Skip to main content

BRD4 Antibody (7L7M8)

Novus Biologicals, part of Bio-Techne | Catalog # NBP3-15452

Recombinant Monoclonal Antibody
Novus Biologicals, part of Bio-Techne
Catalog #
Availability
Size / Price
Qty
Loading...
NBP3-15452-20ul
NBP3-15452-100ul

Key Product Details

Species Reactivity

Human

Applications

Immunohistochemistry, Immunohistochemistry-Paraffin, Western Blot, ELISA

Label

Unconjugated

Antibody Source

Recombinant Monoclonal Rabbit IgG Clone # 7L7M8 expressed in HEK293

Concentration

Please see the vial label for concentration. If unlisted please contact technical services.

Product Specifications

Immunogen

A synthetic peptide corresponding to a sequence within amino acids 100-200 of human BRD4 (O60885). IIKTPMDMGTIKKRLENNYYWNAQECIQDFNTMFTNCYIYNKPGDDIVLMAEALEKLFLQKINELPTEETEIMIVQAKGRGRGRKETGTAKPGVSTVPNTT

Clonality

Monoclonal

Host

Rabbit

Isotype

IgG

Theoretical MW

152 kDa.
Disclaimer note: The observed molecular weight of the protein may vary from the listed predicted molecular weight due to post translational modifications, post translation cleavages, relative charges, and other experimental factors.

Scientific Data Images for BRD4 Antibody (7L7M8)

Western Blot: BRD4 Antibody (7L7M8) [NBP3-15452]

Western Blot: BRD4 Antibody (7L7M8) [NBP3-15452]

Western Blot: BRD4 Antibody (7L7M8) [NBP3-15452] - Western blot analysis of extracts of various cell lines, using BRD4 Rabbit mAb (NBP3-15452) at 1:1000 dilution. Secondary antibody: HRP Goat Anti-Rabbit IgG (H+L) at 1:10000 dilution. Lysates/proteins: 25ug per lane. Blocking buffer: 3% nonfat dry milk in TBST. Detection: ECL Basic Kit. Exposure time: 30s.
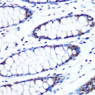
Immunohistochemistry-Paraffin: BRD4 Antibody (7L7M8) [NBP3-15452]

Immunohistochemistry-Paraffin: BRD4 Antibody (7L7M8) [NBP3-15452]

Immunohistochemistry-Paraffin: BRD4 Antibody (7L7M8) [NBP3-15452] - Immunohistochemistry of paraffin-embedded human colon using BRD4 Rabbit mAb (NBP3-15452) at dilution of 1:100 (40x lens).Perform microwave antigen retrieval with 10 mM PBS buffer pH 7.2 before commencing with IHC staining protocol.

Applications for BRD4 Antibody (7L7M8)

Application
Recommended Usage

ELISA

Recommended starting concentration is 1 μg/mL.

Immunohistochemistry

1:50 - 1:200

Western Blot

1:500 - 1:2000

Formulation, Preparation, and Storage

Purification

Affinity purified

Formulation

PBS (pH 7.3), 50% glycerol, 0.05% BSA

Preservative

0.02% Sodium Azide

Concentration

Please see the vial label for concentration. If unlisted please contact technical services.

Shipping

The product is shipped with polar packs. Upon receipt, store it immediately at the temperature recommended below.

Stability & Storage

Store at -20C. Avoid freeze-thaw cycles.

Background: BRD4

BRD4 is encoded by this gene is homologous to the murine protein MCAP, which associates with chromosomes during mitosis, and to the human RING3 protein, a serine/threonine kinase. Each of these proteins contains two bromodomains, a conserved sequence motif which may be involved in chromatin targeting. This gene has been implicated as the chromosome 19 target of translocation t(15;19)(q13;p13.1), which defines an upper respiratory tract carcinoma in young people. Two alternatively spliced transcript variants have been described. [provided by RefSeq]

Long Name

Bromodomain Containing 4

Alternate Names

HUNK1, HUNKI, MCAP

Gene Symbol

BRD4

Additional BRD4 Products

Product Documents for BRD4 Antibody (7L7M8)

Certificate of Analysis

To download a Certificate of Analysis, please enter a lot number in the search box below.

Product Specific Notices for BRD4 Antibody (7L7M8)

This product is for research use only and is not approved for use in humans or in clinical diagnosis. Primary Antibodies are guaranteed for 1 year from date of receipt.

Loading...
Loading...
Loading...
Loading...