Skip to main content

Brg1 Antibody (22F3) - BSA Free

Novus Biologicals, part of Bio-Techne | Catalog # NBP3-26314

Recombinant monoclonal antibody expressed in HEK293F cells
Novus Biologicals, part of Bio-Techne
Catalog #
Availability
Size / Price
Qty
Loading...
NBP3-26314-100ul
NBP3-26314-50ul

Key Product Details

Species Reactivity

Human

Applications

ELISA, Flow Cytometry, Immunocytochemistry/ Immunofluorescence, Immunohistochemistry

Label

Unconjugated

Antibody Source

Recombinant Monoclonal Rabbit IgG Clone # 22F3 expressed in HEK293

Format

BSA Free

Concentration

Please see the vial label for concentration. If unlisted please contact technical services.

Product Specifications

Immunogen

A synthesized peptide derived from Human Brg1 [UniProt P51532]

Clonality

Monoclonal

Host

Rabbit

Isotype

IgG

Description

Novus Biologicals Rabbit Brg1 Antibody (22F3) - BSA Free (NBP3-26314) is a recombinant monoclonal antibody validated for use in IHC, ELISA, Flow and ICC/IF. All Novus Biologicals antibodies are covered by our 100% guarantee.

Scientific Data Images for Brg1 Antibody (22F3) - BSA Free

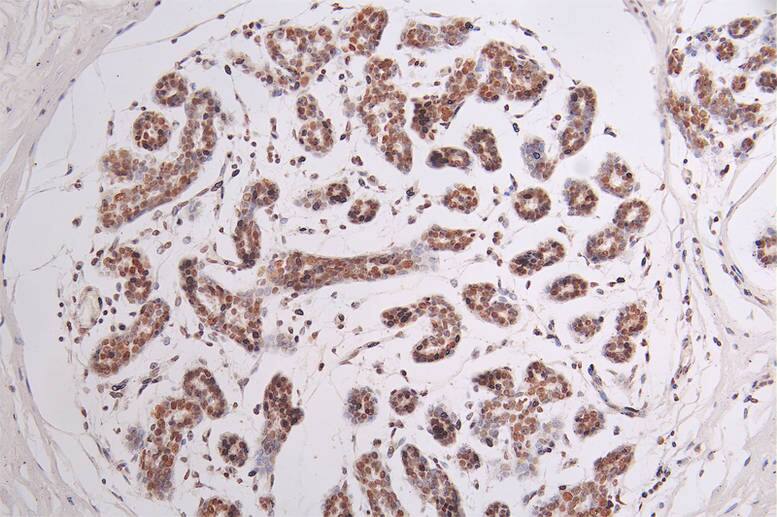
Brg1 Antibody (22F3)

Immunohistochemistry: Brg1 Antibody (22F3) [NBP3-26314] -

Immunohistochemistry: Brg1 Antibody (22F3) [NBP3-26314] - Image of Brg1 Antibody (22F3) diluted at 1:50 and staining in paraffin-embedded human stomach tissue performed. After dewaxing and hydration, antigen retrieval was mediated by high pressure in a citrate buffer (pH 6.0). Section was blocked with 10% normal goat serum 30min at RT. Then primary antibody (1% BSA) was incubated at 4°C overnight. The primary is detected by a Goat anti-rabbit polymer IgG labeled by HRP and visualized using 0.44% DAB.
Brg1 Antibody (22F3)

Immunohistochemistry: Brg1 Antibody (22F3) [NBP3-26314] -

Immunohistochemistry: Brg1 Antibody (22F3) [NBP3-26314] - Image of Brg1 Antibody (22F3) diluted at 1:50 and staining in paraffin-embedded human stomach tissue performed. After dewaxing and hydration, antigen retrieval was mediated by high pressure in a citrate buffer (pH 6.0). Section was blocked with 10% normal goat serum 30min at RT. Then primary antibody (1% BSA) was incubated at 4°C overnight. The primary is detected by a Goat anti-rabbit polymer IgG labeled by HRP and visualized using 0.44% DAB.
Brg1 Antibody (22F3)

Immunocytochemistry/Immunofluorescence: Brg1 Antibody (22F3) [NBP3-26314] -

Immunocytochemistry/Immunofluorescence: Brg1 Antibody (22F3) [NBP3-26314] - Staining of Hela with Brg1 Antibody (22F3) at 1:20, counter-stained with DAPI. The cells were fixed in 4% formaldehyde and blocked in 10% normal Goat Serum. The cells were then incubated with the antibody overnight at 4C. The secondary antibody was Alexa Fluor 511-conjugated Goat Anti-Rabbit IgG (H+L).

Applications for Brg1 Antibody (22F3) - BSA Free

Application
Recommended Usage

Flow Cytometry

1:50-1:200

Immunocytochemistry/ Immunofluorescence

1:50-1:200

Immunohistochemistry

1:50-1:200

Formulation, Preparation, and Storage

Purification

Affinity purified

Formulation

PBS, pH 7.4, 150mM NaCl, and 50% glycerol

Format

BSA Free

Preservative

0.02% Sodium Azide

Concentration

Please see the vial label for concentration. If unlisted please contact technical services.

Shipping

The product is shipped with polar packs. Upon receipt, store it immediately at the temperature recommended below.

Stability & Storage

Store at -20 to -70C. Avoid freeze-thaw cycles.

Background: Brg1

BRG1 is encoded by this gene is a member of the SWI/SNF family of proteins and is similar to the brahma protein of Drosophila. Members of this family have helicase and ATPase activities and are thought to regulate transcription of certain genes by altering the chromatin structure around those genes. The encoded protein is part of the large ATP-dependent chromatin remodeling complex SNF/SWI, which is required for transcriptional activation of genes normally repressed by chromatin. In addition, this protein can bind BRCA1, as well as regulate the expression of the tumorigenic protein CD44. Alternatively spliced transcripts have been found for this gene, but their full-length natures have not been determined.

Long Name

BRM/SWI2-related gene 1

Alternate Names

SMARCA4, SNF2, SNF2-beta, SNF2L4, SNF2LB, SWI2

Gene Symbol

SMARCA4

Additional Brg1 Products

Product Documents for Brg1 Antibody (22F3) - BSA Free

Certificate of Analysis

To download a Certificate of Analysis, please enter a lot number in the search box below.

Product Specific Notices for Brg1 Antibody (22F3) - BSA Free

This product is for research use only and is not approved for use in humans or in clinical diagnosis. Primary Antibodies are guaranteed for 1 year from date of receipt.

Loading...
Loading...
Loading...
Loading...
Loading...