Skip to main content

BTK Antibody - BSA Free

Novus Biologicals, part of Bio-Techne | Catalog # NBP1-89207

Novus Biologicals, part of Bio-Techne
Catalog #
Availability
Size / Price
Qty
Loading...
NBP1-89207-25ul
NBP1-89207

Key Product Details

Validated by

Orthogonal Validation, Independent Antibodies

Species Reactivity

Validated:

Human, Rat

Cited:

Rat

Predicted:

Mouse (96%). Backed by our 100% Guarantee.

Applications

Validated:

Immunohistochemistry, Immunohistochemistry-Paraffin, Western Blot, Immunocytochemistry/ Immunofluorescence

Cited:

Western Blot

Label

Unconjugated

Antibody Source

Polyclonal Rabbit IgG

Format

BSA Free

Concentration

Concentrations vary lot to lot. See vial label for concentration. If unlisted please contact technical services.

Product Specifications

Immunogen

This antibody was developed against Recombinant Protein corresponding to amino acids: PAAAPVSTSELKKVVALYDYMPMNANDLQLRKGDEYFILEESNLPWWRARDKNGQEGYIPSNYVTEAEDSIEMYEWYSKHMTRSQAEQLLKQEGKEGGFIVRDSSKAGKYTVSVFAKSTGDPQGVIRHYVVCSTPQSQYYLAEKHL

Reactivity Notes

Rat reactivity reported in scientific literature (PMID: 30747048).

Clonality

Polyclonal

Host

Rabbit

Isotype

IgG

Description

Novus Biologicals Rabbit BTK Antibody - BSA Free (NBP1-89207) is a polyclonal antibody validated for use in IHC, WB and ICC/IF. Anti-BTK Antibody: Cited in 1 publication. All Novus Biologicals antibodies are covered by our 100% guarantee.

Scientific Data Images for BTK Antibody - BSA Free

Immunohistochemistry-Paraffin: BTK Antibody [NBP1-89207]

Immunohistochemistry-Paraffin: BTK Antibody [NBP1-89207]

Immunohistochemistry-Paraffin: BTK Antibody [NBP1-89207] - Analysis in human tonsil and kidney tissues. Corresponding BTK RNA-seq data are presented for the same tissues.
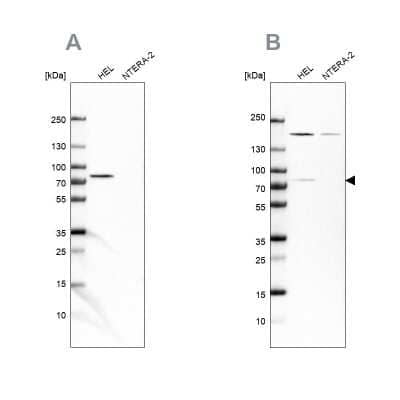
Western Blot: BTK Antibody [NBP1-89207]

Western Blot: BTK Antibody [NBP1-89207]

Western Blot: BTK Antibody [NBP1-89207] - Analysis using Anti-BTK antibody NBP1-89207 (A) shows similar pattern to independent antibody NBP1-89206 (B).
Immunocytochemistry/ Immunofluorescence: BTK Antibody [NBP1-89207]

Immunocytochemistry/ Immunofluorescence: BTK Antibody [NBP1-89207]

Immunocytochemistry/Immunofluorescence: BTK Antibody [NBP1-89207] - Staining of human cell line U-251 MG shows localization to vesicles. Antibody staining is shown in green.

Applications for BTK Antibody - BSA Free

Application
Recommended Usage

Immunocytochemistry/ Immunofluorescence

0.25-2 ug/ml

Immunohistochemistry

1:500 - 1:1000

Immunohistochemistry-Paraffin

1:500 - 1:1000

Western Blot

0.04 - 0.4 ug/ml
Application Notes
For IHC-Paraffin, HIER pH 6 retrieval is recommended. ICC/IF Fixation Permeabilization: Use PFA/Triton X-100.

Formulation, Preparation, and Storage

Purification

Affinity purified

Formulation

PBS (pH 7.2) and 40% Glycerol

Format

BSA Free

Preservative

0.02% Sodium Azide

Concentration

Concentrations vary lot to lot. See vial label for concentration. If unlisted please contact technical services.

Shipping

The product is shipped with polar packs. Upon receipt, store it immediately at the temperature recommended below.

Stability & Storage

Store at 4C short term. Aliquot and store at -20C long term. Avoid freeze-thaw cycles.

Background: BTK

Brutons tyrosine kinase (BTK) is a member of the BTK/Tec family of cytoplasmic tyrosine kinases. All members of the BTK/Tec family contain SH3 and SH2 domains and, with the exception of Txk and Dsrc28C, also contain a pleckstrin homology (PH) and a Tec homology (TH) domain in their amino termini. BTK plays an important role in B cell development. Activation of B cells by various ligands is accompanied by BTK membrane translocation mediated by its PH domain binding to phosphatidylinositol-3,4,5-trisphosphate. The membrane located BTK is active and associated with transient phosphorylation of two tyrosine residues, Tyr551 and Tyr223. Tyr551 in the activation loop is transphosphorylated by the Src family tyrosine kinase, leading to autophosphorylation at Tyr223 within the SH3 domain, which is necessary for full activation.

Long Name

Bruton Agammaglobulinemia Tyrosine Kinase

Alternate Names

AGMX1, IMD1, PSCTK1, XLA

Gene Symbol

BTK

Additional BTK Products

Product Documents for BTK Antibody - BSA Free

Certificate of Analysis

To download a Certificate of Analysis, please enter a lot number in the search box below.

Product Specific Notices for BTK Antibody - BSA Free

This product is for research use only and is not approved for use in humans or in clinical diagnosis. Primary Antibodies are guaranteed for 1 year from date of receipt.

Loading...
Loading...
Loading...
Loading...