG

Actin Regulatory Protein encodes a member of the gelsolin/villin family of actin-regulatory proteins. The encoded protein reversibly blocks the barbed ends of F-actin filaments in a Ca2+ and phosphoinositide-regulated manner, but does not sever preformed actin filaments. By capping the barbed ends of actin filaments, the encoded protein contributes to the control of actin-based motility in non-muscle cells. Alternatively spliced transcript variants have been observed, but have not been fully described.

Long Name

Capping Protein, Gelsolin-like

Alternate Names

AFCP

Gene Symbol

CAPG

Additional CapG Products

Product Documents for CapG Antibody - BSA Free

Certificate of Analysis

To download a Certificate of Analysis, please enter a lot number in the search box below.

Product Specific Notices for CapG Antibody - BSA Free

This product is for research use only and is not approved for use in humans or in clinical diagnosis. Primary Antibodies are guaranteed for 1 year from date of receipt.

Loading...
Loading...
Loading...
Loading...