Skip to main content

BST2 Antibody (2E2) - BSA Free

Novus Biologicals, part of Bio-Techne | Catalog # NBP2-29621

Novus Biologicals, part of Bio-Techne
Catalog #
Availability
Size / Price
Qty
Loading...
NBP2-29621
NBP2-29621SS

Key Product Details

Species Reactivity

Human

Applications

CyTOF-ready, Flow Cytometry, Immunohistochemistry, Immunohistochemistry-Paraffin, Western Blot

Label

Unconjugated

Antibody Source

Monoclonal Mouse IgG1 kappa Clone # 2E2

Format

BSA Free

Concentration

1.0 mg/ml

Product Specifications

Immunogen

Full length recombinant human BST2 protein [NCBI NP_004326]

Localization

Cell membrane, trans-Golgi network, late endosome and cytoplasm

Clonality

Monoclonal

Host

Mouse

Isotype

IgG1 kappa

Description

Novus Biologicals Mouse BST2 Antibody (2E2) - BSA Free (NBP2-29621) is a monoclonal antibody validated for use in IHC, WB and Flow. All Novus Biologicals antibodies are covered by our 100% guarantee.

Scientific Data Images for BST2 Antibody (2E2) - BSA Free

Western Blot: BST2 Antibody (2E2)BSA Free [NBP2-29621]

Western Blot: BST2 Antibody (2E2)BSA Free [NBP2-29621]

Western Blot: BST2 Antibody (2E2) [NBP2-29621] - Analysis of BST2 protein in (A) human heart lysate, (B) human ovary lysate and (C) partial recombinant BST2 protein with monoclonal BST2 antibody at a concentration of 1 ug/ml. In the tested human lysates, two distinct bands were observed which represents the glycosylated (lower bands) and the ubiquitinated (higher bands ) forms of BST2 protein.
Immunohistochemistry-Paraffin: BST2 Antibody (2E2) - BSA Free [NBP2-29621]

Immunohistochemistry-Paraffin: BST2 Antibody (2E2) - BSA Free [NBP2-29621]

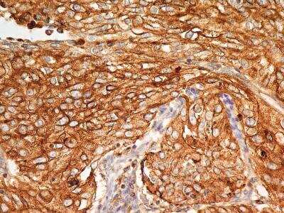
Immunohistochemistry-Paraffin: BST2 Antibody (2E2) [NBP2-29621] - Analysis of BST2 protein in a section of human endometrial carcinoma using 5 ug/ml concentration of BST2 antibody (clone 2E2). The carcinoma cells depicted distinct membrane-cytoplasmic BST2 positivity with more intense staining in the cellular membranes, whereas, weak staining was observed in tumor stroma.
Immunohistochemistry-Paraffin: BST2 Antibody (2E2) - BSA Free [NBP2-29621]

Immunohistochemistry-Paraffin: BST2 Antibody (2E2) - BSA Free [NBP2-29621]

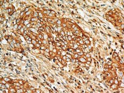
Immunohistochemistry-Paraffin: BST2 Antibody (2E2) [NBP2-29621] - Analysis of BST2 protein in a section of human renal cell carcinoma (clear cell type) using 5 ug/ml concentration of BST2 antibody (clone 2E2). The carcinoma cells depicted distinct membrane-cytoplasmic BST2 positivity with more intense staining in cellular membranes.

Applications for BST2 Antibody (2E2) - BSA Free

Application
Recommended Usage

Flow Cytometry

0.5 ug/ml

Immunohistochemistry

5 ug/ml

Immunohistochemistry-Paraffin

5 ug/ml

Western Blot

1 ug/ml
Application Notes
The unprocessed form of BST2 protein is 180 amino acids long (161 amino acids in its cleaved BST) and its cleaved form undergoes further modifications namely disulfide bond formation, GPI-anchor/GPI-like-anchor binding, glycosylation, isopeptide bond formation, lipidation and Ubl conjugation. The predicted molecular weight of unmodified BST2 protein is ~17-18kDa, whereas the post-translationally modified protein has been documented to run at ~25-36kDa (glycosylated), 50-55 kDa (ubiquitinated) and 65-70 kDa (dimers) in WB assay. BST2 protein localize mainly to the cell membranes from where it shuttles to the trans-Golgi network, late endosome and the cytoplasm. In immuno-staining assays, BST2 may develop a membrane-cytoplasmic staining pattern. This antibody is CyTOF ready.

Formulation, Preparation, and Storage

Purification

Protein A or G purified

Formulation

PBS

Format

BSA Free

Preservative

0.05% Sodium Azide

Concentration

1.0 mg/ml

Shipping

The product is shipped with polar packs. Upon receipt, store it immediately at the temperature recommended below.

Stability & Storage

Store at 4C short term. Aliquot and store at -20C long term. Avoid freeze-thaw cycles.

Background: BST-2/Tetherin

Bst2 was first identified as a novel terminal B-cell-restricted antigen termed HM1.24 that is expressed on certain bone marrow cells as well as other tissues. The surface expression of Bst2 on fibroblast cell lines facilitated the stromal cell-dependent growth of DW34, a pre-B-cell line, suggesting that this protein is involved in pre-B-cell growth. Later experiments also showed it to be upregulated in several myeloma cells. More recently, Bst2 was identified an inhibitor of retroviral release from human cells whose activity is antagonized by the HIV-1 accessory protein Vpu. While Bst2 caused retention of virions on cell surfaces or endocytosis into Bst2-positive compartments, its depletion abolished the viral requirement for Vpu for virus release. This activity may represent a potential therapeutic strategy for the treatment of HIV/AIDS.

Long Name

Bone Marrow Stromal Cell Antigen 2

Alternate Names

BST2, CD317, HM1.24 Antigen, NPC-A-7, Tetherin

Entrez Gene IDs

684 (Human)

Gene Symbol

BST2

UniProt

Additional BST-2/Tetherin Products

Product Documents for BST2 Antibody (2E2) - BSA Free

Certificate of Analysis

To download a Certificate of Analysis, please enter a lot number in the search box below.

Product Specific Notices for BST2 Antibody (2E2) - BSA Free

This product is for research use only and is not approved for use in humans or in clinical diagnosis. Primary Antibodies are guaranteed for 1 year from date of receipt.

Loading...
Loading...
Loading...
Loading...
Loading...