Skip to main content

Calpain 2 Antibody (OTI3G1)

Novus Biologicals, part of Bio-Techne | Catalog # NBP2-46063

Novus Biologicals, part of Bio-Techne
Catalog #
Availability
Size / Price
Qty
Loading...
NBP2-46063

Key Product Details

Species Reactivity

Human, Mouse, Rat, Canine

Applications

Immunohistochemistry, Immunohistochemistry-Paraffin, Western Blot

Label

Unconjugated

Antibody Source

Monoclonal Mouse IgG2A Clone # OTI3G1

Concentration

1 mg/ml

Product Specifications

Immunogen

Full length human recombinant protein of human CAPN2(NP_001739) produced in HEK293T cell.

Reactivity Notes

Please note that this antibody is reactive to Mouse and derived from the same host, Mouse. Mouse-On-Mouse blocking reagent may be needed for IHC and ICC experiments to reduce high background signal. You can find these reagents under catalog numbers PK-2200-NB and MP-2400-NB. Please contact Technical Support if you have any questions.

Clonality

Monoclonal

Host

Mouse

Isotype

IgG2A

Theoretical MW

79.8 kDa.
Disclaimer note: The observed molecular weight of the protein may vary from the listed predicted molecular weight due to post translational modifications, post translation cleavages, relative charges, and other experimental factors.

Description

Novus Biologicals Mouse Calpain 2 Antibody (OTI3G1) (NBP2-46063) is a monoclonal antibody validated for use in IHC and WB. Anti-Calpain 2 Antibody: Cited in 1 publication. All Novus Biologicals antibodies are covered by our 100% guarantee.

Scientific Data Images for Calpain 2 Antibody (OTI3G1)

Western Blot: Calpain 2 Antibody (OTI3G1) [NBP2-46063]

Western Blot: Calpain 2 Antibody (OTI3G1) [NBP2-46063]

Western Blot: Calpain 2 Antibody (3G1) [NBP2-46063] - Analysis of HEK293T cells were transfected with the pCMV6-ENTRY control (Left lane) or pCMV6-ENTRY Calpain 2.
Immunohistochemistry: Calpain 2 Antibody (OTI3G1) [NBP2-46063]

Immunohistochemistry: Calpain 2 Antibody (OTI3G1) [NBP2-46063]

Immunohistochemistry: Calpain 2 Antibody (3G1) [NBP2-46063] - Analysis of Carcinoma of Human liver tissue. (Heat-induced epitope retrieval by 10mM citric buffer, pH6.0, 120C for 3min)
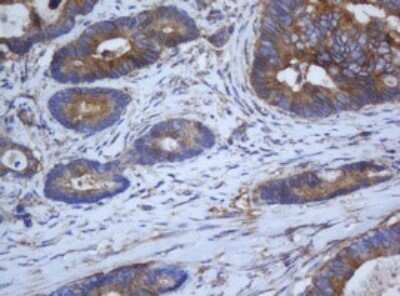
Immunohistochemistry: Calpain 2 Antibody (OTI3G1) [NBP2-46063]

Immunohistochemistry: Calpain 2 Antibody (OTI3G1) [NBP2-46063]

Immunohistochemistry: Calpain 2 Antibody (3G1) [NBP2-46063] - Analysis of Carcinoma of Human pancreas tissue. (Heat-induced epitope retrieval by 10mM citric buffer, pH6.0, 120C for 3min)

Applications for Calpain 2 Antibody (OTI3G1)

Application
Recommended Usage

Immunohistochemistry

1:150

Immunohistochemistry-Paraffin

1:150

Western Blot

1:2000

Formulation, Preparation, and Storage

Purification

Immunogen affinity purified

Formulation

PBS (pH 7.3), 1.0% BSA and 50% Glycerol

Preservative

0.02% Sodium Azide

Concentration

1 mg/ml

Shipping

The product is shipped with polar packs. Upon receipt, store it immediately at the temperature recommended below.

Stability & Storage

Store at -20C. Avoid freeze-thaw cycles.

Background: Calpain 2

The calpains, calcium-activated neutral proteases, are nonlysosomal, intracellular cysteine proteases. The mammaliancalpains include ubiquitous, stomach-specific, and muscle-specific proteins. The ubiquitous enzymes consist ofheterodimers with distinct large, catalytic subunits associated with a common small, regulatory subunit. This geneencodes the large subunit of the ubiquitous enzyme, calpain 2. Multiple heterogeneous transcriptional start sites inthe 5' UTR have been reported. Two transcript variants encoding different isoforms have been found for this gene.(provided by RefSeq)

Alternate Names

Calcium-activated neutral proteinase 2, calpain 2, (m/II) large subunit, calpain 2, large [catalytic] subunit, calpain 2, large subunit, Calpain large polypeptide L2, Calpain M-type, calpain, large polypeptide L2, calpain-2 catalytic subunit, Calpain-2 large subunit, CANP 2, CANPL2CANP2, CANPml, EC 3.4.22, EC 3.4.22.53, FLJ39928, M-calpain, mCANP, Millimolar-calpain

Gene Symbol

CAPN2

Additional Calpain 2 Products

Product Documents for Calpain 2 Antibody (OTI3G1)

Certificate of Analysis

To download a Certificate of Analysis, please enter a lot number in the search box below.

Product Specific Notices for Calpain 2 Antibody (OTI3G1)

This product is for research use only and is not approved for use in humans or in clinical diagnosis. Primary Antibodies are guaranteed for 1 year from date of receipt.

Loading...
Loading...
Loading...
Loading...