BRCA1 Antibody (8F7) - Azide and BSA Free
Novus Biologicals, part of Bio-Techne | Catalog # NBP1-41186
Key Product Details
Validated by
Knockout/Knockdown
Species Reactivity
Validated:
Human, Mouse
Cited:
Human, Mouse
Applications
Validated:
Immunohistochemistry, Immunohistochemistry-Paraffin, Western Blot, Immunoprecipitation
Cited:
Immunohistochemistry, Western Blot, IF/IHC
Label
Unconjugated
Antibody Source
Monoclonal Mouse IgG1 Clone # 8F7
Format
Azide and BSA Free
Concentration
Concentrations vary lot to lot. See vial label for concentration. If unlisted please contact technical services.
Product Specifications
Immunogen
Protein fragment expressed in E. coli corresponding to amino acids 341-748.
Reactivity Notes
Please note that this antibody is reactive to Mouse and derived from the same host, Mouse. Mouse-On-Mouse blocking reagent may be needed for IHC and ICC experiments to reduce high background signal. You can find these reagents under catalog numbers PK-2200-NB and MP-2400-NB. Please contact Technical Support if you have any questions.
Localization
Nuclear/Cytoplasmic
Clonality
Monoclonal
Host
Mouse
Isotype
IgG1
Theoretical MW
208 kDa.
Disclaimer note: The observed molecular weight of the protein may vary from the listed predicted molecular weight due to post translational modifications, post translation cleavages, relative charges, and other experimental factors.
Disclaimer note: The observed molecular weight of the protein may vary from the listed predicted molecular weight due to post translational modifications, post translation cleavages, relative charges, and other experimental factors.
Description
Novus Biologicals Mouse BRCA1 Antibody (8F7) - Azide and BSA Free (NBP1-41186) is a monoclonal antibody validated for use in IHC, WB and IP. Anti-BRCA1 Antibody: Cited in 10 publications. All Novus Biologicals antibodies are covered by our 100% guarantee.
Scientific Data Images for BRCA1 Antibody (8F7) - Azide and BSA Free
Western Blot: BRCA1 Antibody (8F7) [NBP1-41186]
Western Blot: BRCA1 Antibody (8F7) [NBP1-41186] - Non-transfected (-) and transfected (+) 293T whole cell extracts (60 ug) were separated by 5% SDS-PAGE, and the membrane was blotted with BRCA1 antibody [8F7]. HRP-conjugated anti-mouse IgG antibody was used to detect the primary antibody.Immunohistochemistry: BRCA1 Antibody (8F7) [NBP1-41186]
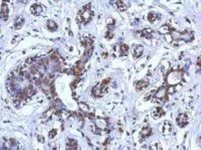
Immunohistochemistry: BRCA1 Antibody (8F7) [NBP1-41186] - Paraffin-embedded Breast ca, using BRCA1 antibody at 1:200 dilution.Western Blot: BRCA1 Antibody (8F7) [NBP1-41186] -
Western Blot: BRCA1 Antibody (8F7) [NBP1-41186] - Various whole cell extracts (30 ug) were separated by 5% SDS-PAGE, and the membrane was blotted with BRCA1 antibody [8F7] diluted at 1:500. The HRP-conjugated anti-mouse IgG antibody (NBP2-19382 was used to detect the primary antibody, and the signal was developed with Trident ECL plus-Enhanced.Applications for BRCA1 Antibody (8F7) - Azide and BSA Free
Application
Recommended Usage
Immunohistochemistry
Assay dependent
Immunohistochemistry-Paraffin
Assay dependent
Immunoprecipitation
Assay dependent
Western Blot
1:500-1:3000
Application Notes
Perform heat mediated antigen retrieval before commencing with IHC staining protocol (0.1 M citrate buffer at 95C in water bath for 20 min). Avoid nonspecific binding by incubating in normal rabbit anti-mouse serum. Incubate primary antibody overnight and use a biotin-streptavidin amplification kit. Block endogenous peroxidase with 0.3% H2O2 for 30 minutes.
Formulation, Preparation, and Storage
Purification
Protein G purified
Formulation
PBS
Format
Azide and BSA Free
Preservative
No Preservative
Concentration
Concentrations vary lot to lot. See vial label for concentration. If unlisted please contact technical services.
Shipping
The product is shipped with polar packs. Upon receipt, store it immediately at the temperature recommended below.
Stability & Storage
Store at 4C short term. Aliquot and store at -20C long term. Avoid freeze-thaw cycles.
Background: BRCA1
Long Name
Breast Cancer 1
Alternate Names
BRCAI, breast and ovarian cancer susceptibility protein 1, breast and ovarian cancer sususceptibility protein, breast cancer 1, early onset, breast cancer type 1 susceptibility protein, EC 6.3.2, EC 6.3.2.-, IRIS, PNCA4, PSCP, subunit 1
Entrez Gene IDs
672 (Human)
Gene Symbol
BRCA1
UniProt
Additional BRCA1 Products
Product Documents for BRCA1 Antibody (8F7) - Azide and BSA Free
Product Specific Notices for BRCA1 Antibody (8F7) - Azide and BSA Free
This product is for research use only and is not approved for use in humans or in clinical diagnosis. Primary Antibodies are guaranteed for 1 year from date of receipt.
Loading...
Loading...
Loading...
Loading...