Skip to main content

c-Myc Antibody (MYC/7150R) - Azide and BSA Free

Novus Biologicals, part of Bio-Techne | Catalog # NBP3-20786

Recombinant Monoclonal Antibody
Novus Biologicals, part of Bio-Techne

Key Product Details

Species Reactivity

Human

Applications

Immunohistochemistry-Paraffin

Label

Unconjugated

Antibody Source

Recombinant Monoclonal Rabbit IgG Kappa Clone # MYC/7150R

Format

Azide and BSA Free

Concentration

1 mg/ml

Product Specifications

Immunogen

Recombinant fragment (around aa1-200) of human c-Myc protein (exact sequence is proprietary)

Epitope

aa 410-419 (EQKLISEEDL)

Localization

Nucleus.

Specificity

It recognizes a transcription factor of 64-67kDa, identified as c-myc Its epitope spans between aa 410-419 (EQKLISEEDL) which is a specific portion of an alpha helical region of human c-myc protein This monoclonal antibody shows no cross-reaction with v-myc

Clonality

Monoclonal

Host

Rabbit

Isotype

IgG Kappa

Description

Positive Controls: HL-60 cells. Human cervical carcinoma or heart tissue.

Antibody with azide - store at 2 to 8C. Antibody without azide - store at -20 to -80C. Non-hazardous. No MSDS required.

Scientific Data Images for c-Myc Antibody (MYC/7150R) - Azide and BSA Free

c-Myc Antibody (MYC/7150R) - Azide and BSA Free

c-Myc Antibody (MYC/7150R)

Formalin-fixed, paraffin-embedded human heart stained with c-Myc antibody (MYC/7150R). Inset: PBS instead of primary antibody; secondary only negative control.
c-Myc Antibody (MYC/7150R) - Azide and BSA Free

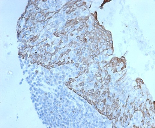
c-Myc Antibody (MYC/7150R)

Formalin-fixed, paraffin-embedded human tonsil stained with c-Myc antibody (MYC/7150R). HIER: Tris/EDTA, pH9.0, 45min. Secondary: HRP-polymer, 30min. DAB, 5min.

Applications for c-Myc Antibody (MYC/7150R) - Azide and BSA Free

Application
Recommended Usage

Immunohistochemistry-Paraffin

1-2 ug/ml
Application Notes
Immunohistochemistry (Formalin-fixed): 1-2ug/ml for 30 minutes. at RT. Staining of formalin-fixed tissues requires heating tissue sections in 10mM Tris with 1mM EDTA, pH 9.0, for 45 min at 95C followed by cooling at RT for 20 minutes.

Optimal dilution for a specific application should be determined.

Formulation, Preparation, and Storage

Purification

Protein A or G purified

Formulation

10mM PBS

Format

Azide and BSA Free

Preservative

No Preservative

Concentration

1 mg/ml

Shipping

The product is shipped with polar packs. Upon receipt, store it immediately at the temperature recommended below.

Stability & Storage

Store at -20 to -70C. Avoid freeze-thaw cycles.

Background: c-Myc

The c-Myc protein is a transcription factor, which is encoded by the c-Myc gene on human chromosome 8q24. c-Myc is a multifunctional, nuclear phosphoprotein that functions as a transcription factor with a theoretical molecular weight of 62kDa. However, c-Myc is extremely labile and is degraded very quickly even in extracts prepared with boiling SDS sample buffer, such that a molecular weight of ~40 kDa has been observed. c-Myc is part of a heterodimeric complex with Max that acts as a potent transcriptional activator. c-Myc is modified by glycosylation and phosphorylation and has been shown to interact with numerous proteins including SMAD2, SMAD3, LSD1/KDM1A, MAD, and Sp1 (1).

A basic Helix-Loop-Helix, Leucine Zipper domain (bHLH/LZ), designated Max, specifically associates with c-Myc, N-Myc and L-Myc proteins. The Myc-Max complex binds to DNA in a sequence-specific manner under conditions where neither Max nor Myc exhibit appreciable binding. Max can also form heterodimers with other bHLH-Zip proteins, Mad and Mxi1. c-Myc plays a role in cell cycle progression, apoptosis, cellular transformation and angiogenesis (2). Mutations, overexpression, rearrangement and translocation of this gene have been associated with a variety of cancers including B-cell Lymphomas, acute myeloid leukemia, glioblastoma, stomach adenocarcinoma, and prostate adenocarcinoma (3).

References

1. Wilkinson, D. S., Tsai, W. W., Schumacher, M. A., & Barton, M. C. (2008). Chromatin-bound p53 anchors activated Smads and the mSin3A corepressor to confer transforming-growth-factor-beta-mediated transcription repression. Mol Cell Biol, 28(6), 1988-1998. doi:10.1128/mcb.01442-07

2. Pedrosa, A. R., Bodrug, N., Gomez-Escudero, J., Carter, E. P., Reynolds, L. E., Georgiou, P. N., . . . Hodivala-Dilke, K. M. (2019). Tumor Angiogenesis Is Differentially Regulated by Phosphorylation of Endothelial Cell Focal Adhesion Kinase Tyrosines-397 and -861. Cancer Res, 79(17), 4371-4386. doi:10.1158/0008-5472.Can-18-3934

3. Nagasaka, M., Tsuzuki, K., Ozeki, Y., Tokugawa, M., Ohoka, N., Inoue, Y., & Hayashi, H. (2019). Lysine-Specific Demethylase 1 (LSD1/KDM1A) Is a Novel Target Gene of c-Myc. Biol Pharm Bull, 42(3), 481-488. doi:10.1248/bpb.b18-00892

Long Name

v-Myc Avian Myelocytomatosis Viral Oncogene Homolog (Avian)

Alternate Names

cMyc, Myc, Myc2, Niard, Nird

Gene Symbol

MYC

Additional c-Myc Products

Product Documents for c-Myc Antibody (MYC/7150R) - Azide and BSA Free

Certificate of Analysis

To download a Certificate of Analysis, please enter a lot number in the search box below.

Product Specific Notices for c-Myc Antibody (MYC/7150R) - Azide and BSA Free

This product is for research use only and is not approved for use in humans or in clinical diagnosis. Primary Antibodies are guaranteed for 1 year from date of receipt.

Loading...
Loading...
Loading...
Loading...