BubR1 Antibody (OTI6E5)
Novus Biologicals, part of Bio-Techne | Catalog # NBP1-47680
Conjugate
Catalog #
Forumulation
Catalog #
Key Product Details
Species Reactivity
Human
Applications
Flow Cytometry, Immunocytochemistry/ Immunofluorescence, Immunohistochemistry, Immunohistochemistry-Paraffin, Western Blot
Label
Unconjugated
Antibody Source
Monoclonal Mouse IgG1 Clone # OTI6E5
Concentration
1 mg/ml
Product Specifications
Immunogen
Full-length protein expressed in 293T cell transfected with human BUB1B expression vector
Specificity
This antibody is specific for Homo sapiens budding uninhibited by benzimidazoles 1 homolog beta (yeast) (BUB1B).
Clonality
Monoclonal
Host
Mouse
Isotype
IgG1
Theoretical MW
119.5 kDa.
Disclaimer note: The observed molecular weight of the protein may vary from the listed predicted molecular weight due to post translational modifications, post translation cleavages, relative charges, and other experimental factors.
Disclaimer note: The observed molecular weight of the protein may vary from the listed predicted molecular weight due to post translational modifications, post translation cleavages, relative charges, and other experimental factors.
Description
Novus Biologicals Mouse BubR1 Antibody (OTI6E5) (NBP1-47680) is a monoclonal antibody validated for use in IHC, WB, Flow and ICC/IF. All Novus Biologicals antibodies are covered by our 100% guarantee.
Scientific Data Images for BubR1 Antibody (OTI6E5)
Western Blot: BubR1 Antibody (OTI6E5) [NBP1-47680]
Western Blot: BubR1 Antibody (6E5) [NBP1-47680] - HEK293T cells were transfected with the pCMV6-ENTRY control (Left lane) or pCMV6-ENTRY BubR1 (Right lane) cDNA for 48 hrs and lysed. Equivalent amounts of cell lysates (5 ug per lane) were separated by SDS-PAGE and immunoblotted with anti-BubR1.Immunocytochemistry/ Immunofluorescence: BubR1 Antibody (OTI6E5) [NBP1-47680]
Immunocytochemistry/Immunofluorescence: BubR1 Antibody (OTI6E5) [NBP1-47680] - BubR1 Antibody (6E5) [NBP1-47680] - Staining of COS7 cells transiently transfected by pCMV6-ENTRY BubR1.Immunohistochemistry-Paraffin: BubR1 Antibody (OTI6E5) [NBP1-47680]
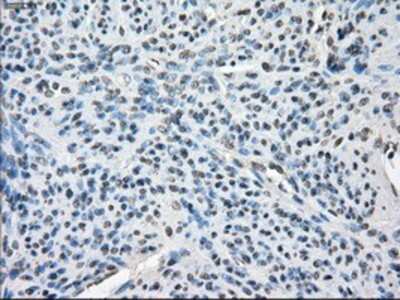
Immunohistochemistry-Paraffin: BubR1 Antibody (6E5) [NBP1-47680] - Staining of paraffin-embedded prostate tissue using anti-BubR1 mouse monoclonal antibody.Applications for BubR1 Antibody (OTI6E5)
Application
Recommended Usage
Flow Cytometry
1:100
Immunocytochemistry/ Immunofluorescence
1:100
Immunohistochemistry
1:50
Immunohistochemistry-Paraffin
1:50
Western Blot
1:200-1:1000
Formulation, Preparation, and Storage
Purification
Immunogen affinity purified
Formulation
PBS (pH 7.3), 1.0% BSA and 50% Glycerol
Preservative
0.02% Sodium Azide
Concentration
1 mg/ml
Shipping
The product is shipped with polar packs. Upon receipt, store it immediately at the temperature recommended below.
Stability & Storage
Store at -20C. Avoid freeze-thaw cycles.
Background: BubR1
Alternate Names
Bub1A, BUBR1budding uninhibited by benzimidazoles 1 (yeast homolog), beta, budding uninhibited by benzimidazoles 1 homolog beta (yeast), EC 2.7.11.1, hBUBR1, MAD3/BUB1-related protein kinase, MAD3LBUB1beta, Mitotic checkpoint kinase MAD3L, Protein SSK1, SSK1mitotic checkpoint serine/threonine-protein kinase BUB1 beta
Entrez Gene IDs
701 (Human)
Gene Symbol
BUB1B
Additional BubR1 Products
Product Documents for BubR1 Antibody (OTI6E5)
Product Specific Notices for BubR1 Antibody (OTI6E5)
This product is for research use only and is not approved for use in humans or in clinical diagnosis. Primary Antibodies are guaranteed for 1 year from date of receipt.
Loading...
Loading...
Loading...
Loading...
Loading...