Skip to main content

BRPF1 Antibody - BSA Free

Novus Biologicals, part of Bio-Techne | Catalog # NBP1-88369

Novus Biologicals, part of Bio-Techne
Catalog #
Availability
Size / Price
Qty
Loading...
NBP1-88369
NBP1-88369-25ul

Key Product Details

Validated by

Orthogonal Validation

Species Reactivity

Validated:

Human

Predicted:

Mouse (94%), Rat (94%). Backed by our 100% Guarantee.

Applications

Immunohistochemistry, Immunohistochemistry-Paraffin

Label

Unconjugated

Antibody Source

Polyclonal Rabbit IgG

Format

BSA Free

Concentration

Concentrations vary lot to lot. See vial label for concentration. If unlisted please contact technical services.

Product Specifications

Immunogen

This antibody was developed against Recombinant Protein corresponding to amino acids: SLAGDEATHHTEDAAEEERLVLLENQKHLPVEEQLKLLLERLDEVNASKQSVGRSRRAKMIKKEMTALRRKLAHQRETGRDGPERHGPSSRGSLTPHPAACDKDGQTD

Clonality

Polyclonal

Host

Rabbit

Isotype

IgG

Scientific Data Images for BRPF1 Antibody - BSA Free

BRPF1 Antibody - BSA Free Immunohistochemistry-Paraffin: BRPF1 Antibody - BSA Free [NBP1-88369]

Immunohistochemistry-Paraffin: BRPF1 Antibody - BSA Free [NBP1-88369]

Analysis in human testis and liver tissues using HPA003359 antibody. Corresponding BRPF1 RNA-seq data are presented for the same tissues.
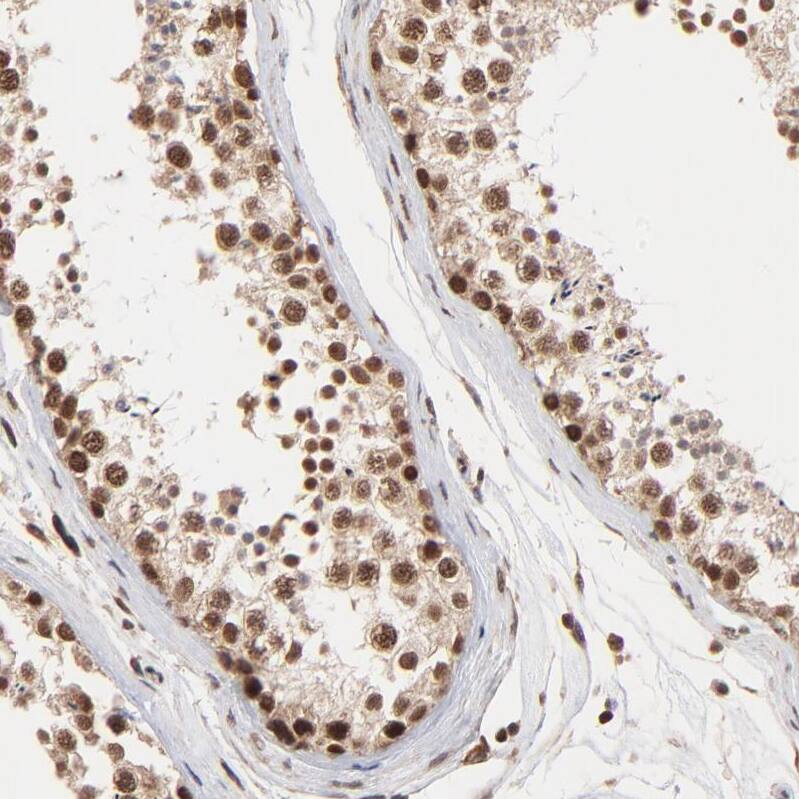
BRPF1 Antibody - BSA Free Immunohistochemistry-Paraffin: BRPF1 Antibody - BSA Free [NBP1-88369]

Immunohistochemistry-Paraffin: BRPF1 Antibody - BSA Free [NBP1-88369]

Staining of human testis shows strong nuclear-cytoplasmic positivity in cells in seminiferous ducts.
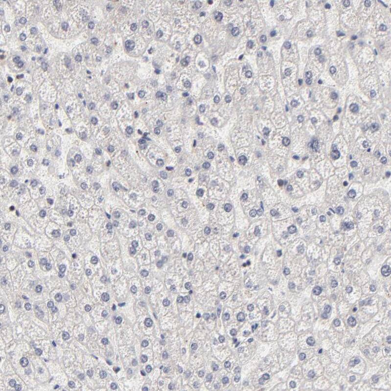
BRPF1 Antibody - BSA Free Immunohistochemistry-Paraffin: BRPF1 Antibody - BSA Free [NBP1-88369]

Immunohistochemistry-Paraffin: BRPF1 Antibody - BSA Free [NBP1-88369]

Staining of human liver shows no positivity in hepatocytes as expected.

Applications for BRPF1 Antibody - BSA Free

Application
Recommended Usage

Immunohistochemistry

1:200 - 1:500

Immunohistochemistry-Paraffin

1:200 - 1:500
Application Notes
For IHC-Paraffin, HIER pH 6 retrieval is recommended.

Formulation, Preparation, and Storage

Purification

Affinity purified

Formulation

PBS (pH 7.2) and 40% Glycerol

Format

BSA Free

Preservative

0.02% Sodium Azide

Concentration

Concentrations vary lot to lot. See vial label for concentration. If unlisted please contact technical services.

Shipping

The product is shipped with polar packs. Upon receipt, store it immediately at the temperature recommended below.

Stability & Storage

Store at 4C short term. Aliquot and store at -20C long term. Avoid freeze-thaw cycles.

Background: BRPF1

BRPF1 is encoded by this gene is expressed ubiquitously and at the highest level in testes and spermatogonia. The protein is localized within nuclei, and it is very similar in structure to two zinc finger proteins, AF10 and AF17. It is suggested that these proteins form a family of regulatory proteins. Two alternatively spliced transcript variants encoding different isoforms have been found for this gene. [provided by RefSeq]

Long Name

Peregrin

Alternate Names

BR140, Protein Br140

Gene Symbol

BRPF1

Additional BRPF1 Products

Product Documents for BRPF1 Antibody - BSA Free

Certificate of Analysis

To download a Certificate of Analysis, please enter a lot number in the search box below.

Product Specific Notices for BRPF1 Antibody - BSA Free

This product is for research use only and is not approved for use in humans or in clinical diagnosis. Primary Antibodies are guaranteed for 1 year from date of receipt.

Loading...
Loading...
Loading...
Loading...