Skip to main content

BTG2 Antibody - BSA Free

Novus Biologicals, part of Bio-Techne | Catalog # NBP1-81215

Novus Biologicals, part of Bio-Techne
Catalog #
Availability
Size / Price
Qty
Loading...
NBP1-81215
NBP1-81215-25ul

Key Product Details

Species Reactivity

Validated:

Human

Predicted:

Mouse (92%), Rat (92%). Backed by our 100% Guarantee.

Applications

Validated:

Immunohistochemistry, Immunohistochemistry-Paraffin, Immunocytochemistry/ Immunofluorescence

Cited:

Immunocytochemistry/ Immunofluorescence

Label

Unconjugated

Antibody Source

Polyclonal Rabbit IgG

Format

BSA Free

Concentration

Concentrations vary lot to lot. See vial label for concentration. If unlisted please contact technical services.

Product Specifications

Immunogen

This antibody was developed against Recombinant Protein corresponding to amino acids: QEALTEHYKHHWFPEKPSKGSGYRCIRINHKMDPIISRVASQIGLSQPQLHQLLPSELTLWVDPYEVSYRIGEDGSICVLYEEAPLAASCGLLTCKNQVLLG

Clonality

Polyclonal

Host

Rabbit

Isotype

IgG

Description

Novus Biologicals Rabbit BTG2 Antibody - BSA Free (NBP1-81215) is a polyclonal antibody validated for use in IHC and ICC/IF. Anti-BTG2 Antibody: Cited in 1 publication. All Novus Biologicals antibodies are covered by our 100% guarantee.

Scientific Data Images for BTG2 Antibody - BSA Free

Immunocytochemistry/ Immunofluorescence: BTG2 Antibody [NBP1-81215]

Immunocytochemistry/ Immunofluorescence: BTG2 Antibody [NBP1-81215]

Immunocytochemistry/Immunofluorescence: BTG2 Antibody [NBP1-81215] - Staining of human cell line A-431 shows localization to vesicles. Antibody staining is shown in green.
Immunohistochemistry-Paraffin: BTG2 Antibody [NBP1-81215]

Immunohistochemistry-Paraffin: BTG2 Antibody [NBP1-81215]

Immunohistochemistry-Paraffin: BTG2 Antibody [NBP1-81215] - Staining of human cerebellum shows strong cytoplasmic positivity in purkinje cells.

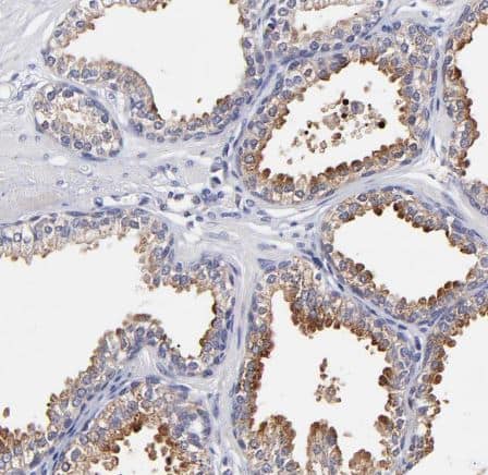
Staining of human prostate shows moderate cytoplasmic positivity in glandular cells.

Staining of human prostate shows moderate cytoplasmic positivity in glandular cells.

Applications for BTG2 Antibody - BSA Free

Application
Recommended Usage

Immunocytochemistry/ Immunofluorescence

0.25-2 ug/ml

Immunohistochemistry

1:200 - 1:500

Immunohistochemistry-Paraffin

1:200 - 1:500
Application Notes
For IHC-Paraffin, HIER pH 6 retrieval is recommended. ICC/IF Fixation Permeabilization: Use PFA/Triton X-100.

Formulation, Preparation, and Storage

Purification

Immunogen affinity purified

Formulation

PBS (pH 7.2) and 40% Glycerol

Format

BSA Free

Preservative

0.02% Sodium Azide

Concentration

Concentrations vary lot to lot. See vial label for concentration. If unlisted please contact technical services.

Shipping

The product is shipped with polar packs. Upon receipt, store it immediately at the temperature recommended below.

Stability & Storage

Store at 4C short term. Aliquot and store at -20C long term. Avoid freeze-thaw cycles.

Background: BTG2

BTG2 is encoded by this gene is a member of the BTG/Tob family. This family has structurally related proteins that appear to have antiproliferative properties. This encoded protein is involved in the regulation of the G1/S transition of the cell cycle. [provided by RefSeq]

Alternate Names

B-cell translocation gene 2, BTG family member 2, BTG family, member 2, MGC126063, MGC126064, NGF-inducible proliferative protein PC3, PC3nerve growth factor-inducible proliferative, pheochromacytoma cell-3, protein BTG2, TIS21

Entrez Gene IDs

7832 (Human)

Gene Symbol

BTG2

Additional BTG2 Products

Product Documents for BTG2 Antibody - BSA Free

Certificate of Analysis

To download a Certificate of Analysis, please enter a lot number in the search box below.

Product Specific Notices for BTG2 Antibody - BSA Free

This product is for research use only and is not approved for use in humans or in clinical diagnosis. Primary Antibodies are guaranteed for 1 year from date of receipt.

Loading...
Loading...
Loading...
Loading...