Skip to main content

Bub3 Antibody - BSA Free

Novus Biologicals, part of Bio-Techne | Catalog # NBP1-33558

Novus Biologicals, part of Bio-Techne
Catalog #
Availability
Size / Price
Qty
Loading...
NBP1-33558

Key Product Details

Species Reactivity

Validated:

Human, Mouse, Rat

Predicted:

Bovine (100%), Chicken (96%), Rhesus Macaque (100%), Xenopus (92%). Backed by our 100% Guarantee.

Applications

Immunohistochemistry, Immunohistochemistry-Paraffin, Western Blot, Immunoprecipitation

Label

Unconjugated

Antibody Source

Polyclonal Rabbit IgG

Format

BSA Free

Concentration

Concentrations vary lot to lot. See vial label for concentration. If unlisted please contact technical services.

Product Specifications

Immunogen

Recombinant protein encompassing a sequence within the center region of human Bub3. The exact sequence is proprietary.

Reactivity Notes

Xenopus laevis (92%), Zebrafish (83%).

Localization

Nucleus

Clonality

Polyclonal

Host

Rabbit

Isotype

IgG

Theoretical MW

37 kDa.
Disclaimer note: The observed molecular weight of the protein may vary from the listed predicted molecular weight due to post translational modifications, post translation cleavages, relative charges, and other experimental factors.

Description

Novus Biologicals Rabbit Bub3 Antibody - BSA Free (NBP1-33558) is a polyclonal antibody validated for use in IHC, WB and IP. All Novus Biologicals antibodies are covered by our 100% guarantee.

Scientific Data Images for Bub3 Antibody - BSA Free

Western Blot: Bub3 Antibody [NBP1-33558]

Western Blot: Bub3 Antibody [NBP1-33558]

Western Blot: Bub3 Antibody [NBP1-33558] - Various whole cell extracts (30 ug) were separated by 10% SDS-PAGE, and the membrane was blotted with Bub3 antibody diluted at 1:500. HRP-conjugated anti-rabbit IgG antibody was used to detect the primary antibody.
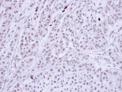
Immunohistochemistry-Paraffin: Bub3 Antibody [NBP1-33558]

Immunohistochemistry-Paraffin: Bub3 Antibody [NBP1-33558]

Immunohistochemistry-Paraffin: Bub3 Antibody [NBP1-33558] - Paraffin-embedded A549 Xenograft, using antibody at 1:100 dilution.
Western Blot: Bub3 Antibody [NBP1-33558]

Western Blot: Bub3 Antibody [NBP1-33558]

Western Blot: Bub3 Antibody [NBP1-33558] - Sample (30 ug of whole cell lysate) A: 293T B: H1299 10% SDS PAGE; antibody diluted at 1:1000.

Applications for Bub3 Antibody - BSA Free

Application
Recommended Usage

Immunohistochemistry

1:100-1:1000

Immunohistochemistry-Paraffin

1:100-1:1000

Immunoprecipitation

1:100-1:500

Western Blot

1:500-1:3000

Formulation, Preparation, and Storage

Purification

Antigen Affinity-purified

Formulation

0.1M Tris, 0.1M Glycine, 20% Glycerol

Format

BSA Free

Preservative

0.01% Thimerosal

Concentration

Concentrations vary lot to lot. See vial label for concentration. If unlisted please contact technical services.

Shipping

The product is shipped with polar packs. Upon receipt, store it immediately at the temperature recommended below.

Stability & Storage

Aliquot and store at -20C or -80C. Avoid freeze-thaw cycles.

Background: Bub3

The spindle checkpoint ensures the fidelity of chromosome segregation in mitosis and meiosis. In response to defects in the mitotic apparatus, it blocks the activity of the anaphase-promoting complex, a large ubiquitin ligase required for chromosome segregation. Recent studies indicate that the spindle checkpoint monitors both the attachment of chromosomes to the mitotic spindle and the tension across the sister chromatid generated by microtubules. Upon checkpoint activation, checkpoint protein complexes containing BubR1(Mad3), Bub3, Mad2 and Cdc20 directly bind to the anaphase-promoting complex and inhibit its ligase activity. Therefore, the checkpoint proteins form a complex intracellular signalling network to inhibit the anaphase-promoting complex.

Long Name

BUB3 Budding Uninhibited By Benzimidazoles 1 Homolog

Alternate Names

BUB3 (budding uninhibited by benzimidazoles 3, yeast) homolog, BUB3 budding uninhibited by benzimidazoles 3 homolog, BUB3L, budding uninhibited by benomyl, budding uninhibited by benzimidazoles 3 homolog (yeast), hBUB3, mitotic checkpoint component, mitotic checkpoint protein BUB3

Gene Symbol

BUB3

Additional Bub3 Products

Product Documents for Bub3 Antibody - BSA Free

Certificate of Analysis

To download a Certificate of Analysis, please enter a lot number in the search box below.

Product Specific Notices for Bub3 Antibody - BSA Free

This product is for research use only and is not approved for use in humans or in clinical diagnosis. Primary Antibodies are guaranteed for 1 year from date of receipt.

Loading...
Loading...
Loading...
Loading...

⚠ WARNING: This product can expose you to chemicals including mercury, which is known to the State of California to cause reproductive toxicity with developmental effects.  For more information go to www.P65Warnings.ca.gov.