Skip to main content

BORIS Antibody - BSA Free

Novus Biologicals, part of Bio-Techne | Catalog # NBP1-89947

Novus Biologicals, part of Bio-Techne
Catalog #
Availability
Size / Price
Qty
Loading...
NBP1-89947
NBP1-89947-25ul

Key Product Details

Validated by

Orthogonal Validation

Species Reactivity

Validated:

Human

Cited:

Human

Applications

Validated:

Immunohistochemistry, Immunohistochemistry-Paraffin

Cited:

IF/IHC

Label

Unconjugated

Antibody Source

Polyclonal Rabbit IgG

Format

BSA Free

Concentration

Concentrations vary lot to lot. See vial label for concentration. If unlisted please contact technical services.

Product Specifications

Immunogen

This antibody was developed against Recombinant Protein corresponding to amino acids: DGVCREKDHRSPSELEAQRTSGAFQDSVLEEEVELVLAPSEESEKYILTLQTVHFTSEAVELQDMSLLSIQQQEGVQVVVQQPGPGLLWLEEGPRQSLQQCVAISIQQELYSPQEMEVLQFHALEENVMVASEDSKLAVS

Reactivity Notes

Human reactivity reported in scientific literature (PMID: 23592437).

Clonality

Polyclonal

Host

Rabbit

Isotype

IgG

Description

Novus Biologicals Rabbit BORIS Antibody - BSA Free (NBP1-89947) is a polyclonal antibody validated for use in IHC. Anti-BORIS Antibody: Cited in 3 publications. All Novus Biologicals antibodies are covered by our 100% guarantee.

Scientific Data Images for BORIS Antibody - BSA Free

Immunohistochemistry-Paraffin: BORIS Antibody [NBP1-89947]

Immunohistochemistry-Paraffin: BORIS Antibody [NBP1-89947]

Immunohistochemistry-Paraffin: BORIS Antibody [NBP1-89947] - Staining of human skeletal muscle shows no positivity in myocytes as expected.
Immunohistochemistry-Paraffin: BORIS Antibody [NBP1-89947]

Immunohistochemistry-Paraffin: BORIS Antibody [NBP1-89947]

Immunohistochemistry-Paraffin: BORIS Antibody [NBP1-89947] - Staining of human endometrium shows low expression as expected.
Immunohistochemistry-Paraffin: BORIS Antibody [NBP1-89947]

Immunohistochemistry-Paraffin: BORIS Antibody [NBP1-89947]

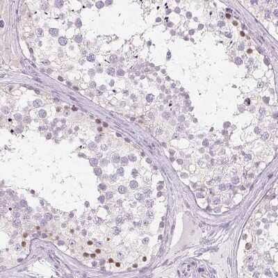
Immunohistochemistry-Paraffin: BORIS Antibody [NBP1-89947] - Staining of human testis shows moderate nuclear positivity in cells in seminiferous ducts.

Applications for BORIS Antibody - BSA Free

Application
Recommended Usage

Immunohistochemistry

1:200 - 1:500

Immunohistochemistry-Paraffin

1:200 - 1:500
Application Notes
For IHC-Paraffin, HIER pH 6 retrieval is recommended. IF fixation permeabilization: PFA/Triton X-100.

Formulation, Preparation, and Storage

Purification

Immunogen affinity purified

Formulation

PBS (pH 7.2) and 40% Glycerol

Format

BSA Free

Preservative

0.02% Sodium Azide

Concentration

Concentrations vary lot to lot. See vial label for concentration. If unlisted please contact technical services.

Shipping

The product is shipped with polar packs. Upon receipt, store it immediately at the temperature recommended below.

Stability & Storage

Store at 4C short term. Aliquot and store at -20C long term. Avoid freeze-thaw cycles.

Background: BORIS

BORIS (Brother of the Regulator of Imprinted Sites) also known as CCTC-binding factor-like protein, is normally only expressed in the testis and expressed in a mutually exclusive manner with CTCF during male germ cell development. However, previous studies have shown that BORIS is abnormally activated in a wide range of human cancers. Expression of BORIS in normally BORIS-negative cells promotes cell growth that may lead to transformation. BORIS maps to the cancer-associated amplification region thought to contain an oncogene or dominant-immortalizing gene. BORIS is a candidate protein for the epigenetic reprogramming factor acting in the male germ line. BORIS is found in both the nucleus and cytoplasm.

Alternate Names

BORISHMGB1L1, BORIS-like protein, Brother of the regulator of imprinted sites, Cancer/testis antigen 27, CCCTC-binding factor, CCCTC-binding factor (zinc finger protein)-like, CT27MGC163358, CTCF paralog, CTCF-like protein, CTCF-T, dJ579F20.2, HMG-1L1, MGC169105, MGC169106, putative high mobility group protein 1-like 1, putative high mobility group protein B1-like 1, transcriptional repressor CTCFL, Zinc finger protein CTCF-T

Gene Symbol

CTCFL

Additional BORIS Products

Product Documents for BORIS Antibody - BSA Free

Certificate of Analysis

To download a Certificate of Analysis, please enter a lot number in the search box below.

Product Specific Notices for BORIS Antibody - BSA Free

This product is for research use only and is not approved for use in humans or in clinical diagnosis. Primary Antibodies are guaranteed for 1 year from date of receipt.

Loading...
Loading...
Loading...
Loading...