Skip to main content

Brg1 Antibody (SN20-03)

Novus Biologicals, part of Bio-Techne | Catalog # NBP2-74964

Recombinant Monoclonal Antibody
Novus Biologicals, part of Bio-Techne
Catalog #
Availability
Size / Price
Qty
Loading...
NBP2-74964-1.0ml

Key Product Details

Species Reactivity

Human, Mouse, Rat

Applications

Immunohistochemistry, Immunohistochemistry-Paraffin, Immunohistochemistry-Frozen, Western Blot, Flow Cytometry, Immunocytochemistry/ Immunofluorescence, Immunoprecipitation

Label

Unconjugated

Antibody Source

Recombinant Monoclonal Rabbit IgG Clone # SN20-03 expressed in HEK293

Concentration

1 mg/ml

Product Specifications

Immunogen

Synthetic peptide within human Brg1 aa 240-280. (SwissProt: P51532 Human; SwissProt: Q3TKT4 Mouse; SwissProt: Q8K1P7 Rat)

Localization

Nucleus.

Clonality

Monoclonal

Host

Rabbit

Isotype

IgG

Description

Novus Biologicals Rabbit Brg1 Antibody (SN20-03) (NBP2-67720) is a recombinant monoclonal antibody validated for use in IHC, WB, Flow, ICC/IF and IP. All Novus Biologicals antibodies are covered by our 100% guarantee.

Scientific Data Images for Brg1 Antibody (SN20-03)

Western Blot: Brg1 Antibody (SN20-03) [NBP2-74964]

Western Blot: Brg1 Antibody (SN20-03) [NBP2-74964]

Western Blot: Brg1 Antibody (SN20-03) - BSA Free [NBP2-74964] - Analysis of BRG1 on different lysates using anti-BRG1 antibody at 1/1,000 dilution. Positive control: Lane 1: Jurkat Lane 2: HepG2
Immunocytochemistry/ Immunofluorescence: Brg1 Antibody (SN20-03) [NBP2-74964]

Immunocytochemistry/ Immunofluorescence: Brg1 Antibody (SN20-03) [NBP2-74964]

Immunocytochemistry/Immunofluorescence: Brg1 Antibody (SN20-03) - BSA Free [NBP2-74964] - Staining BRG1 in RH-35 cells (green). The nuclear counter stain is DAPI (blue). Cells were fixed in paraformaldehyde, permeabilized with 0.25% Triton X100/PBS.
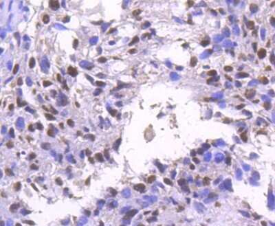
Immunohistochemistry: Brg1 Antibody (SN20-03) [NBP2-74964]

Immunohistochemistry: Brg1 Antibody (SN20-03) [NBP2-74964]

Immunohistochemistry: Brg1 Antibody (SN20-03) - BSA Free [NBP2-74964] - Analysis of paraffin-embedded mouse colon tissue using anti-BRG1 antibody. Counter stained with hematoxylin.

Applications for Brg1 Antibody (SN20-03)

Application
Recommended Usage

Flow Cytometry

1:1000

Immunocytochemistry/ Immunofluorescence

1:50-1:200

Immunohistochemistry

1:10 - 1:500

Immunohistochemistry-Frozen

1:100

Immunohistochemistry-Paraffin

1:50-1:1000

Western Blot

1:1000-1:5000

Formulation, Preparation, and Storage

Purification

Protein A purified

Formulation

TBS (pH7.4), 0.05% BSA, 40% Glycerol

Preservative

0.05% Sodium Azide

Concentration

1 mg/ml

Shipping

The product is shipped with polar packs. Upon receipt, store it immediately at the temperature recommended below.

Stability & Storage

Store at 4C short term. Aliquot and store at -20C long term. Avoid freeze-thaw cycles.

Background: Brg1

BRG1 is encoded by this gene is a member of the SWI/SNF family of proteins and is similar to the brahma protein of Drosophila. Members of this family have helicase and ATPase activities and are thought to regulate transcription of certain genes by altering the chromatin structure around those genes. The encoded protein is part of the large ATP-dependent chromatin remodeling complex SNF/SWI, which is required for transcriptional activation of genes normally repressed by chromatin. In addition, this protein can bind BRCA1, as well as regulate the expression of the tumorigenic protein CD44. Alternatively spliced transcripts have been found for this gene, but their full-length natures have not been determined.

Long Name

BRM/SWI2-related gene 1

Alternate Names

SMARCA4, SNF2, SNF2-beta, SNF2L4, SNF2LB, SWI2

Gene Symbol

SMARCA4

Additional Brg1 Products

Product Documents for Brg1 Antibody (SN20-03)

Certificate of Analysis

To download a Certificate of Analysis, please enter a lot number in the search box below.

Product Specific Notices for Brg1 Antibody (SN20-03)

This product is for research use only and is not approved for use in humans or in clinical diagnosis. Primary Antibodies are guaranteed for 1 year from date of receipt.

Loading...
Loading...
Loading...
Loading...
Loading...