Skip to main content

BTK Antibody (OTI3A2) - Azide and BSA Free

Novus Biologicals, part of Bio-Techne | Catalog # NBP2-70291

Novus Biologicals, part of Bio-Techne

Key Product Details

Species Reactivity

Human, Mouse, Rat

Applications

Immunohistochemistry, Immunohistochemistry-Paraffin, Western Blot, Flow Cytometry, Immunocytochemistry/ Immunofluorescence, CyTOF-ready

Label

Unconjugated

Antibody Source

Monoclonal Mouse IgG1 Clone # OTI3A2

Format

Azide and BSA Free

Concentration

LYOPH mg/ml

Product Specifications

Immunogen

Full length human recombinant protein of human BTK (NP_000052) produced in HEK293T cell.

Reactivity Notes

Please note that this antibody is reactive to Mouse and derived from the same host, Mouse. Mouse-On-Mouse blocking reagent may be needed for IHC and ICC experiments to reduce high background signal. You can find these reagents under catalog numbers PK-2200-NB and MP-2400-NB. Please contact Technical Support if you have any questions.

Clonality

Monoclonal

Host

Mouse

Isotype

IgG1

Theoretical MW

76.3 kDa.
Disclaimer note: The observed molecular weight of the protein may vary from the listed predicted molecular weight due to post translational modifications, post translation cleavages, relative charges, and other experimental factors.

Description

Novus Biologicals Mouse BTK Antibody (OTI3A2) - Azide and BSA Free (NBP2-02472) is a monoclonal antibody validated for use in IHC, WB, Flow and ICC/IF. All Novus Biologicals antibodies are covered by our 100% guarantee.

Scientific Data Images for BTK Antibody (OTI3A2) - Azide and BSA Free

Western Blot: BTK Antibody (OTI3A2)Azide and BSA Free [NBP2-70291]

Western Blot: BTK Antibody (OTI3A2)Azide and BSA Free [NBP2-70291]

Western Blot: BTK Antibody (OTI3A2) - Azide and BSA Free [NBP2-70291] - HEK293T cells were transfected with the pCMV6-ENTRY control (Left lane) or pCMV6-ENTRY BTK (Right lane) cDNA for 48 hrs and lysed. Equivalent amounts of cell lysates (5 ug per lane) were separated by SDS-PAGE and immunoblotted with anti-BTK.
Immunocytochemistry/ Immunofluorescence: BTK Antibody (OTI3A2) - Azide and BSA Free [NBP2-70291]

Immunocytochemistry/ Immunofluorescence: BTK Antibody (OTI3A2) - Azide and BSA Free [NBP2-70291]

Immunocytochemistry/Immunofluorescence: BTK Antibody (OTI3A2) - Azide and BSA Free [NBP2-70291] - Staining of COS7 cells transiently transfected by pCMV6-ENTRY BTK.
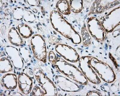
Immunohistochemistry: BTK Antibody (OTI3A2) - Azide and BSA Free [NBP2-70291]

Immunohistochemistry: BTK Antibody (OTI3A2) - Azide and BSA Free [NBP2-70291]

Immunohistochemistry: BTK Antibody (OTI3A2) - Azide and BSA Free [NBP2-70291] - Staining of paraffin-embedded Kidney tissue using anti-BTK mouse monoclonal antibody.

Applications for BTK Antibody (OTI3A2) - Azide and BSA Free

Application
Recommended Usage

Flow Cytometry

1:100

Immunocytochemistry/ Immunofluorescence

1:100

Immunohistochemistry

1:50

Western Blot

1:2000

Formulation, Preparation, and Storage

Purification

Immunogen affinity purified

Reconstitution

we recommend adding 100uL distilled water to a final antibody concentration of about 1 mg/mL. To use this carrier-free antibody for conjugation experiment, we strongly recommend performing another round of desalting process.

Formulation

Lyophilized from PBS (pH 7.3) with 8% Trehalose

Format

Azide and BSA Free

Preservative

No Preservative

Concentration

LYOPH mg/ml

Shipping

The product is shipped with polar packs. Upon receipt, store it immediately at the temperature recommended below.

Stability & Storage

Store at -20C. Avoid freeze-thaw cycles.

Background: BTK

Brutons tyrosine kinase (BTK) is a member of the BTK/Tec family of cytoplasmic tyrosine kinases. All members of the BTK/Tec family contain SH3 and SH2 domains and, with the exception of Txk and Dsrc28C, also contain a pleckstrin homology (PH) and a Tec homology (TH) domain in their amino termini. BTK plays an important role in B cell development. Activation of B cells by various ligands is accompanied by BTK membrane translocation mediated by its PH domain binding to phosphatidylinositol-3,4,5-trisphosphate. The membrane located BTK is active and associated with transient phosphorylation of two tyrosine residues, Tyr551 and Tyr223. Tyr551 in the activation loop is transphosphorylated by the Src family tyrosine kinase, leading to autophosphorylation at Tyr223 within the SH3 domain, which is necessary for full activation.

Long Name

Bruton Agammaglobulinemia Tyrosine Kinase

Alternate Names

AGMX1, IMD1, PSCTK1, XLA

Gene Symbol

BTK

Additional BTK Products

Product Documents for BTK Antibody (OTI3A2) - Azide and BSA Free

Certificate of Analysis

To download a Certificate of Analysis, please enter a lot number in the search box below.

Product Specific Notices for BTK Antibody (OTI3A2) - Azide and BSA Free

This product is for research use only and is not approved for use in humans or in clinical diagnosis. Primary Antibodies are guaranteed for 1 year from date of receipt.

Loading...
Loading...
Loading...
Loading...
Loading...
Loading...