Skip to main content

BTK [p Tyr223] Antibody - BSA Free

Novus Biologicals, part of Bio-Techne | Catalog # NBP1-78295

Novus Biologicals, part of Bio-Techne

Key Product Details

Species Reactivity

Validated:

Human, Mouse

Cited:

Human, Mouse

Applications

Validated:

Immunohistochemistry, Immunohistochemistry-Paraffin, Western Blot, Flow Cytometry, Immunocytochemistry/ Immunofluorescence

Cited:

Western Blot, Flow Cytometry, Immunocytochemistry/ Immunofluorescence, Proximity Ligation Assay, IF/IHC

Label

Unconjugated

Antibody Source

Polyclonal Rabbit IgG

Format

BSA Free

Concentration

1.09 mg/ml

Product Specifications

Immunogen

A synthetic phosphorylated peptide made to a peptide surrounding amino acid 223 of the human BTK protein [UniProt Q06187]

Modification

p Tyr223

Localization

Cytoplasm. Membrane; Peripheral membrane protein. Nucleus.

Clonality

Polyclonal

Host

Rabbit

Isotype

IgG

Description

Novus Biologicals Rabbit BTK [p Tyr223] Antibody - BSA Free (NBP1-78295) is a polyclonal antibody validated for use in IHC, WB, Flow and ICC/IF. Anti-BTK Antibody: Cited in 5 publications. All Novus Biologicals antibodies are covered by our 100% guarantee.

Scientific Data Images for BTK [p Tyr223] Antibody - BSA Free

Western Blot: BTK [p Tyr223] AntibodyBSA Free [NBP1-78295]

Western Blot: BTK [p Tyr223] AntibodyBSA Free [NBP1-78295]

Western Blot: BTK [p Tyr223] Antibody [NBP1-78295] - WB analysis of BTKpY223 on Ramos whole cell lysate with peptide competition: 1. ab only, 2. 200 molar excess unmodified immunizing peptide and 3. 200 molar excess modified immunizing peptide.
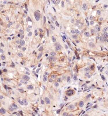
Immunohistochemistry: BTK [p Tyr223] Antibody - BSA Free [NBP1-78295]

Immunohistochemistry: BTK [p Tyr223] Antibody - BSA Free [NBP1-78295]

Immunohistochemistry: BTK [p Tyr223] Antibody [NBP1-78295] - IHC analysis of BTK in kidney cancer xenograft using DAB with hematoxylin counterstain.

Applications for BTK [p Tyr223] Antibody - BSA Free

Application
Recommended Usage

Flow Cytometry

reported in scientific literature (PMID 25724205)

Immunocytochemistry/ Immunofluorescence

1:200

Immunohistochemistry

1:200

Immunohistochemistry-Paraffin

1:200

Western Blot

1 ug/ml
Application Notes
Prior to immunostaining paraffin tissues, antigen retrieval with sodium citrate buffer (pH 6.0) is recommended.

Formulation, Preparation, and Storage

Purification

Immunogen affinity purified

Formulation

PBS and 30% Glycerol

Format

BSA Free

Preservative

0.05% Sodium Azide

Concentration

1.09 mg/ml

Shipping

The product is shipped with polar packs. Upon receipt, store it immediately at the temperature recommended below.

Stability & Storage

Store at 4C short term. Aliquot and store at -20C long term. Avoid freeze-thaw cycles.

Background: BTK

Bruton's tyrosine kinase (BTK) takes part in B-cell ontogeny, differentiation, and signaling. A kinase member of the Tec family, it's signaling leads to cytoskeletal changes, as well as calcium, NF kappa B, and NFAT signaling. Defects in the gene cause X-linked agammaglobulinemia (XLA). Autophosphorylation can occur on Tyr-223 and Tyr-551. pY223 activates the protein that is inhibited by IBTK, and creates a docking site for SH2 domain proteins.

Long Name

Bruton Agammaglobulinemia Tyrosine Kinase

Alternate Names

AGMX1, IMD1, PSCTK1, XLA

Entrez Gene IDs

695 (Human)

Gene Symbol

BTK

UniProt

Additional BTK Products

Product Documents for BTK [p Tyr223] Antibody - BSA Free

Certificate of Analysis

To download a Certificate of Analysis, please enter a lot number in the search box below.

Product Specific Notices for BTK [p Tyr223] Antibody - BSA Free

This product is for research use only and is not approved for use in humans or in clinical diagnosis. Primary Antibodies are guaranteed for 1 year from date of receipt.

Loading...
Loading...
Loading...
Loading...
Loading...