Skip to main content

Cadherin-17 Antibody (JE60-34)

Novus Biologicals, part of Bio-Techne | Catalog # NBP3-32535

Recombinant Monoclonal Antibody
Novus Biologicals, part of Bio-Techne
Catalog #
Availability
Size / Price
Qty
Loading...
NBP3-32535

Key Product Details

Species Reactivity

Human, Mouse

Applications

Immunohistochemistry, Immunohistochemistry-Paraffin, Western Blot, Flow Cytometry, Immunocytochemistry/ Immunofluorescence

Label

Unconjugated

Antibody Source

Recombinant Monoclonal Rabbit IgG Clone # JE60-34 expressed in HEK293

Concentration

1 mg/ml

Product Specifications

Immunogen

Recombinant protein within Human Cadherin-17 aa 1-100 / 832. (Uniprot: Q12864)

Localization

Cell membrane

Clonality

Monoclonal

Host

Rabbit

Isotype

IgG

Theoretical MW

92 kDa.
Disclaimer note: The observed molecular weight of the protein may vary from the listed predicted molecular weight due to post translational modifications, post translation cleavages, relative charges, and other experimental factors.

Description

Novus Biologicals Rabbit Cadherin-17 Antibody (JE60-34) (NBP3-32535) is a recombinant monoclonal antibody validated for use in IHC, WB, Flow and ICC/IF. All Novus Biologicals antibodies are covered by our 100% guarantee.

Scientific Data Images for Cadherin-17 Antibody (JE60-34)

Cadherin-17 Antibody (JE60-34)

Western Blot: Cadherin-17 Antibody (JE60-34) [NBP3-32535]

Western Blot: Cadherin-17 Antibody (JE60-34) [NBP3-32535] - Western blot analysis of Cadherin-17 on different lysates with Rabbit anti-Cadherin-17 antibody (NBP3-32535) at 1/1,000 dilution.

Lane 1: Caco-2 cell lysate (20 ug/Lane)
Lane 2: LoVo cell lysate (30 ug/Lane)
Lane 3: PANC-1 cell lysate (negative) (30 ug/Lane)

Predicted band size: 92 kDa
Observed band size: 120 kDa

Exposure time: 30 seconds;

4-20% SDS-PAGE gel.

Proteins were transferred to a PVDF membrane and blocked with 5% NFDM/TBST for 1 hour at room temperature. The primary antibody (NBP3-32535) at 1/1,000 dilution was used in 5% NFDM/TBST at 4 overnight. Goat Anti-Rabbit IgG - HRP Secondary Antibody at 1/50,000 dilution was used for 1 hour at room temperature.
Cadherin-17 Antibody (JE60-34)

Immunohistochemistry: Cadherin-17 Antibody (JE60-34) [NBP3-32535]

Immunohistochemistry: Cadherin-17 Antibody (JE60-34) [NBP3-32535] - Immunofluorescence analysis of paraffin-embedded human appendix tissue labeling Cadherin-17 with Rabbit anti-Cadherin-17 antibody (NBP3-32535) at 1/100 dilution.

The section was pre-treated using heat mediated antigen retrieval with Tris-EDTA buffer (pH 9.0) for 20 minutes. The tissues were blocked in 10% negative goat serum for 1 hour at room temperature, washed with PBS, and then probed with the primary antibody (NBP3-32535, green) at 1/100 dilution overnight at 4 ℃, washed with PBS. Goat Anti-Rabbit IgG H&L (iFluor™ 488) was used as the secondary antibody at 1/1,000 dilution. Nuclei were counterstained with DAPI (blue).
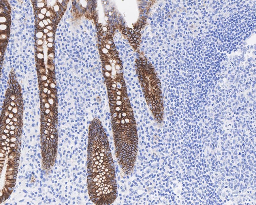
Cadherin-17 Antibody (JE60-34)

Immunohistochemistry: Cadherin-17 Antibody (JE60-34) [NBP3-32535]

Immunohistochemistry: Cadherin-17 Antibody (JE60-34) [NBP3-32535] - Immunohistochemical analysis of paraffin-embedded human appendix tissue with Rabbit anti-Cadherin-17 antibody (NBP3-32535) at 1/1,000 dilution.

The section was pre-treated using heat mediated antigen retrieval with Tris-EDTA buffer (pH 9.0) for 20 minutes. The tissues were blocked in 1% BSA for 20 minutes at room temperature, washed with ddH2O and PBS, and then probed with the primary antibody (NBP3-32535) at 1/1,000 dilution for 1 hour at room temperature. The detection was performed using an HRP conjugated compact polymer system. DAB was used as the chromogen. Tissues were counterstained with hematoxylin and mounted with DPX.

Applications for Cadherin-17 Antibody (JE60-34)

Application
Recommended Usage

Flow Cytometry

1:1000

Immunocytochemistry/ Immunofluorescence

1:100

Immunohistochemistry-Paraffin

1:200-1:1000

Western Blot

1:1000

Formulation, Preparation, and Storage

Purification

Protein A purified

Formulation

1*TBS (pH7.4), 0.05% BSA and 40% Glycerol

Preservative

0.05% Sodium Azide

Concentration

1 mg/ml

Shipping

The product is shipped with polar packs. Upon receipt, store it immediately at the temperature recommended below.

Stability & Storage

Store at 4C short term. Aliquot and store at -20C long term. Avoid freeze-thaw cycles.

Background: Cadherin-17

LI Cadherin is a member of the cadherin superfamily, genes encoding calcium-dependent, membrane-associated glycoproteins. The encoded protein is cadherin-like, consisting of an extracellular region, containing 7 cadherin domains, and a transmembrane region but lacking the conserved cytoplasmic domain. The protein is a component of the gastrointestinal tract and pancreatic ducts, acting as an intestinal proton-dependent peptide transporter in the first step in oral absorption of many medically important peptide-based drugs. The protein may also play a role in the morphological organization of liver and intestine.

Alternate Names

Cadherin17, CDH17

Gene Symbol

CDH17

Additional Cadherin-17 Products

Product Documents for Cadherin-17 Antibody (JE60-34)

Certificate of Analysis

To download a Certificate of Analysis, please enter a lot number in the search box below.

Product Specific Notices for Cadherin-17 Antibody (JE60-34)

This product is for research use only and is not approved for use in humans or in clinical diagnosis. Primary Antibodies are guaranteed for 1 year from date of receipt.

Loading...
Loading...
Loading...
Loading...
Loading...