Skip to main content

Calnexin Antibody - BSA Free

Novus Biologicals, part of Bio-Techne | Catalog # NBP1-85519

Novus Biologicals, part of Bio-Techne
Catalog #
Availability
Size / Price
Qty
Loading...
NBP1-85519
NBP1-85519-25ul

Key Product Details

Validated by

Independent Antibodies

Species Reactivity

Validated:

Human

Cited:

Human

Applications

Validated:

Immunohistochemistry, Immunohistochemistry-Paraffin, Western Blot, Immunocytochemistry/ Immunofluorescence

Cited:

Western Blot, Immunocytochemistry/ Immunofluorescence

Label

Unconjugated

Antibody Source

Polyclonal Rabbit IgG

Format

BSA Free

Concentration

Concentrations vary lot to lot. See vial label for concentration. If unlisted please contact technical services.

Product Specifications

Immunogen

This antibody was developed against Recombinant Protein corresponding to amino acids: TSGMEYKKTDAPQPDVKEEEEEKEEEKDKGDEEEEGEEKLEEKQKSDAEEDGGTVSQEEEDRKPKAEEDEILNRSPRNRKPRR

Reactivity Notes

Immunogen displays the following percentage of sequence identity for non-tested species: Mouse (84%), Rat (87%)

Marker

Endoplasmic Reticulum Membrane Marker

Clonality

Polyclonal

Host

Rabbit

Isotype

IgG

Description

Novus Biologicals Rabbit Calnexin Antibody - BSA Free (NBP1-85519) is a polyclonal antibody validated for use in IHC, WB and ICC/IF. Anti-Calnexin Antibody: Cited in 3 publications. All Novus Biologicals antibodies are covered by our 100% guarantee.

Scientific Data Images for Calnexin Antibody - BSA Free

Western Blot: Calnexin Antibody [NBP1-85519]

Western Blot: Calnexin Antibody [NBP1-85519]

Calnexin-Antibody-Western-Blot-NBP1-85519-img0018.jpg
Immunocytochemistry/ Immunofluorescence: Calnexin Antibody [NBP1-85519]

Immunocytochemistry/ Immunofluorescence: Calnexin Antibody [NBP1-85519]

Immunocytochemistry/Immunofluorescence: Calnexin Antibody [NBP1-85519] - Immunofluorescent staining of human cell line A-431 shows localization to endoplasmic reticulum.
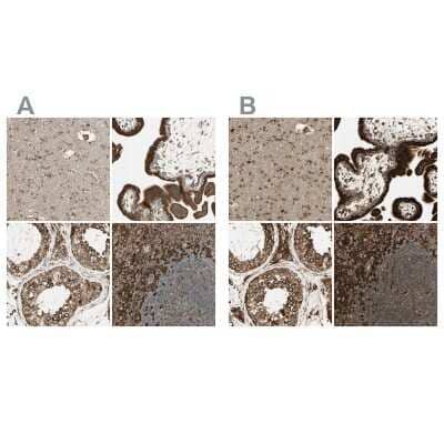
Immunohistochemistry-Paraffin: Calnexin Antibody [NBP1-85519]

Immunohistochemistry-Paraffin: Calnexin Antibody [NBP1-85519]

Immunohistochemistry-Paraffin: Calnexin Antibody [NBP1-85519] - Staining of human tonsil shows strong cytoplasmic positivity in non-germinal center cells.

Applications for Calnexin Antibody - BSA Free

Application
Recommended Usage

Immunocytochemistry/ Immunofluorescence

0.25-2 ug/ml

Immunohistochemistry

1:200 - 1:500

Immunohistochemistry-Paraffin

1:200-1:500

Western Blot

Reported in scientific publication (PMID: 32409651)
Application Notes
For IHC-Paraffin, HIER pH 6 retrieval is recommended. ICC/IF Fixation Permeabilization: Use PFA/Triton X-100.

Formulation, Preparation, and Storage

Purification

Immunogen affinity purified

Formulation

PBS (pH 7.2) and 40% Glycerol

Format

BSA Free

Preservative

0.02% Sodium Azide

Concentration

Concentrations vary lot to lot. See vial label for concentration. If unlisted please contact technical services.

Shipping

The product is shipped with polar packs. Upon receipt, store it immediately at the temperature recommended below.

Stability & Storage

Store at 4C short term. Aliquot and store at -20C long term. Avoid freeze-thaw cycles.

Background: Calnexin

Calnexin, an abundant approx. 90kDa integral protein of the endoplasmic reticulum, is also referred to as IP90, p88 and p90 (1). It consists of a large 50kDa N-terminal calcium-binding luminal domain, a single transmembrane helix and a short acidic cytoplasmic tail (2, 3). Unlike its ER counterparts which have a KDEL sequence on their Cterminus to ensure ER retention (4), calnexin has positively charged cytosolic residues that do the same thing (3). Most ER proteins act as molecular chaperones and participate in the proper folding of polypeptides and their assembly into mulit-subunit proteins. Calnexin together with calreticulin, plays a key role in glycoprotein folding and its control within the ER, by interacting with folding intermediates via their monoglycosylated glycans (5, 6). Calnexin has also been shown to associate with the major histocompatability complex class I heavy chains, partial complexes of the T cell receptor and B cell membrane immunoglobulin (7).

Alternate Names

calnexin, CNX, IP90FLJ26570, Major histocompatibility complex class I antigen-binding protein p88, P90

Entrez Gene IDs

821 (Human)

Gene Symbol

CANX

UniProt

Additional Calnexin Products

Product Documents for Calnexin Antibody - BSA Free

Certificate of Analysis

To download a Certificate of Analysis, please enter a lot number in the search box below.

Product Specific Notices for Calnexin Antibody - BSA Free

This product is for research use only and is not approved for use in humans or in clinical diagnosis. Primary Antibodies are guaranteed for 1 year from date of receipt.

Loading...
Loading...
Loading...
Loading...