Skip to main content

C1qTNF5/CTRP5 Antibody - BSA Free

Novus Biologicals, part of Bio-Techne | Catalog # NBP1-76631

Novus Biologicals, part of Bio-Techne

Key Product Details

Species Reactivity

Human, Rat

Applications

Immunohistochemistry, Immunohistochemistry-Paraffin, Western Blot, ELISA

Label

Unconjugated

Antibody Source

Polyclonal Rabbit IgG

Format

BSA Free

Concentration

1 mg/ml

Product Specifications

Immunogen

Antibody was raised against a 15 amino acid synthetic peptide from near the amino terminus of human CTRP5. The immunogen is located within amino acids 30 - 80 of CTRP5. Amino Acid Squence: LPGRDGRDGRDGAPG

Specificity

These proteins are often highly modified post-translationally and migrate in SDS-PAGE at positions other than their predicted size.

Clonality

Polyclonal

Host

Rabbit

Isotype

IgG

Scientific Data Images for C1qTNF5/CTRP5 Antibody - BSA Free

Western Blot: C1qTNF5/CTRP5 AntibodyBSA Free [NBP1-76631]

Western Blot: C1qTNF5/CTRP5 AntibodyBSA Free [NBP1-76631]

Western Blot: C1qTNF5/CTRP5 Antibody [NBP1-76631] - Human brain cell lysate with CTRP5 antibody at (A) 1, (B) 2, and (C) 4 ug/ml.
C1qTNF5/CTRP5 Antibody - BSA Free

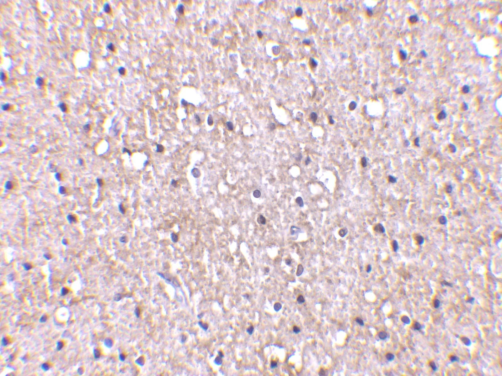
Immunohistochemistry: C1qTNF5/CTRP5 Antibody - BSA Free [NBP1-76631] -

Immunohistochemistry: C1qTNF5/CTRP5 Antibody - BSA Free [NBP1-76631] - Immunohistochemistry of C1qTNF5/CTRP5 in human brain tissue with C1qTNF5/CTRP5 antibody at 10 ug/mL.

Applications for C1qTNF5/CTRP5 Antibody - BSA Free

Application
Recommended Usage

ELISA

1:100-1:2000

Immunohistochemistry

10 ug/ml

Immunohistochemistry-Paraffin

10 ug/ml

Western Blot

1-4 ug/ml

Formulation, Preparation, and Storage

Purification

Peptide affinity purified

Formulation

PBS

Format

BSA Free

Preservative

0.02% Sodium Azide

Concentration

1 mg/ml

Shipping

The product is shipped with polar packs. Upon receipt, store it immediately at the temperature recommended below.

Stability & Storage

Store at 4C short term. Aliquot and store at -20C long term. Avoid freeze-thaw cycles.

Background: CTRP5/C1qTNF5

Adipose tissue of an organism plays a major role in regulating physiologic and pathologic processes such as metabolism and immunity by producing and secreting a variety of bioactive molecules termed adipokines. One highly conserved family of adipokines is adiponectin/ACRP30 and its structural and functional paralogs, the C1q/tumor necrosis factor-alpha-related proteins (CTRPs) 1-7. Unlike adiponectin, which is expressed exclusively by differentiated adipocytes, the CTRPs are expressed in a wide variety of tissues. These proteins are thought to act mainly on liver and muscle tissue to control glucose and lipid metabolism. An analysis of the crystal structure of adiponectin revealed a structural and evolutionary link between TNF and C1q-containing proteins, suggesting that these proteins arose from a common ancestral innate immunity gene. CTRP5 has been suggested to be involved in age-related macular degeneration.

Long Name

C1q And Tumor Necrosis Factor Related Protein 5

Alternate Names

C1qTNF5

Gene Symbol

C1QTNF5

Additional CTRP5/C1qTNF5 Products

Product Documents for C1qTNF5/CTRP5 Antibody - BSA Free

Certificate of Analysis

To download a Certificate of Analysis, please enter a lot number in the search box below.

Product Specific Notices for C1qTNF5/CTRP5 Antibody - BSA Free

This product is for research use only and is not approved for use in humans or in clinical diagnosis. Primary Antibodies are guaranteed for 1 year from date of receipt.

Loading...
Loading...
Loading...
Loading...