C11orf52 Antibody - BSA Free
Novus Biologicals, part of Bio-Techne | Catalog # NBP1-82060
Key Product Details
Species Reactivity
Human
Applications
Immunohistochemistry, Immunohistochemistry-Paraffin, Western Blot, Immunocytochemistry/ Immunofluorescence
Label
Unconjugated
Antibody Source
Polyclonal Rabbit IgG
Format
BSA Free
Concentration
Concentrations vary lot to lot. See vial label for concentration. If unlisted please contact technical services.
Product Specifications
Immunogen
This antibody was developed against Recombinant Protein corresponding to amino acids: MGNRVCCGGSWSCPSTFQKKKKTGSQTRRTLKPQPQQLQQNLPKGHETTGHTYERVLQQQGS
Clonality
Polyclonal
Host
Rabbit
Isotype
IgG
Scientific Data Images for C11orf52 Antibody - BSA Free
Western Blot: C11orf52 Antibody [NBP1-82060]
Western Blot: C11orf52 Antibody [NBP1-82060] - Analysis in control (vector only transfected HEK293T lysate) and C11orf52 over-expression lysate (Co-expressed with a C-terminal myc-DDK tag (3.1 kDa) in mammalian HEK293T cells).Immunocytochemistry/ Immunofluorescence: C11orf52 Antibody [NBP1-82060]
Immunocytochemistry/Immunofluorescence: C11orf52 Antibody [NBP1-82060] - Staining of human cell line MCF7 shows localization to cell junctions. Antibody staining is shown in green.Immunohistochemistry-Paraffin: C11orf52 Antibody [NBP1-82060]
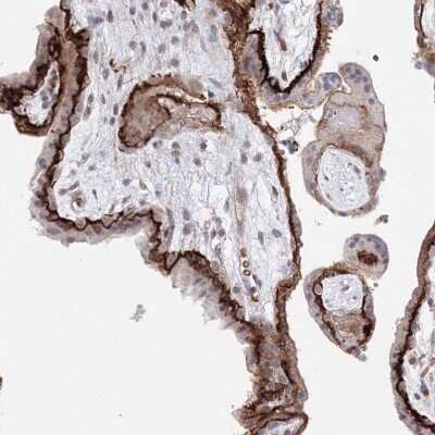
Immunohistochemistry-Paraffin: C11orf52 Antibody [NBP1-82060] - Staining of human placenta shows strong membranous positivity.Applications for C11orf52 Antibody - BSA Free
Application
Recommended Usage
Immunocytochemistry/ Immunofluorescence
0.25-2 ug/ml
Immunohistochemistry
1:20 - 1:50
Immunohistochemistry-Paraffin
1:20 - 1:50
Western Blot
0.04-0.4 ug/ml
Application Notes
For IHC-Paraffin, HIER pH 6 retrieval is recommended. Immunocytochemistry/Immunofluorescence Fixation Permeabilization: Use PFA/Triton X-100.
Formulation, Preparation, and Storage
Purification
Affinity purified
Formulation
PBS (pH 7.2) and 40% Glycerol
Format
BSA Free
Preservative
0.02% Sodium Azide
Concentration
Concentrations vary lot to lot. See vial label for concentration. If unlisted please contact technical services.
Shipping
The product is shipped with polar packs. Upon receipt, store it immediately at the temperature recommended below.
Stability & Storage
Store at 4C short term. Aliquot and store at -20C long term. Avoid freeze-thaw cycles.
Background: C11orf52
Alternate Names
chromosome 11 open reading frame 52, FLJ25219, hypothetical protein LOC91894, MGC131888, MGC14839
Gene Symbol
C11ORF52
Additional C11orf52 Products
Product Documents for C11orf52 Antibody - BSA Free
Product Specific Notices for C11orf52 Antibody - BSA Free
This product is for research use only and is not approved for use in humans or in clinical diagnosis. Primary Antibodies are guaranteed for 1 year from date of receipt.
Loading...
Loading...
Loading...
Loading...