Skip to main content

Brevican Antibody - BSA Free

Novus Biologicals, part of Bio-Techne | Catalog # NBP1-89992

Novus Biologicals, part of Bio-Techne
Catalog #
Availability
Size / Price
Qty
Loading...
NBP1-89992-25ul
NBP1-89992

Key Product Details

Validated by

Orthogonal Validation

Species Reactivity

Human

Applications

Immunohistochemistry, Immunohistochemistry-Paraffin

Label

Unconjugated

Antibody Source

Polyclonal Rabbit IgG

Format

BSA Free

Concentration

Concentrations vary lot to lot. See vial label for concentration. If unlisted please contact technical services.

Product Specifications

Immunogen

This antibody was developed against Recombinant Protein corresponding to amino acids: ACYGDMDGFPGVRNYGVVDPDDLYDVYCYAEDLNGELFLGDPPEKLTLEEARAYCQERGAEIATTGQLYAAWDGGLDHCSPGWLADGSVRYPIVTPSQRCGGGLPGVKTLFLFPNQTGFPNKHSRFNVYCFR

Reactivity Notes

Reactivity reported in scientific literature (PMID: 22901239). Mouse (88%), Rat (89%).

Clonality

Polyclonal

Host

Rabbit

Isotype

IgG

Scientific Data Images for Brevican Antibody - BSA Free

Brevican Antibody - BSA Free Immunohistochemistry-Paraffin: Brevican Antibody - BSA Free [NBP1-89992]

Immunohistochemistry-Paraffin: Brevican Antibody - BSA Free [NBP1-89992]

Analysis in human cerebral cortex and pancreas tissues using NBP1-89992 antibody. Corresponding BCAN RNA-seq data are presented for the same tissues.
Immunohistochemistry-Paraffin: Brevican Antibody [NBP1-89992]

Immunohistochemistry-Paraffin: Brevican Antibody [NBP1-89992]

Immunohistochemistry-Paraffin: Brevican Antibody [NBP1-89992] - Staining of human Cerebral cortex shows strong positivity in neuronal processes in neuropil.
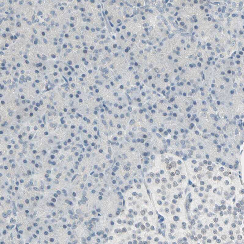
Brevican Antibody - BSA Free Immunohistochemistry-Paraffin: Brevican Antibody - BSA Free [NBP1-89992]

Immunohistochemistry-Paraffin: Brevican Antibody - BSA Free [NBP1-89992]

Staining of human Pancreas shows no positivity in exocrine glandular cells as expected.

Applications for Brevican Antibody - BSA Free

Application
Recommended Usage

Immunohistochemistry

1:200 - 1:500

Immunohistochemistry-Paraffin

1:200 - 1:500
Application Notes
For IHC-Paraffin, HIER pH 6 retrieval is recommended.

Formulation, Preparation, and Storage

Purification

Affinity purified

Formulation

PBS (pH 7.2) and 40% Glycerol

Format

BSA Free

Preservative

0.02% Sodium Azide

Concentration

Concentrations vary lot to lot. See vial label for concentration. If unlisted please contact technical services.

Shipping

The product is shipped with polar packs. Upon receipt, store it immediately at the temperature recommended below.

Stability & Storage

Store at 4C short term. Aliquot and store at -20C long term. Avoid freeze-thaw cycles.

Background: Brevican

BCAN - brevican

Long Name

Brain Specific Proteoglycan in the Aggrecan Family

Alternate Names

ALPBRE, BCAN, BEHAB, CSPG7

Gene Symbol

BCAN

Additional Brevican Products

Product Documents for Brevican Antibody - BSA Free

Certificate of Analysis

To download a Certificate of Analysis, please enter a lot number in the search box below.

Product Specific Notices for Brevican Antibody - BSA Free

This product is for research use only and is not approved for use in humans or in clinical diagnosis. Primary Antibodies are guaranteed for 1 year from date of receipt.

Loading...
Loading...
Loading...
Loading...