Skip to main content

BTN2A2/Butyrophilin 2 Antibody (6C7D2) - BSA Free

Novus Biologicals, part of Bio-Techne | Catalog # NBP2-61717

Novus Biologicals, part of Bio-Techne
Catalog #
Availability
Size / Price
Qty
Loading...
NBP2-61717-0.025ml
NBP2-61717

Key Product Details

Species Reactivity

Human

Applications

Immunohistochemistry, Immunohistochemistry-Paraffin, Western Blot, ELISA, Flow Cytometry

Label

Unconjugated

Antibody Source

Monoclonal Mouse IgG1 Clone # 6C7D2

Format

BSA Free

Concentration

1 mg/ml

Product Specifications

Immunogen

Purified recombinant fragment of human BTN2A2/Butyrophilin 2 (AA: extra 57-237) expressed in E. Coli.

Clonality

Monoclonal

Host

Mouse

Isotype

IgG1

Theoretical MW

59 kDa.
Disclaimer note: The observed molecular weight of the protein may vary from the listed predicted molecular weight due to post translational modifications, post translation cleavages, relative charges, and other experimental factors.

Description

Novus Biologicals Mouse BTN2A2/Butyrophilin 2 Antibody (6C7D2) - BSA Free (NBP2-61717) is a monoclonal antibody validated for use in IHC, WB, ELISA and Flow. All Novus Biologicals antibodies are covered by our 100% guarantee.

Scientific Data Images for BTN2A2/Butyrophilin 2 Antibody (6C7D2) - BSA Free

Western Blot: BTN2A2/Butyrophilin 2 Antibody (6C7D2)BSA Free [NBP2-61717]

Western Blot: BTN2A2/Butyrophilin 2 Antibody (6C7D2)BSA Free [NBP2-61717]

Western Blot: BTN2A2/Butyrophilin 2 Antibody (6C7D2) [NBP2-61717] - Analysis using BTN2A2 mAb against human BTN2A2 (AA: extra 57-237) recombinant protein. (Expected MW is 46.4 kDa)
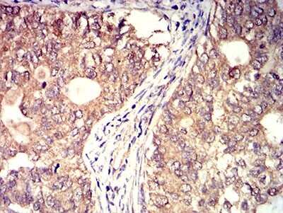
Immunohistochemistry-Paraffin: BTN2A2/Butyrophilin 2 Antibody (6C7D2) - BSA Free [NBP2-61717]

Immunohistochemistry-Paraffin: BTN2A2/Butyrophilin 2 Antibody (6C7D2) - BSA Free [NBP2-61717]

Immunohistochemistry-Paraffin: BTN2A2/Butyrophilin 2 Antibody (6C7D2) [NBP2-61717] - Analysis of bladder cancer tissues using BTN2A2 mouse mAb with DAB staining.
Flow Cytometry: BTN2A2/Butyrophilin 2 Antibody (6C7D2) - BSA Free [NBP2-61717]

Flow Cytometry: BTN2A2/Butyrophilin 2 Antibody (6C7D2) - BSA Free [NBP2-61717]

Flow Cytometry: BTN2A2/Butyrophilin 2 Antibody (6C7D2) [NBP2-61717] - Analysis of Hela cells using BTN2A2 mouse mAb (green) and negative control (red).

Applications for BTN2A2/Butyrophilin 2 Antibody (6C7D2) - BSA Free

Application
Recommended Usage

ELISA

1:100-1:2000

Flow Cytometry

1:10-1:1000

Immunohistochemistry

1:10-1:1000

Immunohistochemistry-Paraffin

1:200 - 1:1000

Western Blot

1:100-1:2000

Formulation, Preparation, and Storage

Purification

Protein G purified

Formulation

PBS

Format

BSA Free

Preservative

0.05% Sodium Azide

Concentration

1 mg/ml

Shipping

The product is shipped with polar packs. Upon receipt, store it immediately at the temperature recommended below.

Stability & Storage

Store at 4C short term. Aliquot and store at -20C long term. Avoid freeze-thaw cycles.

Background: BTN2A2/Butyrophilin 2A2

Butyrophilin is the major protein associated with fat droplets in the milk. This gene is a member of the BTN2 subfamily of genes, which encode proteins belonging to the butyrophilin protein family. The gene is located in a cluster on chromosome 6, consisting of seven genes belonging to the expanding B7/butyrophilin-like group, a subset of the immunoglobulin gene superfamily. The encoded protein is a type I receptor glycoprotein involved in lipid, fatty-acid and sterol metabolism. Several alternatively spliced transcript variants encoding different isoforms have been found for this gene.

Long Name

Butyrophilin Subfamily 2 Member A2

Alternate Names

BTF2, BTN2, Butyrophilin 2

Gene Symbol

BTN2A2

Additional BTN2A2/Butyrophilin 2A2 Products

Product Documents for BTN2A2/Butyrophilin 2 Antibody (6C7D2) - BSA Free

Certificate of Analysis

To download a Certificate of Analysis, please enter a lot number in the search box below.

Product Specific Notices for BTN2A2/Butyrophilin 2 Antibody (6C7D2) - BSA Free

This product is for research use only and is not approved for use in humans or in clinical diagnosis. Primary Antibodies are guaranteed for 1 year from date of receipt.

Loading...
Loading...
Loading...
Loading...
Loading...