Skip to main content

BRD4 Antibody (1E5) - BSA Free

Novus Biologicals, part of Bio-Techne | Catalog # NBP3-26475

Recombinant monoclonal antibody expressed in HEK293F cells
Novus Biologicals, part of Bio-Techne
Catalog #
Availability
Size / Price
Qty
Loading...
NBP3-26475-100ul
NBP3-26475-50ul

Key Product Details

Species Reactivity

Human

Applications

ELISA, Immunohistochemistry, Western Blot

Label

Unconjugated

Antibody Source

Recombinant Monoclonal Rabbit IgG Clone # 1E5 expressed in HEK293

Format

BSA Free

Concentration

Please see the vial label for concentration. If unlisted please contact technical services.

Product Specifications

Immunogen

A synthesized peptide derived from Human BRD4 [UniProt O60885]

Clonality

Monoclonal

Host

Rabbit

Isotype

IgG

Description

Novus Biologicals Rabbit BRD4 Antibody (1E5) - BSA Free (NBP3-26475) is a recombinant monoclonal antibody validated for use in IHC, WB and ELISA. All Novus Biologicals antibodies are covered by our 100% guarantee.

Scientific Data Images for BRD4 Antibody (1E5) - BSA Free

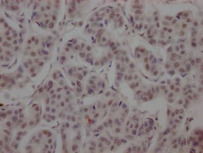
BRD4 Antibody (1E5)

Immunohistochemistry: BRD4 Antibody (1E5) [NBP3-26475] -

Immunohistochemistry: BRD4 Antibody (1E5) [NBP3-26475] - Image of BRD4 Antibody (1E5) diluted at 1:100 and staining in paraffin-embedded human brain tissue performed. After dewaxing and hydration, antigen retrieval was mediated by high pressure in a citrate buffer (pH 6.0). Section was blocked with 10% normal goat serum 30min at RT. Then primary antibody (1% BSA) was incubated at 4C overnight. The primary is detected by a Goat anti-rabbit IgG polymer labeled by HRP and visualized using 0.05% DAB.
BRD4 Antibody (1E5)

Immunohistochemistry: BRD4 Antibody (1E5) [NBP3-26475] -

Immunohistochemistry: BRD4 Antibody (1E5) [NBP3-26475] - Image of BRD4 Antibody (1E5) diluted at 1:100 and staining in paraffin-embedded human brain tissue performed. After dewaxing and hydration, antigen retrieval was mediated by high pressure in a citrate buffer (pH 6.0). Section was blocked with 10% normal goat serum 30min at RT. Then primary antibody (1% BSA) was incubated at 4C overnight. The primary is detected by a Goat anti-rabbit IgG polymer labeled by HRP and visualized using 0.05% DAB.
BRD4 Antibody (1E5)

Western Blot: BRD4 Antibody (1E5) [NBP3-26475] -

Western Blot: BRD4 Antibody (1E5) [NBP3-26475] - Positive Western Blot detected in: Hela whole cell lysate, 293T whole cell lysate, HepG2 whole cell lysate, A549 whole cell lysate.
All lanes: BRD4 Antibody at 1: 1500
Secondary: Goat polyclonal to rabbit IgG at 1/50000 dilution.
Predicted band size: 153, 81, 89 kDa
Observed band size: 153 kDa

Applications for BRD4 Antibody (1E5) - BSA Free

Application
Recommended Usage

Immunohistochemistry

1:50-1:200

Western Blot

1:500-1:5000

Formulation, Preparation, and Storage

Purification

Affinity purified

Formulation

PBS, pH 7.4, 150mM NaCl, and 50% glycerol

Format

BSA Free

Preservative

0.02% Sodium Azide

Concentration

Please see the vial label for concentration. If unlisted please contact technical services.

Shipping

The product is shipped with polar packs. Upon receipt, store it immediately at the temperature recommended below.

Stability & Storage

Store at -20 to -70C. Avoid freeze-thaw cycles.

Background: BRD4

BRD4 is encoded by this gene is homologous to the murine protein MCAP, which associates with chromosomes during mitosis, and to the human RING3 protein, a serine/threonine kinase. Each of these proteins contains two bromodomains, a conserved sequence motif which may be involved in chromatin targeting. This gene has been implicated as the chromosome 19 target of translocation t(15;19)(q13;p13.1), which defines an upper respiratory tract carcinoma in young people. Two alternatively spliced transcript variants have been described. [provided by RefSeq]

Long Name

Bromodomain Containing 4

Alternate Names

HUNK1, HUNKI, MCAP

Gene Symbol

BRD4

Additional BRD4 Products

Product Documents for BRD4 Antibody (1E5) - BSA Free

Certificate of Analysis

To download a Certificate of Analysis, please enter a lot number in the search box below.

Product Specific Notices for BRD4 Antibody (1E5) - BSA Free

This product is for research use only and is not approved for use in humans or in clinical diagnosis. Primary Antibodies are guaranteed for 1 year from date of receipt.

Loading...
Loading...
Loading...
Loading...