Skip to main content

BRD7 Antibody - BSA Free

Novus Biologicals, part of Bio-Techne | Catalog # NBP2-87080

Novus Biologicals, part of Bio-Techne
Catalog #
Availability
Size / Price
Qty
Loading...
NBP2-87080

Key Product Details

Species Reactivity

Human

Applications

Immunohistochemistry, Immunohistochemistry-Paraffin, Western Blot

Label

Unconjugated

Antibody Source

Polyclonal Rabbit

Format

BSA Free

Concentration

0.5 mg/ml

Product Specifications

Immunogen

The immunogen is a synthetic peptide directed towards the C-terminal region of human BRD7. Peptide sequence: KELAQQVTPGDIVSTYGVRKAMGISIPSPVMENNFVDLTEDTEEPKKTDV The peptide sequence for this immunogen was taken from within the described region.

Clonality

Polyclonal

Host

Rabbit

Description

Novus Biologicals Rabbit BRD7 Antibody - BSA Free (NBP2-87080) is a polyclonal antibody validated for use in IHC and WB. All Novus Biologicals antibodies are covered by our 100% guarantee.

Scientific Data Images for BRD7 Antibody - BSA Free

Western Blot: BRD7 Antibody [NBP2-87080]

Western Blot: BRD7 Antibody [NBP2-87080]

Western Blot: BRD7 Antibody [NBP2-87080] - WB Suggested Anti-BRD7 Antibody Titration: 0.2-1 ug/ml. Positive Control: Jurkat cell lysateBRD7 is supported by BioGPS gene expression data to be expressed in Jurkat
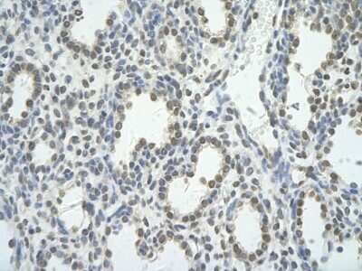
Immunohistochemistry-Paraffin: BRD7 Antibody [NBP2-87080]

Immunohistochemistry-Paraffin: BRD7 Antibody [NBP2-87080]

Immunohistochemistry-Paraffin: BRD7 Antibody [NBP2-87080] - Rabbit Anti-BRD7 antibody. Paraffin Embedded Tissue: Human Lung. Cellular Data: alveolar cell. Antibody Concentration: 4.0-8.0 ug/ml. Magnification: 400X
Western Blot: BRD7 Antibody [NBP2-87080]

Western Blot: BRD7 Antibody [NBP2-87080]

Western Blot: BRD7 Antibody [NBP2-87080] - Host: Rabbit. Target Name: BRD7. Sample Type: Jurkat. Lane A: Primary Antibody. Lane B: Primary Antibody + Blocking Peptide. Primary Antibody Concentration: 2.5ug/mL. Peptide Concentration: 2.0ug/mL. Lysate Quantity: 25ug/lane. Gel Concentration: 12%BRD7

Applications for BRD7 Antibody - BSA Free

Application
Recommended Usage

Western Blot

1.0 ug/ml

Formulation, Preparation, and Storage

Purification

Affinity purified

Formulation

PBS, 2% Sucrose

Format

BSA Free

Preservative

0.09% Sodium Azide

Concentration

0.5 mg/ml

Shipping

The product is shipped with polar packs. Upon receipt, store it immediately at the temperature recommended below.

Stability & Storage

Store at 4C short term. Aliquot and store at -20C long term. Avoid freeze-thaw cycles.

Background: BRD7

Bromodomain-containing protein 7 was identified in a two-hybrid screen as an interactor of interferon regulatory factor-2 (IRF-2) and called CELTIX1. BRD7 was also identified as a binding partner of disheveled-1 (Dvl-1) and found to play a role in Wnt signaling and the regulation of glycogen synthase kinase 3-beta activity. Recently, BRD7 was identified as a subunit of the polybromo-associated BRG1-associated factor (PBAF) complex and shown to be required for the modulation of transcription in embryonic stem cells.

Long Name

Bromodomain Containing 7

Alternate Names

BP75, CELTIX1, NAG4

Gene Symbol

BRD7

Additional BRD7 Products

Product Documents for BRD7 Antibody - BSA Free

Certificate of Analysis

To download a Certificate of Analysis, please enter a lot number in the search box below.

Product Specific Notices for BRD7 Antibody - BSA Free

This product is for research use only and is not approved for use in humans or in clinical diagnosis. Primary Antibodies are guaranteed for 1 year from date of receipt.

Loading...
Loading...
Loading...
Loading...