C19orf54 Antibody - BSA Free
Novus Biologicals, part of Bio-Techne | Catalog # NBP2-32418
Key Product Details
Species Reactivity
Human
Applications
Immunohistochemistry, Immunohistochemistry-Paraffin, Western Blot
Label
Unconjugated
Antibody Source
Polyclonal Rabbit IgG
Format
BSA Free
Concentration
Concentrations vary lot to lot. See vial label for concentration. If unlisted please contact technical services.
Product Specifications
Immunogen
This antibody was developed against a recombinant protein corresponding to amino acids: CGLVALWMAGTLLSPPSGVPLERLIRVATERGYTAQGEMFSVADMGRLAQEVLGCQAKLLSGGLGGPNRDLVL
Clonality
Polyclonal
Host
Rabbit
Isotype
IgG
Description
Novus Biologicals Rabbit C19orf54 Antibody - BSA Free (NBP2-32418) is a polyclonal antibody validated for use in IHC and WB. All Novus Biologicals antibodies are covered by our 100% guarantee.
Scientific Data Images for C19orf54 Antibody - BSA Free
Western Blot: C19orf54 Antibody [NBP2-32418]
Western Blot: C19orf54 Antibody [NBP2-32418] - Lane 1: Marker [kDa] 250, 130, 95, 72, 55, 36, 28, 17, 10. Lane 2: Human cell line RT-4Immunohistochemistry-Paraffin: C19orf54 Antibody [NBP2-32418]
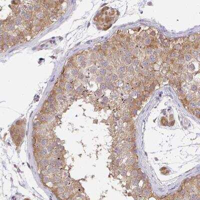
Immunohistochemistry-Paraffin: C19orf54 Antibody [NBP2-32418] - Staining of human testis shows moderate cytoplasmic positivity in cells in seminiferus ducts and Leydig cells.Applications for C19orf54 Antibody - BSA Free
Application
Recommended Usage
Immunohistochemistry
1:500 - 1:1000
Immunohistochemistry-Paraffin
1:500 - 1:1000
Western Blot
0.04-0.4 ug/ml
Application Notes
For IHC-Paraffin, HIER pH 6 retrieval is recommended.
Formulation, Preparation, and Storage
Purification
Affinity purified
Formulation
PBS (pH 7.2) and 40% Glycerol
Format
BSA Free
Preservative
0.02% Sodium Azide
Concentration
Concentrations vary lot to lot. See vial label for concentration. If unlisted please contact technical services.
Shipping
The product is shipped with polar packs. Upon receipt, store it immediately at the temperature recommended below.
Stability & Storage
Store at 4C short term. Aliquot and store at -20C long term. Avoid freeze-thaw cycles.
Background: C19orf54
Alternate Names
chromosome 19 open reading frame 54
Gene Symbol
C19ORF54
Additional C19orf54 Products
Product Documents for C19orf54 Antibody - BSA Free
Product Specific Notices for C19orf54 Antibody - BSA Free
This product is for research use only and is not approved for use in humans or in clinical diagnosis. Primary Antibodies are guaranteed for 1 year from date of receipt.
Loading...
Loading...
Loading...
Loading...