Skip to main content

Calnexin Antibody - BSA Free

Novus Biologicals, part of Bio-Techne | Catalog # NB100-1965

Novus Biologicals, part of Bio-Techne

Key Product Details

Validated by

Biological Validation

Species Reactivity

Validated:

Human, Mouse, Rat, Porcine, Avian, Bovine, Chicken, Drosophila, Guinea Pig, Rabbit, Sheep, Xenopus, Zebrafish

Cited:

Human, Mouse, Porcine, Bovine, Fish - Danio rerio (Zebrafish), Hamster - Cricetulus (Chinese Hamster)

Predicted:

Canine (100%). Backed by our 100% Guarantee.

Applications

Validated:

Immunohistochemistry, Immunohistochemistry-Paraffin, Western Blot, Flow Cytometry, Immunocytochemistry/ Immunofluorescence, Simple Western, Immunoprecipitation

Cited:

Western Blot, Immunoblotting, Immunocytochemistry/ Immunofluorescence, Simple Western, IF/IHC

Label

Unconjugated

Antibody Source

Polyclonal Rabbit IgG

Format

BSA Free

Concentration

1 mg/ml

Product Specifications

Immunogen

A synthetic peptide made to an internal region of the canine Calnexin protein (within residues 25-100). [Swiss-Prot P24643]

Reactivity Notes

Quail. Predicted to react with dog based on 100% sequence homology.

Localization

Endoplasmic reticulum

Marker

Endoplasmic Reticulum Membrane Marker

Clonality

Polyclonal

Host

Rabbit

Isotype

IgG

Theoretical MW

97 kDa.
Disclaimer note: The observed molecular weight of the protein may vary from the listed predicted molecular weight due to post translational modifications, post translation cleavages, relative charges, and other experimental factors.

Description

Novus Biologicals Rabbit Calnexin Antibody - BSA Free (NB100-1965) is a polyclonal antibody validated for use in IHC, WB, Flow, ICC/IF, Simple Western and IP. Anti-Calnexin Antibody: Cited in 47 publications. All Novus Biologicals antibodies are covered by our 100% guarantee.

Scientific Data Images for Calnexin Antibody - BSA Free

Western Blot: Calnexin AntibodyBSA Free [NB100-1965]

Western Blot: Calnexin AntibodyBSA Free [NB100-1965]

Western Blot: Calnexin Antibody [NB100-1965] - WB analysis of CANX in cell lysates as noted.
Western Blot: Calnexin AntibodyBSA Free [NB100-1965]

Western Blot: Calnexin AntibodyBSA Free [NB100-1965]

Calnexin-Antibody-Western-Blot-NB100-1965-img0015.jpg
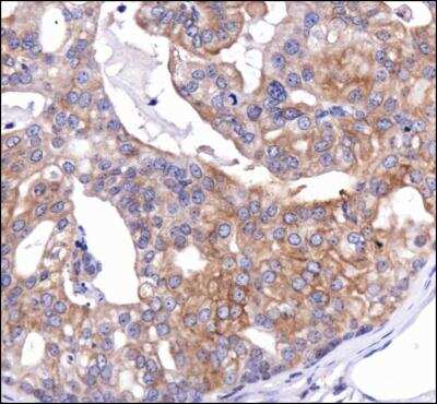
Immunohistochemistry: Calnexin Antibody - BSA Free [NB100-1965]

Immunohistochemistry: Calnexin Antibody - BSA Free [NB100-1965]

Calnexin-Antibody-Immunohistochemistry-NB100-1965-img0016.jpg

Applications for Calnexin Antibody - BSA Free

Application
Recommended Usage

Flow Cytometry

1-5 ug/ml

Immunocytochemistry/ Immunofluorescence

1-5 ug/ml

Immunohistochemistry

1:40

Immunohistochemistry-Paraffin

1:40

Immunoprecipitation

1:100

Simple Western

1:25

Western Blot

2 ug/ml
Application Notes
This Calnexin antibody is useful for Immunocytochemistry/Immunofluorescence, Immunohistochemistry-paraffin embedded sections, Immunoprecipitation and Western Blot. In Western blot a band is observed approx. 97 kDa. Prior to immunostaining paraffin tissues, antigen retrieval with sodium citrate buffer (pH 6.0) is recommended.

In Simple Western only 10 - 15 uL of the recommended dilution is used per data point.
See Simple Western Antibody Database for Simple Western validation: Tested in HOK-16B, NOK-SI, UM-SCC-104, UM-SCC-105, UM-SCC-118, UM-SCC-17A, UM-SCC-38, UM-SCC-47, UM-SCC-92, UPCI-SCC-152; separated by Size; apparent MW was 115 kDa. Separated by Size-Wes, Sally Sue/Peggy Sue.

Reviewed Applications

Read 4 reviews rated 4.3 using NB100-1965 in the following applications:

Formulation, Preparation, and Storage

Purification

Immunogen affinity purified

Formulation

PBS

Format

BSA Free

Preservative

0.02% Sodium Azide

Concentration

1 mg/ml

Shipping

The product is shipped with polar packs. Upon receipt, store it immediately at the temperature recommended below.

Stability & Storage

Store at 4C short term. Aliquot and store at -20C long term. Avoid freeze-thaw cycles.

Background: Calnexin

Calnexin is a chaperone protein that assists in protein folding and quality control. Calnexin retains unassembled or unfolded N-linked glycoproteins in the endoplasmic reticulum and ensures that only properly assembled and folded proteins proceed down the secretory pathway. Calnexin antibodies can be used as endoplasmic reticulum markers (ER markers) in immunostaining experiments

Alternate Names

calnexin, CNX, IP90FLJ26570, Major histocompatibility complex class I antigen-binding protein p88, P90

Entrez Gene IDs

29144 (Rat)

Gene Symbol

CANX

UniProt

Additional Calnexin Products

Product Documents for Calnexin Antibody - BSA Free

Certificate of Analysis

To download a Certificate of Analysis, please enter a lot number in the search box below.

Product Specific Notices for Calnexin Antibody - BSA Free

This product is for research use only and is not approved for use in humans or in clinical diagnosis. Primary Antibodies are guaranteed for 1 year from date of receipt.

Loading...
Loading...
Loading...
Loading...
Loading...