Skip to main content

Calpain 2 Antibody - BSA Free

Novus Biologicals, part of Bio-Techne | Catalog # NBP1-88204

Novus Biologicals, part of Bio-Techne
Catalog #
Availability
Size / Price
Qty
Loading...
NBP1-88204
NBP1-88204-25ul

Key Product Details

Validated by

Orthogonal Validation

Species Reactivity

Human, Mouse, Rat

Applications

Immunohistochemistry, Immunohistochemistry-Paraffin, Western Blot, Immunocytochemistry/ Immunofluorescence

Label

Unconjugated

Antibody Source

Polyclonal Rabbit IgG

Format

BSA Free

Concentration

Concentrations vary lot to lot. See vial label for concentration. If unlisted please contact technical services.

Product Specifications

Immunogen

This antibody was developed against Recombinant Protein corresponding to amino acids: ANLEEFDISEDDIDDGFRRLFAQLAGEDAEISAFELQTILRRVLAKRQDIKSDGFSIETCKIMVDMLDSDGSGKLGLKEFYILWTKIQKYQKIYREIDVD

Clonality

Polyclonal

Host

Rabbit

Isotype

IgG

Description

Novus Biologicals Rabbit Calpain 2 Antibody - BSA Free (NBP1-88204) is a polyclonal antibody validated for use in IHC, WB and ICC/IF. All Novus Biologicals antibodies are covered by our 100% guarantee.

Scientific Data Images for Calpain 2 Antibody - BSA Free

Immunocytochemistry/ Immunofluorescence: Calpain 2 Antibody [NBP1-88204]

Immunocytochemistry/ Immunofluorescence: Calpain 2 Antibody [NBP1-88204]

Immunocytochemistry/Immunofluorescence: Calpain 2 Antibody [NBP1-88204] - Staining of human cell line U-251 MG shows localization to cytosol. Antibody staining is shown in green.
Immunohistochemistry-Paraffin: Calpain 2 Antibody [NBP1-88204]

Immunohistochemistry-Paraffin: Calpain 2 Antibody [NBP1-88204]

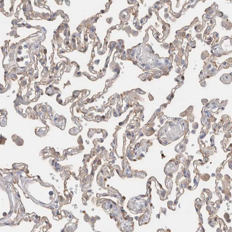
Immunohistochemistry-Paraffin: Calpain 2 Antibody [NBP1-88204] - Analysis in human lung and liver tissues. Corresponding RNA-seq data are presented for the same tissues.
Calpain 2 Antibody - BSA Free Immunohistochemistry-Paraffin: Calpain 2 Antibody - BSA Free [NBP1-88204]

Immunohistochemistry-Paraffin: Calpain 2 Antibody - BSA Free [NBP1-88204]

Staining of human lung shows weak to moderate cytoplasmic positivity in pneumocytes.

Applications for Calpain 2 Antibody - BSA Free

Application
Recommended Usage

Immunocytochemistry/ Immunofluorescence

0.25-2 ug/ml

Immunohistochemistry

1:500 - 1:1000

Immunohistochemistry-Paraffin

1:500 - 1:1000

Western Blot

0.04-0.4 ug/ml
Application Notes
For IHC-Paraffin, HIER pH 6 retrieval is recommended. ICC/IF Fixation Permeabilization: Use PFA/Triton X-100.

Formulation, Preparation, and Storage

Purification

Affinity purified

Formulation

PBS (pH 7.2) and 40% Glycerol

Format

BSA Free

Preservative

0.02% Sodium Azide

Concentration

Concentrations vary lot to lot. See vial label for concentration. If unlisted please contact technical services.

Shipping

The product is shipped with polar packs. Upon receipt, store it immediately at the temperature recommended below.

Stability & Storage

Store at 4C short term. Aliquot and store at -20C long term. Avoid freeze-thaw cycles.

Background: Calpain 2

The calpains, calcium-activated neutral proteases, are nonlysosomal, intracellular cysteine proteases. The mammaliancalpains include ubiquitous, stomach-specific, and muscle-specific proteins. The ubiquitous enzymes consist ofheterodimers with distinct large, catalytic subunits associated with a common small, regulatory subunit. This geneencodes the large subunit of the ubiquitous enzyme, calpain 2. Multiple heterogeneous transcriptional start sites inthe 5' UTR have been reported. Two transcript variants encoding different isoforms have been found for this gene.(provided by RefSeq)

Alternate Names

Calcium-activated neutral proteinase 2, calpain 2, (m/II) large subunit, calpain 2, large [catalytic] subunit, calpain 2, large subunit, Calpain large polypeptide L2, Calpain M-type, calpain, large polypeptide L2, calpain-2 catalytic subunit, Calpain-2 large subunit, CANP 2, CANPL2CANP2, CANPml, EC 3.4.22, EC 3.4.22.53, FLJ39928, M-calpain, mCANP, Millimolar-calpain

Gene Symbol

CAPN2

Additional Calpain 2 Products

Product Documents for Calpain 2 Antibody - BSA Free

Certificate of Analysis

To download a Certificate of Analysis, please enter a lot number in the search box below.

Product Specific Notices for Calpain 2 Antibody - BSA Free

This product is for research use only and is not approved for use in humans or in clinical diagnosis. Primary Antibodies are guaranteed for 1 year from date of receipt.

Loading...
Loading...
Loading...
Loading...