Skip to main content

Breast carcinoma amplified sequence 3 Antibody - BSA Free

Novus Biologicals, part of Bio-Techne | Catalog # NBP1-77125

Novus Biologicals, part of Bio-Techne

Key Product Details

Species Reactivity

Human, Mouse, Rat

Applications

Immunohistochemistry, Immunohistochemistry-Paraffin, Western Blot, ELISA, Immunocytochemistry/ Immunofluorescence

Label

Unconjugated

Antibody Source

Polyclonal Rabbit IgG

Format

BSA Free

Concentration

1 mg/ml

Product Specifications

Immunogen

Antibody was raised against an 18 amino acid synthetic peptide near the amino terminus of human BCAS3. The immunogen is located within amino acids 50 - 100 of BCAS3. Amino Acid Squence: FENADLNDTSRNLEFHEI

Clonality

Polyclonal

Host

Rabbit

Isotype

IgG

Scientific Data Images for Breast carcinoma amplified sequence 3 Antibody - BSA Free

Western Blot: Breast carcinoma amplified sequence 3 AntibodyBSA Free [NBP1-77125]

Western Blot: Breast carcinoma amplified sequence 3 AntibodyBSA Free [NBP1-77125]

Western Blot: Breast carcinoma amplified sequence 3 Antibody [NBP1-77125] - Rat brain tissue lysate with BCAS3 antibody at (A) 0.5 and (B) 1 ug/ml.
Breast carcinoma amplified sequence 3 Antibody - BSA Free

Immunocytochemistry/ Immunofluorescence: Breast carcinoma amplified sequence 3 Antibody - BSA Free [NBP1-77125] -

Immunocytochemistry/ Immunofluorescence: Breast carcinoma amplified sequence 3 Antibody - BSA Free [NBP1-77125] - Immunofluorescence of Breast carcinoma amplified sequence 3 in human breast carcinoma tissue with Breast carcinoma amplified sequence 3 antibody at 20 u/mL.
Breast carcinoma amplified sequence 3 Antibody - BSA Free

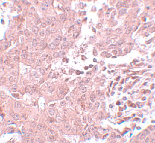
Immunohistochemistry: Breast carcinoma amplified sequence 3 Antibody - BSA Free [NBP1-77125] -

Immunohistochemistry: Breast carcinoma amplified sequence 3 Antibody - BSA Free [NBP1-77125] - Immunohistochemistry of Breast carcinoma amplified sequence 3 in human breast carcinoma with Breast carcinoma amplified sequence 3 antibody at 5 ug/mL.

Applications for Breast carcinoma amplified sequence 3 Antibody - BSA Free

Application
Recommended Usage

ELISA

1:100-1:2000

Immunocytochemistry/ Immunofluorescence

20 ug/ml

Immunohistochemistry

5 ug/ml

Immunohistochemistry-Paraffin

5 ug/ml

Western Blot

0.5-1 ug/ml

Formulation, Preparation, and Storage

Purification

Peptide affinity purified

Formulation

PBS

Format

BSA Free

Preservative

0.02% Sodium Azide

Concentration

1 mg/ml

Shipping

The product is shipped with polar packs. Upon receipt, store it immediately at the temperature recommended below.

Stability & Storage

Store at 4C short term. Aliquot and store at -20C long term. Avoid freeze-thaw cycles.

Background: Breast carcinoma amplified sequence 3

The Breast carcinoma amplified sequence (BCAS3) gene is localized to 17q23, a region that is often amplified in breast cancers. Copy number gains at this region have also been reported in other tumors such as brain, lung, liver, testis and bladder. BCAS3 is thought to be an estrogen receptor (ER)-alpha co-activator that acts through PELP1, another ER-alpha that in turn activates BCAS3 expression. This may set up a positive feedback loop leading to ER-a signal amplification in the cell which may play a significant role in breast cancer. BCAS3 expression has also been observed in embryonic stem cells and vascular precursors, suggesting that it may also play a role in embryogenesis and tumor angiogenesis.

Alternate Names

BCAS4/BCAS3 fusion, breast carcinoma amplified sequence 3, breast carcinoma amplified sequence 4/3 fusion protein, breast carcinoma-amplified sequence 3, DKFZp686O1527, FLJ20128, GAOB1, MAAB, metastasis associated antigen of breast cancer, MGC4973, protein Maab1

Gene Symbol

BCAS3

Additional Breast carcinoma amplified sequence 3 Products

Product Documents for Breast carcinoma amplified sequence 3 Antibody - BSA Free

Certificate of Analysis

To download a Certificate of Analysis, please enter a lot number in the search box below.

Product Specific Notices for Breast carcinoma amplified sequence 3 Antibody - BSA Free

This product is for research use only and is not approved for use in humans or in clinical diagnosis. Primary Antibodies are guaranteed for 1 year from date of receipt.

Loading...
Loading...
Loading...
Loading...