BST2 Antibody (120G8.04) - Azide and BSA Free
Novus Biologicals, part of Bio-Techne | Catalog # DDX0390P-100
Key Product Details
Species Reactivity
Validated:
Human, Mouse
Cited:
Human, Mouse
Applications
Validated:
Immunohistochemistry, Immunohistochemistry-Paraffin, Immunohistochemistry-Frozen, Immunohistochemistry Free-Floating, Block/Neutralize, Flow Cytometry, Immunocytochemistry/ Immunofluorescence, Immunoprecipitation, In vivo assay
Cited:
Immunohistochemistry-Paraffin, Immunohistochemistry Free-Floating, Neutralization, In vivo assay, IF/IHC
Label
Unconjugated
Antibody Source
Monoclonal Rat IgG1 kappa Clone # 120G8.04
Format
Azide and BSA Free
Concentration
0.5 mg/ml
Product Specifications
Immunogen
mouse plasmatocytoid DCs (pDCs)
Reactivity Notes
Human reactivity reported in scientific literature (PMID: 31339007).
Specificity
Mouse pDCs/BST-2/IFN producing cells (IPC) (extracellular domain)
Clonality
Monoclonal
Host
Rat
Isotype
IgG1 kappa
Scientific Data Images for BST2 Antibody (120G8.04) - Azide and BSA Free
Immunocytochemistry/ Immunofluorescence: BST2 Antibody (120G8.04) [DDX0390P-100]
Immunocytochemistry/Immunofluorescence: BST2 Antibody (120G8.04) [DDX0390P-100] - Murine peyer patch: BST-2Immunohistochemistry: BST2 Antibody (120G8.04) [DDX0390P-100]
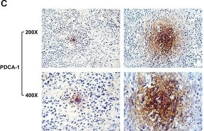
Immunohistochemistry: BST2 Antibody (120G8.04) [DDX0390P-100] - IHC staining of murine spleen cryosectionsFlow Cytometry: BST2 Antibody (120G8.04) [DDX0390P-100]
Flow Cytometry: BST2 Antibody (120G8.04) [DDX0390P-100] - In vivo depletion of mouse PDCs (gated on CD11c+CD3- cells).Applications for BST2 Antibody (120G8.04) - Azide and BSA Free
Application
Recommended Usage
Flow Cytometry
1:10-1:1000
Immunohistochemistry
1:10-1:500
Immunohistochemistry-Paraffin
1:10-1:500
Immunoprecipitation
1:10 - 1:500
Application Notes
Monoclonal antibody 120G8.04 may be used between at 1-10 ug/ml. For pDCs in vivo depletion in Balb /c mice, mAb 120G8 was used between 50-200 ug / injection. Use in Immunohistochemistry free floating reported in scientific literature (PMID: 31207335).
Formulation, Preparation, and Storage
Purification
Ion exchange chromatography
Formulation
Tris-NaCl (pH 8.0)
Format
Azide and BSA Free
Preservative
No Preservative
Concentration
0.5 mg/ml
Shipping
The product is shipped with polar packs. Upon receipt, store it immediately at the temperature recommended below.
Stability & Storage
Store at -20C. Avoid freeze-thaw cycles.
Background: BST-2/Tetherin
Long Name
Bone Marrow Stromal Cell Antigen 2
Alternate Names
BST2, CD317, HM1.24 Antigen, NPC-A-7, Tetherin
Gene Symbol
BST2
Additional BST-2/Tetherin Products
Product Documents for BST2 Antibody (120G8.04) - Azide and BSA Free
Product Specific Notices for BST2 Antibody (120G8.04) - Azide and BSA Free
This product is manufactured by Eurobio Scientific (formerly Dendritics) and distributed by Novus Biologicals.
This product is for research use only and is not approved for use in humans or in clinical diagnosis. Primary Antibodies are guaranteed for 1 year from date of receipt.
Loading...
Loading...
Loading...
Loading...
Loading...