Skip to main content

Calsyntenin-1 Antibody (S07-8H2)

Novus Biologicals, part of Bio-Techne | Catalog # NBP3-19850

Recombinant Monoclonal Antibody
Novus Biologicals, part of Bio-Techne
Catalog #
Availability
Size / Price
Qty
Loading...
NBP3-19850-100ul
NBP3-19850-50ul

Key Product Details

Species Reactivity

Human, Mouse

Applications

Immunohistochemistry, Immunohistochemistry-Paraffin, Western Blot

Label

Unconjugated

Antibody Source

Recombinant Monoclonal Rabbit IgG Clone # S07-8H2 expressed in HEK293

Concentration

0.3 mg/ml

Product Specifications

Immunogen

A synthetic peptide of human Calsyntenin-1 (Uniprot # O94985)

Clonality

Monoclonal

Host

Rabbit

Isotype

IgG

Theoretical MW

115 kDa.
Disclaimer note: The observed molecular weight of the protein may vary from the listed predicted molecular weight due to post translational modifications, post translation cleavages, relative charges, and other experimental factors.

Description

Novus Biologicals Rabbit Calsyntenin-1 Antibody (S07-8H2) (NBP3-19850) is a recombinant monoclonal antibody validated for use in IHC and WB. All Novus Biologicals antibodies are covered by our 100% guarantee.

Scientific Data Images for Calsyntenin-1 Antibody (S07-8H2)

Western Blot: Calsyntenin-1 Antibody (S07-8H2) [NBP3-19850]

Western Blot: Calsyntenin-1 Antibody (S07-8H2) [NBP3-19850]

Western Blot: Calsyntenin-1 Antibody (S07-8H2) [NBP3-19850] - Western blot detection of Calsyntenin-1 in Hela (Lane 1), CHO-K1 (Lane 2) cell lysates using NBP3-19850 (1:1000 diluted). Predicted band size: 110kDa. Observed band size: 110kDa.
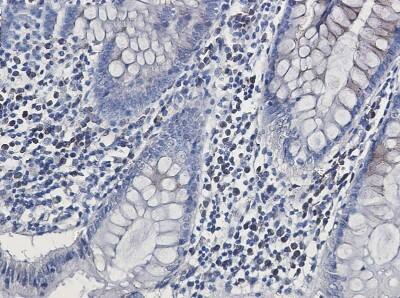
Immunohistochemistry-Paraffin: Calsyntenin-1 Antibody (S07-8H2) [NBP3-19850]

Immunohistochemistry-Paraffin: Calsyntenin-1 Antibody (S07-8H2) [NBP3-19850]

Immunohistochemistry-Paraffin: Calsyntenin-1 Antibody (S07-8H2) [NBP3-19850] - Immunohistochemistry of Calsyntenin-1 in paraffin-embedded Human colon cancer tissue using NBP3-19850 at dilution 1/50

Applications for Calsyntenin-1 Antibody (S07-8H2)

Application
Recommended Usage

Immunohistochemistry

1/50

Western Blot

1/1000

Formulation, Preparation, and Storage

Purification

Affinity purified

Formulation

50mM Tris-Glycine(pH 7.4), 0.15M NaCl, 40% Glycerol, 0.05% BSA

Preservative

0.01% Sodium Azide

Concentration

0.3 mg/ml

Shipping

The product is shipped with polar packs. Upon receipt, store it immediately at the temperature recommended below.

Stability & Storage

Store at 4C short term. Aliquot and store at -20C long term. Avoid freeze-thaw cycles.

Background: Calsyntenin-1

CLSTN1 (calsyntenin 1) is mainly expressed in brain tissues and to a lesser degree in heart, skeletal muscle and the placenta. It accumulates in dystrophic neurites around the amyloid core of Alzheimer disease senile plaques. The protein induces KLC1 association with vesicles and functions as a cargo in axonal anterograde transport. It is involved in complex formation with APBA2 and APP, stabilizing APP metabolism and enhancing APBA2-mediated suppression of beta-APP40 secretion, due to the retardation of intracellular APP maturation. It may also modulate calcium-mediated postsynaptic signals.

Alternate Names

Alcadein-alpha, Calsyntenin1, CLSTN1, CS1, CSTN1, XB31alpha

Gene Symbol

CLSTN1

Additional Calsyntenin-1 Products

Product Documents for Calsyntenin-1 Antibody (S07-8H2)

Certificate of Analysis

To download a Certificate of Analysis, please enter a lot number in the search box below.

Product Specific Notices for Calsyntenin-1 Antibody (S07-8H2)

This product is for research use only and is not approved for use in humans or in clinical diagnosis. Primary Antibodies are guaranteed for 1 year from date of receipt.

Loading...
Loading...
Loading...
Loading...