Skip to main content

Brg1 Antibody

Novus Biologicals, part of Bio-Techne | Catalog # NB100-2594

Novus Biologicals, part of Bio-Techne
Catalog #
Availability
Size / Price
Qty
Loading...
NB100-2594

Key Product Details

Validated by

Independent Antibodies

Species Reactivity

Validated:

Human, Mouse

Cited:

Human, Mouse

Applications

Validated:

Immunohistochemistry, Immunohistochemistry-Paraffin, Western Blot, Immunoprecipitation, Chromatin Immunoprecipitation (ChIP)

Cited:

Western Blot, Immunoprecipitation, Chemotaxis

Label

Unconjugated

Antibody Source

Polyclonal Rabbit IgG

Concentration

0.2 mg/ml

Product Specifications

Immunogen

The immunogen recognized by this antibody maps to a region between residue 75 and 125 of human BRG1/SMARCA4 using the numbering given in entry NP_003063.2 (GeneID 6597).

Clonality

Polyclonal

Host

Rabbit

Isotype

IgG

Description

Novus Biologicals Rabbit Brg1 Antibody (NB100-2594) is a polyclonal antibody validated for use in IHC, WB, IP and ChIP. Anti-Brg1 Antibody: Cited in 5 publications. All Novus Biologicals antibodies are covered by our 100% guarantee.

Scientific Data Images for Brg1 Antibody

Western Blot: Brg1 Antibody [NB100-2594]

Western Blot: Brg1 Antibody [NB100-2594]

Western Blot: Brg1 Antibody [NB100-2594] - Whole cell lysate (15 ug) from HeLa, HEK293T, and Jurkat cells prepared using NETN lysis buffer. Antibody: Affinity purified rabbit anti-BRG1/SMARCA4 antibodyused for WB at 0.1 ug/ml. Detection: Chemiluminescence with an exposure time of 30seconds.
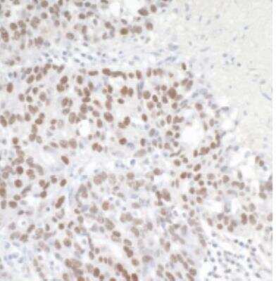
Immunohistochemistry-Paraffin: Brg1 Antibody [NB100-2594]

Immunohistochemistry-Paraffin: Brg1 Antibody [NB100-2594]

Immunohistochemistry-Paraffin: Brg1 Antibody [NB100-2594] - Section of human ovarian carcinoma. Antibody: Affinity purified rabbit antiBRG1/SMARCA4 used at a dilution of 1:1,000 (0.2ug/ml). Detection: DAB
Western Blot: Brg1 Antibody [NB100-2594]

Western Blot: Brg1 Antibody [NB100-2594]

Western Blot: Brg1 Antibody [NB100-2594] - Whole cell lysate (15 ug) from NIH 3T3 cells prepared using NETN lysis buffer. Antibody: Affinity purified rabbit anti-BRG1/SMARCA4 antibody used for WB at 0.1 ug/ml. Detection: Chemiluminescence with an exposure time of 3 minutes.

Applications for Brg1 Antibody

Application
Recommended Usage

Chromatin Immunoprecipitation (ChIP)

1:10-1:500

Immunohistochemistry

1:250-1:2000

Immunohistochemistry-Paraffin

1:250 - 1:2000

Immunoprecipitation

2-5 ug/mg lysate

Western Blot

1:2000-1:10000
Application Notes
Use in chromatin immunoprecipitation reported in scientific literature (PMID 24335282). Epitope retrieval with citrate buffer pH6.0 is recommended for FFPE tissue sections.

Formulation, Preparation, and Storage

Purification

Immunogen affinity purified

Formulation

TBS and 0.1% BSA

Preservative

0.09% Sodium Azide

Concentration

0.2 mg/ml

Shipping

The product is shipped with polar packs. Upon receipt, store it immediately at the temperature recommended below.

Stability & Storage

Store at 4C. Do not freeze.

Background: Brg1

The protein encoded by this gene is a member of the SWI/SNF family of proteins and is similar to the brahma protein of Drosophila. Members of this family have helicase and ATPase activities and are thought to regulate transcription of certain genes by altering the chromatin structure around those genes. The encoded protein is part of the large ATP-dependent chromatin remodeling complex SNF/SWI, which is required for transcriptional activation of genes normally repressed by chromatin. In addition, this protein can bind BRCA1, as well as regulate the expression of the tumorigenic protein CD44. Alternatively spliced transcripts have been found for this gene, but their full-length natures have not been determined.

Long Name

BRM/SWI2-related gene 1

Alternate Names

SMARCA4, SNF2, SNF2-beta, SNF2L4, SNF2LB, SWI2

Entrez Gene IDs

6597 (Human); 20586 (Mouse)

Gene Symbol

SMARCA4

UniProt

Additional Brg1 Products

Product Documents for Brg1 Antibody

Certificate of Analysis

To download a Certificate of Analysis, please enter a lot number in the search box below.

Product Specific Notices for Brg1 Antibody

This product is for research use only and is not approved for use in humans or in clinical diagnosis. Primary Antibodies are guaranteed for 1 year from date of receipt.

Loading...
Loading...
Loading...
Loading...