Bora Antibody - BSA Free
Novus Biologicals, part of Bio-Techne | Catalog # NBP1-77013
Conjugate
Catalog #
Key Product Details
Species Reactivity
Human, Mouse, Rat
Applications
Immunohistochemistry, Immunohistochemistry-Paraffin, Western Blot, ELISA, Immunocytochemistry/ Immunofluorescence
Label
Unconjugated
Antibody Source
Polyclonal Rabbit IgG
Format
BSA Free
Concentration
1 mg/ml
Product Specifications
Immunogen
Antibody was raised against a 15 amino acid synthetic peptide from near the amino terminus of human Bora. The immunogen is located within amino acids 70 - 120 of Bora.
Clonality
Polyclonal
Host
Rabbit
Isotype
IgG
Scientific Data Images for Bora Antibody - BSA Free
Western Blot: Bora AntibodyBSA Free [NBP1-77013]
Western Blot: Bora Antibody [NBP1-77013] - Jurkat cell lysate with Bora antibody at (A) 1 and (B) 2 ug/ml.Immunocytochemistry/ Immunofluorescence: Bora Antibody - BSA Free [NBP1-77013] -
Immunocytochemistry/ Immunofluorescence: Bora Antibody - BSA Free [NBP1-77013] - Immunofluorescence of Bora in Mouse Brain cells with Bora antibody at 20 u/mL.Immunohistochemistry: Bora Antibody - BSA Free [NBP1-77013] -
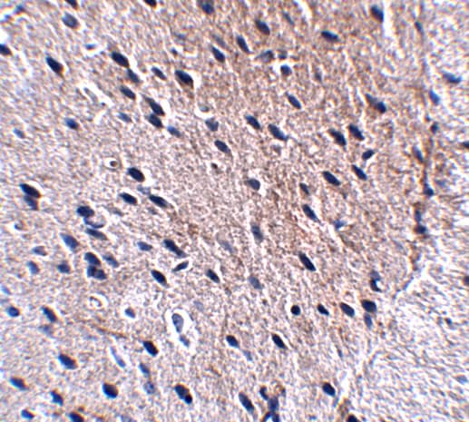
Immunohistochemistry: Bora Antibody - BSA Free [NBP1-77013] - Immunohistochemistry of Bora in mouse brain tissue with Bora antibody at 2.5 u/mL.Applications for Bora Antibody - BSA Free
Application
Recommended Usage
ELISA
1:100-1:2000
Immunocytochemistry/ Immunofluorescence
20 ug/mL
Immunohistochemistry
2.5 ug/ml
Immunohistochemistry-Paraffin
2.5 ug/ml
Western Blot
1-2 ug/ml
Formulation, Preparation, and Storage
Purification
Peptide affinity purified
Formulation
PBS
Format
BSA Free
Preservative
0.02% Sodium Azide
Concentration
1 mg/ml
Shipping
The product is shipped with polar packs. Upon receipt, store it immediately at the temperature recommended below.
Stability & Storage
Store at 4C short term. Aliquot and store at -20C long term. Avoid freeze-thaw cycles.
Background: Bora
Long Name
Protein Aurora Borealis
Alternate Names
Aurora Borealis, C13orf34
Gene Symbol
BORA
UniProt
Additional Bora Products
Product Documents for Bora Antibody - BSA Free
Product Specific Notices for Bora Antibody - BSA Free
This product is for research use only and is not approved for use in humans or in clinical diagnosis. Primary Antibodies are guaranteed for 1 year from date of receipt.
Loading...
Loading...
Loading...
Loading...