Skip to main content

BPIL1 Antibody - BSA Free

Novus Biologicals, part of Bio-Techne | Catalog # NBP2-38887

Novus Biologicals, part of Bio-Techne
Catalog #
Availability
Size / Price
Qty
Loading...
NBP2-38887
NBP2-38887-25ul

Key Product Details

Validated by

Orthogonal Validation, Independent Antibodies

Species Reactivity

Human

Applications

Immunohistochemistry, Immunohistochemistry-Paraffin

Label

Unconjugated

Antibody Source

Polyclonal Rabbit IgG

Format

BSA Free

Concentration

Concentrations vary lot to lot. See vial label for concentration. If unlisted please contact technical services.

Product Specifications

Immunogen

This antibody was developed against a recombinant protein corresponding to amino acids: FVLPRHVGTEGSMATVGLSQQLFDSALLLLQKAGALNLDITGQLRSDDNLLNTSALGRLIPEVARQFPEP

Clonality

Polyclonal

Host

Rabbit

Isotype

IgG

Description

Novus Biologicals Rabbit BPIL1 Antibody - BSA Free (NBP2-38887) is a polyclonal antibody validated for use in IHC. All Novus Biologicals antibodies are covered by our 100% guarantee.

Scientific Data Images for BPIL1 Antibody - BSA Free

Immunohistochemistry-Paraffin: BPIL1 Antibody [NBP2-38887]

Immunohistochemistry-Paraffin: BPIL1 Antibody [NBP2-38887]

Immunohistochemistry-Paraffin: BPIL1 Antibody [NBP2-38887] - Staining in human salivary gland and liver tissues using anti-BPIFB2 antibody. Corresponding BPIFB2 RNA-seq data are presented for the same tissues.
Immunohistochemistry-Paraffin: BPIL1 Antibody [NBP2-38887]

Immunohistochemistry-Paraffin: BPIL1 Antibody [NBP2-38887]

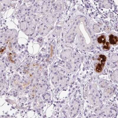
Immunohistochemistry-Paraffin: BPIL1 Antibody [NBP2-38887] - Staining of human colon, kidney, liver and salivary gland using Anti-BPIFB2 antibody NBP2-38887 (A) shows similar protein distribution across tissues to independent antibody NBP2-14358 (B).
Immunohistochemistry-Paraffin: BPIL1 Antibody [NBP2-38887]

Immunohistochemistry-Paraffin: BPIL1 Antibody [NBP2-38887]

Immunohistochemistry-Paraffin: BPIL1 Antibody [NBP2-38887] - Staining of human colon.

Applications for BPIL1 Antibody - BSA Free

Application
Recommended Usage

Immunohistochemistry

1:200 - 1:500

Immunohistochemistry-Paraffin

1:200 - 1:500
Application Notes
For IHC-Paraffin, HIER pH 6 retrieval is recommended.

Formulation, Preparation, and Storage

Purification

Affinity purified

Formulation

PBS (pH 7.2) and 40% Glycerol

Format

BSA Free

Preservative

0.02% Sodium Azide

Concentration

Concentrations vary lot to lot. See vial label for concentration. If unlisted please contact technical services.

Shipping

The product is shipped with polar packs. Upon receipt, store it immediately at the temperature recommended below.

Stability & Storage

Store at 4C short term. Aliquot and store at -20C long term. Avoid freeze-thaw cycles.

Background: BPIL1

The BPIL1 gene encodes a member of the lipid transfer/lipopolysaccharide binding protein (LT/LBP) gene family. It is highly expressed in hypertrophic tonsils. This gene and three other members of the LT/LBP gene family form a cluster on the long arm of chromos

Alternate Names

bactericidal/permeability-increasing protein-like 1, C20orf184, Long palate, lung and nasal epithelium carcinoma-associated protein 2, LPLUNC2dJ726C3.2, RYSR

Gene Symbol

BPIFB2

UniProt

Additional BPIL1 Products

Product Documents for BPIL1 Antibody - BSA Free

Certificate of Analysis

To download a Certificate of Analysis, please enter a lot number in the search box below.

Product Specific Notices for BPIL1 Antibody - BSA Free

This product is for research use only and is not approved for use in humans or in clinical diagnosis. Primary Antibodies are guaranteed for 1 year from date of receipt.

Loading...
Loading...
Loading...
Loading...